01
三叉神经解剖





打开这层硬膜结构,即可以看到海绵窦结构。



海绵窦外侧壁有浅、深两层。颅中窝硬膜的脑膜层延续为外侧壁的浅层。深层由动眼神经、滑车神经、眼神经、上颌神经的神经鞘以及之间网状半透明的膜构成。

Meckel腔,其前界几乎囊括三叉神经节。
Meckel's cave, here, comes forward to about the level of the trigeminal ganglion.

1、打开Meckel腔,其实质上是一个蛛网膜下腔间隙。
2、Meckel腔向前几乎延伸至三叉神经节的膨大部。
3、仅三叉神经眼支位于海绵窦外侧壁。
4、半月神经节(gasserian ganglion)及Meckel腔则属于中颅窝结构,其位于中颅窝三角内。 gasserian [ɡæ'siəriən] 。
三叉神经痛
“天下第一痛”
功能神经外科最经典疾病
部位:额、颧、颌面
特点:短促、闪击样、剧痛
病因:原发(癫痫学说、血管压迫)、继发(肿瘤)
原发性三叉神经痛的治疗
保守治疗:卡马西平 、加吧喷丁、普瑞巴林
无创外科:伽玛刀
神经阻滞:化学(局麻药、酚、甘油、亚甲蓝、阿霉素)
微创手术:射频(颅外、颅内)与球囊压迫
颌面手术:外周支离断、撕脱
开颅手术:微血管减压、神经根梳理与部分切除
02
微血管减压术概述及一般技巧
微血管减压术
MVD是指在手术显微镜下将呈攀状、异常(硬化、迂曲、扩张)走行于三叉神经、面神经、舌咽神经等颅神经根部,并对神经造成压迫的血管推移游离,解除血管对颅神经根部的压迫,使临床症状得到改善。 因其微创、安全、效果显著、复发率低、并发症少等特点,且完全保留血管、神经功能,现已成为三叉神经痛、面肌痉挛、舌咽神经痛最有效的治疗方法。
大师回忆


微血管减压术的问世;手术技术的改进和普及,神经外科的先辈们做出了巨大的贡献。


微血管减压术以其神奇、立竿见影的治疗效果,为众多颅神经疾患患者去除病痛。
MVD一般手术规范操作

侧卧位

常用切口及骨瓣

骨 窗

硬膜切开




MVD手术-显微操作步骤
03
三叉神经痛微球囊压迫术概述及一般技巧
球囊压迫术原理
选择性地损伤三叉神经节中粗大的有髓神经纤维,而这些粗大的有髓神经纤维可能就是触发疼痛机制的关键所在。
另一方面,角膜感觉和反射由三叉神经第一支的细小有髓纤维传递,球囊压迫不易造成这类纤维的损伤。
球囊压迫术优势
1、微创。
2、疗效满意。
3、住院时间短。
4、费用相对低。
5、可反复多次进行。
6、对身体状态要求相对低。


球囊压迫术适应症
理论讲能接受术后面部麻木的原发性三叉神经痛。
综合考虑则推荐。
1、高龄不能耐受开颅
2、合并严重其他系统疾病不适合开颅
3、开颅手术依从性差
4、MVD术后无效或复发不再接受开颅
5、射频热凝或PBC术后复发
球囊压迫术疗效

台湾学者的数据:
有效率:93.8%复发率:10年37.7%
三叉神经及麦氏囊MRI上辨识


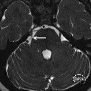
MRI所见三叉神经脑池段

MRI轴位所见麦氏囊
颅底内面观


颅底外面观





三叉神经毗邻解剖



骨性标志

扩张球囊获得理想梨形

“梨把”实际上就是球囊充盈后挤压入Porus孔形成的特有形态。
04
三叉神经痛射频消融术概述及一般技巧
三叉神经痛的颅外非半月节射频治疗


麦氏囊CT/MRI融合
冠状位融合图
颅底位融合图


经典的射频治疗—经卵圆孔半月节射频
HARTEL入路:1914年Hartel。
穿刺点:口角外侧3cm。
路径:经卵园孔。
靶点:三叉神经半月节。
优点:目标大,易进孔,一针管三支。

局麻下进行操作。

国内创新:颅外非半月节射频。

V1支眶上孔射频

V2支2:经皮圆孔射频

V3支的颅外射频

多支联合颅外射频




罗正祥 医学博士,副主任医师,中共党员,南京地区第六届“十佳医生”,江苏省援藏医疗专家,南京市卫健委优秀共产党员,脱贫攻坚突出贡献南京市委记功一次。
科研上:熟练掌握神经外科专业各种疾患诊断治疗,独立发表SCI9篇及中文核心论文10篇,省市级科研立项5项,获南京市卫生局新技术引进奖1项,主编科普书籍2本,参编专著1本,实用新型专利3项,为南京市十三五第二层次、十二五第三层次卫生青年人才,南京脑科医院十三五培养对象。
专业上:熟练掌握神经外科专业各种疾患诊断治疗,擅长颅内各种肿瘤、功能神经外科(舌咽神经痛、三叉神经痛、面肌痉挛、脑积水)、颅骨缺损、脑出血、脑外伤、脑血管病等各种疾病的诊断与外科微创治疗。




