前言
河北省人民医院神经外二科董长征教授团队多年来致力于难治性癫痫的内科与外科治疗,在省内率先开展致痫灶切除术,迷走神经刺激术,胼胝体切开术及大脑半球离断术等多种手术方式,本专题系列报道我科癫痫相关的病例,与各位同仁及患者共享学术盛宴。

一、病例分享
患者女性,17岁。
主因:间断性抽搐15年余,频繁抽搐发作1天。
现病史:患者于15前余前发病,起病年龄,发作形式与诊治过程均不能详述,经治疗后将近10年无发作。3个月前无明显诱因复发,表现为四肢抽搐伴意识丧失,数分钟缓解,无口舌咬伤及尿失禁,就诊于当地医院,脑电图显示双颞同步性尖慢波,左侧著;右额、额中线尖波,监测到2次左侧颞区起始的临床下发作。头颅磁共振显示左侧颞叶及海马皮质肿胀及异常信号影。口服多种抗癫痫药物仍间断发作,且逐渐出现抽搐程度加重,发作后意识模糊时间较长,发作频率增多,1天前无明显诱因再次出现频繁抽搐,发作间歇期意识可恢复,遂来我院就诊。
个人史,既往史及家族史:出生史无异常,自幼生长发育良好,无智力运动发育落后或倒退,无高热惊厥,脑炎,脑外伤等病史,无癫痫阳性家族史。
查体:T36.3℃,P85次/分,R20次/分,BP125/82mmHg。神清,精神差,不语,双侧瞳孔正大等圆,直径约3.5mm,对光反射灵敏,双侧额纹对称,饮水无呛咳,吞咽有力,心肺腹检查无明显异常,双侧肢体肌力、肌张力大致正常,双侧腱反射存在无亢进或减弱,双侧巴氏征阴性,脑膜刺激征(-)。双侧肢体痛、温觉、音叉振动觉对称正常。双侧病理征阴性。
初步诊断:1.痫性发作 2.自身免疫性脑炎?3.低钠血症 4.缺铁性贫血

二、诊疗经过
入院后依据:1.脑电图显示双颞尖慢波,有临床下发作,2.磁共振显示一侧颞叶及海马皮质肿胀,异常信号影,3.多种抗癫痫药物治疗效果欠佳,考虑不能除外自身免疫性脑炎,给予复查磁共振与视频脑电图。查妇科超声、腹部超声、甲状腺超声与胸部CT,抽血查甲状腺功能、血沉、免疫球蛋白等免疫筛查,以排除自身免疫性脑炎伴发的其他系统疾病。
辅助检查结果回报:磁共振显示双侧海马及杏仁核、双侧岛叶、左侧颞叶、双侧扣带回异常信号影,自身免疫性脑炎不除外,请结合临床;头颅MRS所选感兴趣区NAA峰减低。视频脑电图显示双侧半球各导联大量弥漫性低中幅慢波,额颞区著;左侧颞区大量低中幅棘慢波、慢波。
复查电解质:★钠:136mmol/L ↓。MMSE与MoCA量表测试得分提示认知功能障碍。腰穿查脑脊液常规、生化结果正常。脑脊液免疫学检查结果回报:NMDA-R与GAD65-R抗体双阳性。甲功六项、免疫球蛋白、风湿三项、狼疮抗凝物、血沉、抗双链DNA、抗核抗体、抗血管炎抗体、抗磷脂抗体检测结果均正常。胸部CT平扫、腹部超声和甲状腺超声未见明显异常。
补充诊断:抗NMDA抗体脑炎,抗GAD65抗体脑炎。自身免疫性脑炎诊断明确,给予免疫球蛋白冲击治疗。免疫治疗结束后复查2小时视频脑电图显示双侧半球各导联少量弥漫性低中幅慢波,左侧颞区大量低中幅棘慢波、慢波,背景慢波较治疗前明显减少。复查头颅磁共振:双侧颞叶海马及杏仁核、双侧岛叶、左侧颞叶、双侧扣带回多发异常信号影,与前片比较未见明显变化。患者无抽搐发作,认知功能显著改善。

