简要病史
患者基本信息
肖某某,男,29岁,未婚
主诉:因“被刀器插入颅内伴意识不清4小时”于2020年3月16日 03点57分急诊入院。
现病史
患者于2020年3月16日凌晨00时左右与人斗殴,不慎被刀器沿右眼插入颅内,伤后当即出现意识不清,呼之不应,伤处流血不止,无四肢抽搐,无大小便失禁,急送入遂川县人民医院就诊,予以对症治疗,考虑病情危重,且家属要求进一步治疗急诊转入我院。病程中,患者神志昏迷,精神差,未进食,大小便未解。
既往病史
否认高血压、糖尿病及冠心病病史,否认其他传染病史,预防接种史:不详,否认外伤史, 3年前右下肢骨折手术史,具体不详;否认输血史,过敏史:否认。
个人史
生长于原籍,无外地久居史,无疫区长期居住史;吸烟5年,20支/天,未戒烟,否认饮酒史;否认特殊嗜好,冶游史:否认,工作环境特殊接触史:否认
入院查体情况
一般体检:
T36.5℃,P96次/分,R28次/分,血压136/89mmHg;体型及营养中等。
专科检查:
神志昏迷,GCS评分8分(2-1-5),左侧瞳孔直径2.5mm,对光反射灵敏,右眼可见刀器插入,伴眼球外凸,颈稍抵抗,心脏未发现阳性体征,肺部未闻及明显罗音,腹软,肢体刺痛定位,四肢肌张力未见明显增高,生理反射存在,病理反射未引出。

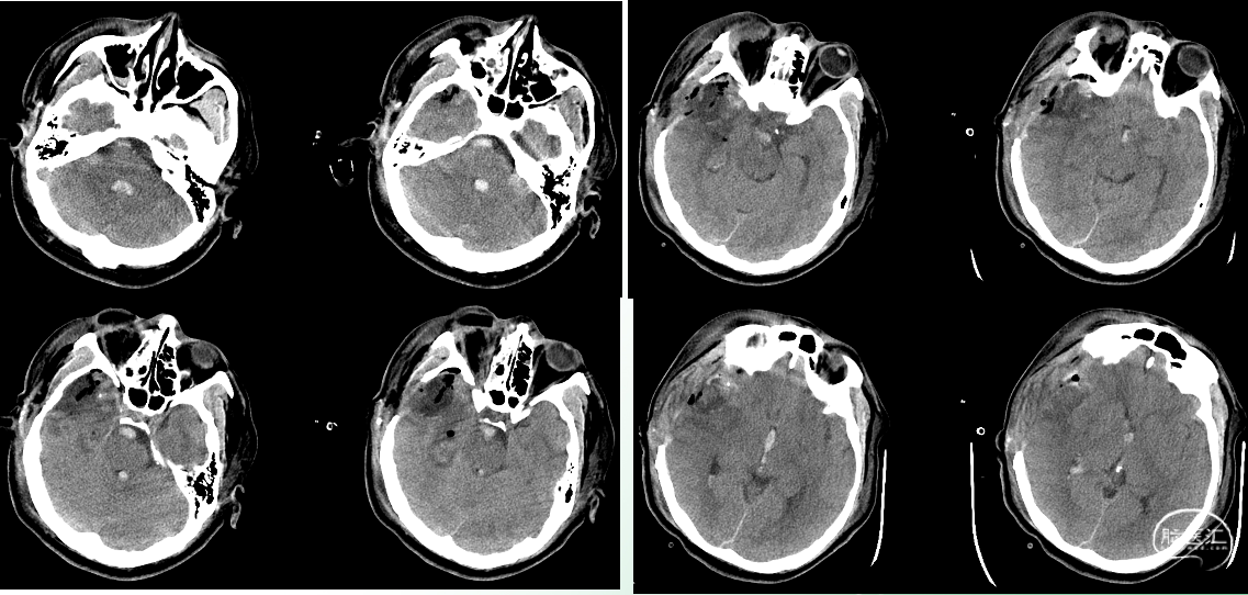
入院时影像


急诊颅脑CT+三维重建:
颅脑锐器损伤并异物存留,异物由右侧眼眶刺入颅内;右侧额颞叶挫裂伤并血肿形成;蛛网膜下腔出血;脑室系统较多积血;右侧额颞顶部少量硬膜下积血
入院诊断
1、颅脑锐器损伤并开放性颅脑损伤
2、右侧额颞叶脑挫裂伤并血肿形成
3、右侧额颞顶枕部硬膜下血肿
4、脑室出血
5、创伤性蛛网膜下腔出血
6、颅内异物
7、右眼球破裂伤
8、右眼睑结膜裂伤并泪小管断裂伤
主要治疗过程
患者颅内异物已达中颅窝,脑室积血严重
急诊全麻下行右侧额颞大骨瓣开颅+左侧脑室外引流+颅底重建


