
01
病例简介
患者基本信息
患者:73岁,女性。
主诉:发现言语不清4小时。
现病史:患者末次正常时间为当时17时,家属19时发现患者言语不清,答非所问,无肢体无力及活动障碍。
既往史:既往高血压、心脏瓣膜置换术后。
入院查体:NIHSS 4分,GCS 15分,混合性失语,无面瘫,四肢肌力正常。
02
术前诊断评估

CTA提示右侧大脑中动脉M2远端闭塞,近端血管迂曲。

RAPID提示Mismatch 30ml。

术前ASPECT 10分。
急性脑梗塞,右侧大脑中动脉M2闭塞,心脏瓣膜置换术后,高血压病。
大脑中动脉闭塞取栓术。
03
手术治疗过程


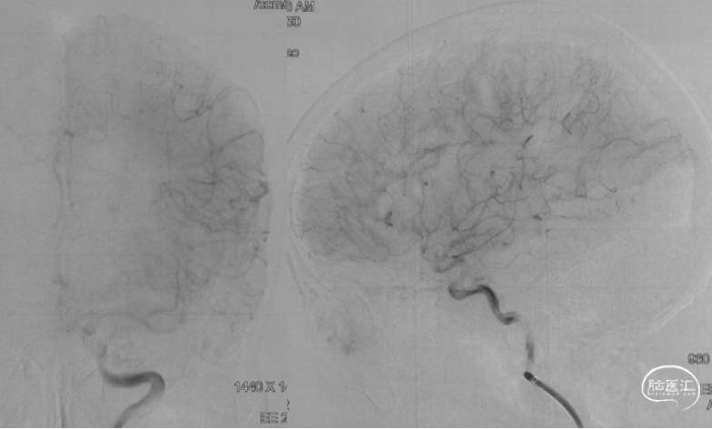
颈内动脉造影提示颈内动脉颈段迂曲,大脑中动脉下干M2远端闭塞,颞顶部可见乏血管区。

04
手术器械选择
近端通路:6F NeuronMAX长鞘
抽吸导管:4MAX导管
微导管:Trevo pro18
微导丝:Synchron
05
术后处理及复查(+影像)

在NeuronMAX支撑下,微导丝/微导管辅助4MAX抽吸导管到位,进行抽吸。
06
术后随访



抽吸一次,达到eTICI 2C再通。
术后即刻患者NIHSS评分3分,24h NIHSS评分0分。
07
总结和讨论
● 急性远端中等血管闭塞约占急性缺血性卒中的25%-40%。
● 远端中等血管是指管腔直径在0.75-2.0mm之间的颅内动脉,包括大脑前动脉、大脑中动脉M2远端-M4、大脑后动脉、小脑后下动脉、小脑前下动脉和小脑上动脉,较近端血管行程更长,更为迂曲。因为各自供血范围的不同,临床表现具有高度异质性,但经常是致残性的。
● 虽然静脉溶栓对于远端中等血管闭塞比近端血管闭塞更有效,但仍有1/2至2/3的血管闭塞未能实现再通。
● 血管内机械取栓将会是下一个有前景的前沿领域,但目前缺乏高级别循证医学证据。临床治疗决策需要权衡患者的临床症状、机械取栓带来的风险和手术的获益。
● 目前对于远端中等血管闭塞,机械取栓可以考虑抽吸取栓或者支架取栓。
● 本例患者采用的是抽吸取栓。与支架取栓相比,在器械成功到位的情况下,可能能够减少血管移位牵拉带来的出血风险。这例患者大脑中M2闭塞近端血管直径测量约1.6mm,4MAX导管远端外径4.3F(1.42mm),内径0.041''(1.04mm),能够实现远端到达和抽吸目的。
● 快速血管重建是提高患者预后的重要因素,近端通路导管稳定性直接影响取栓效率,NeuronMax头端柔软、近端支撑性好,在迂曲血管内能够提供更高到位和更加稳定的支撑。
● 需要注意:4MAX抽吸导管有效长度为139cm,在使用时需要考虑微导管出头长度。可以考虑选用更长的微导管如Rebar18(153cm),也可以使用短Y阀或不接Y阀。
术者简介
张磊
海军军医大学长海医院
手术指导
杨鹏飞
海军军医大学长海医院