三、辅助检查
视频脑电图


EEG:双侧半球各导联大量弥漫性低中波幅慢波,左侧颞区大量低中波幅棘慢波慢波。
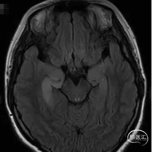
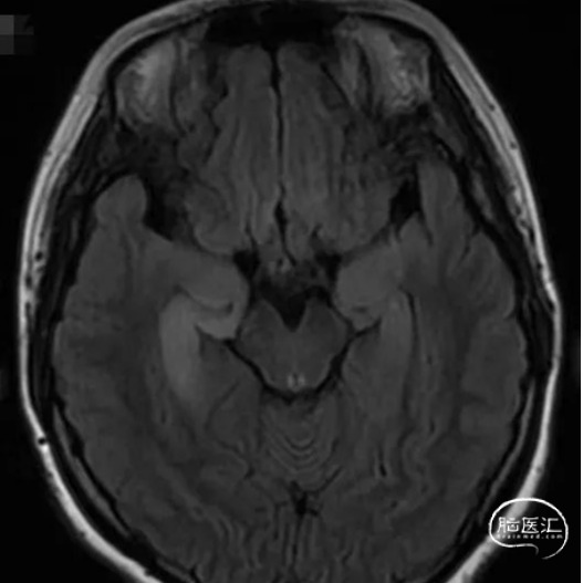
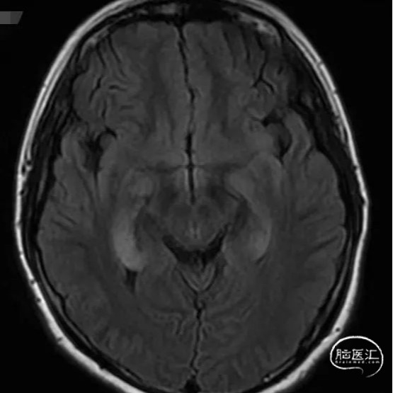
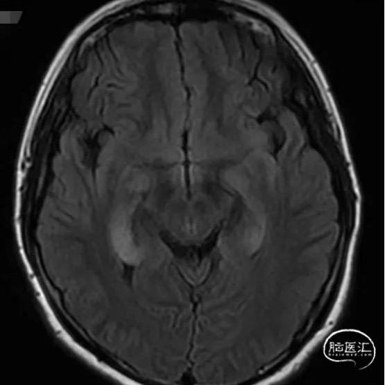
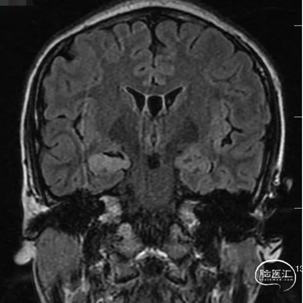
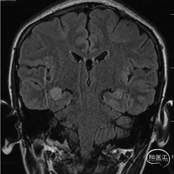
头颅MRI


1
2
3
4


头颅MR:双侧海马及杏仁核,双侧岛叶,左侧颞叶,双侧扣带回异常信号影。

四、治疗后复查
视频脑电图



EEG:双侧半球各导联少量弥漫性低中幅慢波,左侧颞区大量低中幅棘慢波、慢波,背景慢波较治疗前明显减少。

讨论

自身免疫性脑炎(autoimmune encephalitis,AE)泛指一类由自身免疫机制介导的脑炎。主要临床表现为急性或亚急性起病的痫性发作,认知功能障碍和精神行为异常。AE合并相关肿瘤者,称为副肿瘤性AE。目前AE患病比例占脑炎病例的10%~20%,以抗NMDAR脑炎最常见,约占AE患者的80%,其次为抗富含亮氨酸胶质瘤失活蛋白1(LGI1)抗体相关脑炎与抗γ-氨基丁酸B型受体(GABABR)抗体相关脑炎等。磁共振可无明显异常,或者仅有散在的皮质、皮质下点片状FLAIR和T2高信号,部分患者可见边缘系统病灶,病灶分布也可超出边缘系统的范围。脑电图在发作间歇期可正常,也可呈弥漫或者多灶的慢波,偶尔可见癫痫波,有些可见一侧或双侧颞叶起源的局灶性发作或临床下发作。依据自身免疫性脑炎中国专家治疗共识,治疗首选大剂量糖皮质激素冲击或者免疫球蛋白冲击治疗,重症者可联合治疗,对常规抗癫痫药物反应欠佳。合并肿瘤者进行切除肿瘤等抗肿瘤治疗。因此,对于临床上新发的癫痫,尤其是药物难治性癫痫,要结合脑电图和磁共振检查,排除自身免疫性脑炎,必要时要进行腰椎穿刺行脑脊液抗体检测协助诊断,以免延误病情。


董长征
医学博士 副教授 硕士生导师
河北省人民医院神经外二科主任从事神经外科专业20年,擅长各种顽固性癫痫的术前评估,药物难治性癫痫的外科手术治疗。

科室简介
河北省人民医院神经外二科是以癫痫病的规范化治疗为特色的专业科室。难治性癫痫的手术治疗是我科治疗特色。科室包括神经外科、神经内科及神经电生理医师,按照大型国内癫痫中心的要求进行配置,拥有先进的评估设备,丰富的治疗经验,保障每位癫痫患者均能得到合理、科学、规范的治疗。

《化痫为夷》病例分享第1期-海马硬化致难治性颞叶癫痫的手术治疗
《化痫为夷》病例分享第4期-脑海绵状血管瘤继发癫痫的手术治疗
《化痫为夷》病例分享第7期-以癫痫为首发症状的多形性黄色星型细胞瘤手术切除一例