2022年08月01日发布 | 1425阅读
脑肿瘤-自定义

脑膜Rosai-Dorfman病一例(神经病理系列二十五)---浙二神外周刊(第363期)

洪文婷

浙江大学医学院附属第二医院

许晶虹

浙江大学医学院附属第二医院

































































































“浙二神外周刊”每周病例回顾,提出最优化的临床治疗分析和随访指导意见。专业讨论意见仅代表浙二神经外科团队观点,如有不同见解,欢迎同道斧正!每期讨论病例资料及整理均为“浙二神外周刊”原创,“浙二神经外科”授权官方合作新媒体《神外资讯》发布,其他网络媒体转载,请务必注明出处!


提示

“浙二神外周刊”不定期接收外院投稿,审核后发表。欢迎各专业同道联系我们,分享精彩病例、研究热点或前沿资讯。投稿请联系:shishi74@163.com


前言


神经病理是临床诊断,尤其是神经肿瘤诊断的最重要一环。根据神经病理的最终诊断结果决定下一步治疗方案。近年来,随着分子病理及基因检测的不断开展和深入,中枢神经系统病理诊断的更新也越来越快。如2021年底出版的第5版CNS WHO分类,增加了22种肿瘤新类型,修订了13种肿瘤的命名,其主要变化是分子诊断的权重更大,强调整合诊断和分层报告的重要性。因此,需要我们不断学习,与时俱进,提高诊断水平,以便更好地治疗病人。我院病理科自2011年起成立中枢神经病理亚专科,现有亚专科组成员8名,其中副主任医师3名,主治医师2名,住院医师3名。已开展神经病理相关的组织学、特殊染色、免疫组织化学及分子病理学(FISH、测序、甲基化检测等)。借助长期的临床实践,并于2011年和美国UCLA神经病理团队建立了联合会诊平台,不断交流合作,积累了丰富的经验。从第339期开始我们报道由浙大二院病理科神经病理团队汇总的系列病例,以期和大家充分交流讨论。欢迎大家批评指正。


病史简介


患者,女性,57岁。发现颅内病变4年余,左眼视力缺损1年余。


患者4年前在当地医院行口腔手术后查头颅CT,发现颅内占位,具体情况不详,后每年复查一次,患者1年前视力下降,现降为无光感,1月前患者感右耳听力下降,伴耳鸣,现为求进一步诊治来我院,门诊拟“颅内占位性病变”收住入院。


查体:生命体征平稳,神清,精神可,双侧瞳孔等大等圆,直径约3mm,对光反射灵敏,左眼视力无光感,右眼正常,两耳听力粗测正常,右耳稍差,颈软,心肺听诊无殊,腹平软,肝脾肋下未及,四肢感觉对称,活动自主,双侧肢体肌力5级,肌张力不高,病理反射未引出。Romberg征可疑阳性。


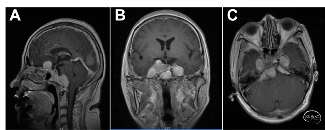
我院头颅MRI增强扫描:前中后颅窝多发占位,脑膜瘤考虑(图1)。

图1. 术前头颅MRI。 前中后颅窝可见多发大小不等异常信号结节,匍匐生长于颅底,于T1WI上为稍低等混杂,广基与颅骨内板相连,肿块突向脑实质一侧,其边缘可见低信号线状影与脑实质相隔,于T2WI上为低等混杂信号,增强扫描,肿块呈均匀明显强化,与颅骨接触处可见硬膜尾征,肿块周围水肿未见,具有占位效应,脑白质受压变形,皮层灰质向内移,邻近脑室变形移位,中线结构轻度右侧移位。颅脑其他部位无殊。


诊治经过


入院后完善相关检查。行开颅左侧鞍区病损切除术。术中见灰黄色肿瘤组织匍匐生长硬脑膜下;与大脑皮层粘连明显,逐步切下肿瘤基底,肿瘤质地韧,血供较丰富,界限清;肿瘤与左视神经粘连明显部分肿瘤组织向视神经管内生长。


病理诊断


大体检查:(鞍旁)灰白灰红组织两块,大小3*2*1cm。

显微镜观察:肿瘤界限清楚(图2.A),低倍镜下显示弥漫的淋巴浆细胞浸润和组织样细胞增生(图2.B、C);高倍镜下,组织样细胞核大、染色质深、核仁明显,胞浆丰富、泡沫状或嗜伊红均质状,胞浆内可见淋巴细胞吞噬现象(图2.D)。

图2. 肿瘤可见边界(A),淋巴浆细胞背景中可见散在核大深染、胞浆丰富的组织样大细胞(B、C),可见淋巴细胞吞噬现象(D)。


免疫组化结果:CD163 部分大细胞+,CD138 浆细胞+,CD38 浆细胞+,Kappa(k) 部分浆细胞+,Lambda 部分浆细胞+,Ki-67 约10%+,P53 -,CD3 背景T淋巴细胞+,CD20 背景B淋巴细胞+,CD79a 背景B淋巴细胞+,CD21 滤泡树突网呈结节状+,CD23 滤泡树突网呈结节状+,Oct-2 大细胞+,GFAP -,BRAF(VE1) -,CD1a -,Langerin -,S-100 部分大细胞+。