术中情况



右眼球外突出,全眼球瘪状,赤道部后大范围巩膜全层裂伤,大量的色素组织脱出,眼睑内侧并上眼睑皮肤结膜检板全层裂伤
急诊行右眼球摘除+眼睑结膜裂伤缝合+眶膈修补+内眦成形术
术后即时影像


血管造影影像

术后重症单元主要处置
镇静镇痛、预防癫痫
抗感染治疗:万古霉素+美罗培南
营养支持:术后48h早期肠内营养支持

脑脊液检验转归


体温变化趋势

出院时影像

出院时情况
患者偶有烦躁、偏执、哭闹,可遵嘱动作,独立行走,无发热,无呕吐及四肢抽搐,大小便正常。
查体:神志清楚,左侧瞳孔直径2.5mm,对光反射灵敏,右眼眼球摘除术后,头部切口愈合良好,骨窗压力不高,双肺呼吸音粗,未闻及啰音,腹软,左侧肢体肌力4+级,右侧肢体肌力5级,肌张力正常,生理反射存在,病理反射未引出。

随访与预后
患者出院两月后至眼科行右侧义眼植入
半年后返院行颅骨修补
半年后颅骨修补前影像


颅骨修补后影像、随访
颅骨修补后1月预后情况:
神志清楚,精神状态正常,言语对答流利,定时定向力正常,四肢活动自如。

小结
眶颅贯通伤的解剖薄弱点
眶是一个水平位的椎形骨架,异物刺入眼眶时常常偏离原轨道而导向眶尖,而眶尖部存在向颅内开放的眶裂,这是异物致眶颅贯通伤的解剖薄弱处。眶上裂及眶顶是异物进入颅内的两大主要途径 。

Matthew, Schreckinger, Daniel, et al. Transorbital penetrating injury: case series, review of the literature, and proposed management algorithm.[J]. Journal of neurosurgery, 2011.
影像检查的选择
1、建议颅脑CT扫描三维重建——确定残留在颅内的异物,明确损伤的位置和范围。
2、术后即时复查头颅CT——金属制品伪影影响显像,异物经过的轨迹范围的脑挫裂伤出血在初次CT检查时可能遗漏。
3、头颅DSA检查——血管造影的最佳检查时机仍有争议。金属类异物强烈散射,CTA效果不佳,根据异物穿通范围、位置及临床表现,必要时行头颅DSA检查。
刀怎么拔
对于颅内异物,特别是利器,不能直接拔除,利器插入颅内一般会损伤血管,术前有条件先评估血管情况,术中要先暴露利器入颅端,沿利器边缘逐步探查止血,周边填塞明胶海绵,一直要到暴露刀尖部。
颅底重建
利器入颅一般会自己“造一个门”,怎么把这个“门”封堵,防止脑脊液漏,一般对于颅底形成的“门”,主要是要取活的筋膜( 带蒂筋膜)封堵比较牢靠(因为有血供,更容易粘连生长),局部可以简单缝合+蛋白胶固定。
魏民, 董伦, 张恒柱,等. 开放性颅脑损伤合并异物嵌插的诊断与治疗[J]. 临床神经外科杂志, 2016(4):4.
外引流与抗感染治疗
1、脑室外引流或腰椎蛛网膜下引流有助于降低颅内压,防止脑脊液漏及预防感染。
2、对于开放性颅脑损伤患者,一般抗菌药物要覆盖革兰氏阴性和阳性菌,同时也可以考虑兼顾厌氧菌。
Tunkel A R , Glaser C A , Bloch K C , et al. The Management of Encephalitis: Clinical Practice Guidelines by the Infectious Diseases Society of America[J]. Clinical Infectious Diseases An Official Publication of the Infectious Diseases Society of America, 2008, 47(3):303.
早期营养支持治疗
神经外科医师同时也要兼职营养师职责:重型颅脑损伤患者营养支持非常重要,患者营养支持到位,营养状况好,病情恢复也会更快更好,患者抗感染能力也会更强,能缩短患者住院时间及减少并发症发生。
END






