大脑为身体的“司令部”,脑肿瘤的微创精细切除,最大程度保留功能已越来越受到医生、患者的关注。下面为大家展示广医五院神外近期肿瘤手术。
01 病例一 女性,79岁,因“记忆力下降和头晕1周”入院。
现病史:
患者10年前无明显诱因出现头晕,于其他医院就诊,行颅内占位切除术,术后病理示:脑膜瘤(梭形细胞瘤)。术后定期头颅MRI未见复发征象。
2年前患者因头痛至当地医院复查,头颅MRI考虑脑膜瘤复发,并再次于其他医院行肿瘤切除术,术程顺利。
1周前患者因“记忆力下降和头晕”至我院就诊。
术前头颅MRI+MRS:
考虑脑膜瘤复发,恶性倾向
术后头颅MRI增强:
术后病理:
02 病例二 患者女性,56岁,因“左侧面部麻木2月”入院。
现病史:
患者于2月前无明显诱因出现左侧面麻,偶有头晕,无头痛、恶心、呕吐、口角歪斜、四肢乏力等,当地医院就诊,头颅CT检查见“1.左侧桥小脑角区占位,考虑“听神经瘤”,为进一步治疗至我院就诊。
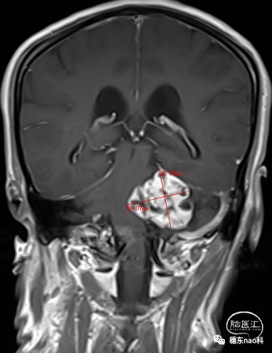
头颅MRI:
左侧桥小脑区占位,最大长径约4cm*3cm
术后复查头颅MRI:
术后病理:
03 病例三 患者女性,62岁,因“发现颅内占位3年余,发作性头晕1个月”入院。
现病史:
患者自诉于3年前检查时发现颅内占位病变,无特殊不适,未行特殊处理。1个月前患者无明显诱因出现发作样头晕不适,经休息可稍缓解,故至我院就诊。
头颅MRI增强+MRS:
右侧额叶占位,考虑少突胶质细胞瘤可能性大
术后头颅MRI:
术后病理:
04 病例四 患者男性,42岁,因“胶质瘤切除术后6年,反复头晕1月,突发意识障碍,伴喷射性呕吐1天”入院。
现病史:
患者于6年前行左侧额叶胶质瘤术(少突星形细胞瘤),术后定期复查未见肿瘤复发。1月余前无明显诱因出现头晕,呈阵发性头晕、头胀,无视物旋转感,无耳鸣,休息后可缓解症状,发作时伴恶心,伴双上肢用力时出现抖动,未特殊处理;1天前突发意识障碍,表现为胡言乱语,意识不清,对答不切题,不认识家人,伴呕吐,为喷射性呕吐,呕吐物为胃内容物。
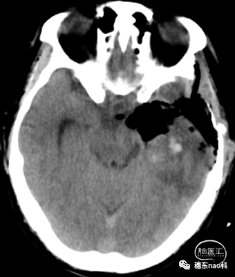
头颅增强CT提示:
左侧大脑半球大片状睡着,周边小片状高密度影,考虑胶质瘤复发,合并出血可能。
术后复查头颅CT平扫:
术后病理:
05 小结 在保留功能的前提下,所有肿瘤均最大程度的切除,术后患者遗留最少的功能障碍。

广州医科大学附属第五医院神经外科主任杨孔宾教授、主任医师、博士、博士后、博士生导师,原任哈尔滨医科大学第一临床医学院神经外科副主任,美国梅奥医院临床访问学者。
中华医学会小儿神经外科学组委员、中国医师协会小儿胶质瘤学组委员、中国妇幼保健协会小儿神经微创学组委员、高健委医促会神经外科常务委员、中国欧美同学会神经肿瘤分会会员、中国医药教育协会神经内镜与微创学组常务委、黑龙江省脑血管病神经外科委员会常务委员、黑龙江医促会颅脑损伤重症分会副主任委员、黑龙江省预防医学会儿童脑积水防治委员会主任委员、广东省精准医学应用学会颅神经疾病分会常务委员、广东省基层医药协会神经外科分会副主任委员、广东省医师协会会员。
参编人卫出版社神经外科手术学、重症医学专著和神经内镜3部,主编人卫出版社神经外科手术图谱1部;
省级医疗新技术奖4项。
2018年荣登中国名医百强榜、胡润名医榜






