图3. 组织样大细胞表达S-100,不表达CD1a;背景淋巴浆细胞可表达CD138、CD79a。


最终诊断:(鞍旁)结外(硬脑膜)Rosai-Dorfman病。

讨论


中枢神经系统/脑膜Rosai-Dorfman病(RDD),伴或不伴系统损伤,病理上与发生于其他部位者相同。是一种组织细胞克隆性增生性疾病,以S-100阳性的大组织细胞伴吞噬现象为特征。


中枢神经系统RDD通常形成孤立或多发的脑膜肿物,尤其是在大脑凸面、颅底、海绵窦、矢状窦旁、鞍上和岩斜区。脑实质内、脑室内以及脊髓亦有报道[1-3]


中枢神经系统RDD发病男女比例约为2:1,发病平均年龄约为40岁。其临床可表现为颅内压增高或局灶性神经功能受损。发生于鞍区者可伴有垂体功能减退和尿崩症。72%患者缺乏典型的全身症状,包括颈部淋巴结肿大、发热、体重减轻,52%患者并无系统表现[4]。RDD的MRI表现与脑膜瘤类似,呈等强或低强T1信号,均匀强化;T2像上的低信号有助于RDD与典型脑膜瘤的鉴别。


RDD的发病机制尚不明确,不同于朗格汉斯细胞组织细胞增生症和Erdheim-Chester病中有过半的病例出现BRAF p.V600E突变,RDD绝大部分为BRAF野生型,目前报道RDD可有MAPK信号通路上的基因突变,包括KRASNRASMAP2K1ARFACSF1R以及BRAF p.V600E[5-8]


大体上,中枢神经系统RDD通常表现为实性、叶状或结节状、灰白至灰黄的硬脑膜肿块。组织学上,RDD表现为由多种炎症细胞浸润组成的肿物,包括大组织细胞、淋巴细胞和浆细胞,可伴不同程度的纤维化。典型者可见吞噬现象,即组织细胞吞噬完整的淋巴细胞、浆细胞或中性粒细胞,偶尔可见嗜酸性粒细胞和红细胞的内吞。但吞噬现象在RDD中可不明显或不存在,亦可见于其它疾病。肿瘤细胞表达CD11c、CD68、CD163、Fascin和S-100,不同程度表达Lysozyme,不表达CD1a和CD207(Langerin)。鉴于RDD大部分病例不表达BRAF p.V600E,CCND1阳性可帮助诊断(可能反映MAPK的激活)。


对于可切除的病变,手术是首选的治疗方法。对于不可切除的病变,可以考虑使用类固醇、放疗和MAPK信号通路抑制剂。总体来看,RDD的预后较好。


小结:中枢神经系统RDD较为少见,截止2014年,共有174例报道[5]。本例为少见的脑膜RDD,影像学类似脑膜瘤表现,组织学呈大组织细胞,丰富苍白胞浆,并见吞噬现象。免疫组化S-100阳性,CD1a和Langerin阴性。

参考文献


1. Sandoval-Sus, J.D., et al., Rosai-Dorfman disease of the central nervous system: report of 6 cases and review of the literature. Medicine (Baltimore), 2014. 93(3): p. 165-175.
2. Patwardhan, P.P. and N.A. Goel, Isolated Intraventricular Rosai-Dorfman Disease. Asian J Neurosurg, 2018. 13(4): p. 1285-1287.
3. Symss, N.P., et al., Intracranial Rosai Dorfman Disease: report of three cases and literature review. Asian J Neurosurg, 2010. 5(2): p. 19-30.
4. Purav, P., et al., Rosai-Dorfman disease of the central nervous system. J Clin Neurosci, 2005. 12(6): p. 656-9.
5. Cohen Aubart, F., et al., Histiocytosis and the nervous system: from diagnosis to targeted therapies. Neuro Oncol, 2021. 23(9): p. 1433-1446.
6. Diamond, E.L., et al., Diverse and Targetable Kinase Alterations Drive Histiocytic Neoplasms. Cancer Discov, 2016. 6(2): p. 154-65.
7. Durham, B.H., et al., Activating mutations in CSF1R and additional receptor tyrosine kinases in histiocytic neoplasms. Nat Med, 2019. 25(12): p. 1839-1842.
8. Garces, S., et al., Mutually exclusive recurrent KRAS and MAP2K1 mutations in Rosai-Dorfman disease. Mod Pathol, 2017. 30(10): p. 1367-1377.


(本文由浙二神外周刊原创,浙江大学医学院附属第二医院病理科洪文婷住院医师整理,许晶虹副主任医师审校,张建民主任终审)


点击进入浙大二院神外官方账号


声明:脑医汇旗下神外资讯、神介资讯、脑医咨询、AiBrain所发表内容之知识产权为脑医汇及主办方、原作者等相关权利人所有。未经许可,禁止进行转载、摘编、复制、裁切、录制等。经许可授权使用,亦须注明来源。欢迎转发、分享。

最新评论
发表你的评论
发表你的评论
来自于专栏
相关临床评分小工具