
01
患者基本情况
患者男,56岁 简要病史:患者于2019年11月起出现右侧肢体无力,伴有记忆力减退,偶觉头痛,未伴恶心、呕吐症状,未进行系统诊疗。2020年4月就诊于当地医院,行颅脑磁共振,提示颅内占位 既往史、过敏史及肿瘤家族史:无 查体:记忆力下降,右侧肢体活动欠灵活,肌力IV级,右侧视野同向性偏盲
02
诊治经过
2020-04:颅脑磁共振提示颅内占位 2020-05:手术 2020-06-03(术后26天)院内MDT:图示

Stupp方案:IMRT放疗,PTV:60Gy/30f;替莫唑胺75mg/m²/d ×42天

2020-08-13:开始TTFields治疗 2020-08-19:开始替莫唑胺150-200mg/m²/d,1-d5
03
病理检测及分子基因检测结果


原始术后病理:弥漫性胶质瘤,至少WHO 3级
IHC:CD34(血管+),CD45(LCA)(-),CD68(-),Ki-67(50+),P53(+),ATRX(+),H3K27M(-),CK(PAN)(-),GFAP(+),S-100(+),Vimentin(+)IDH1(-),NeuN(-),Olig-2(+),Desmin(-),Myogenin(-),MyoD1(-),Actin(SM)(-)
病理会诊:间变性星形细胞瘤,局部胶质母细胞瘤改变
分子病理:


MGMT启动子甲基化阳性 IDH1/2野生型 染色体1P/19q未见联合缺失 CDKN2A、CDKN2B缺失
04
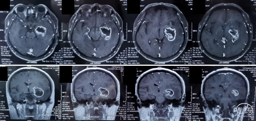
影像学资料
2020-04-26术前MRI:图示。


术后1天CT复查:图示。

术后3天CT复查:图示。

术后23天MRI对比:图示。

2020-07-20术后MRI(术后2.5个月,放疗后,TTFields治疗前):图示。

2020-10-15术后MRI(术后5月余,TTFields治疗后2个月):图示。

2021-01-26术后MRI(TTFields治疗后5.5个月):图示。

2021-04-22术后MRI(TTFields治疗后8个月):图示。

不同时期MRI对比:图示。

05
佩戴TTFields情况
2020-08-13患者首次佩戴TTFields设备(术后3个月):图示。



头皮反应及处理(2020-09-17,首次佩戴后1月余):

临床表现:红疹、水疱。
处理方法:
指导患者在更换贴片前充分洗净头皮,达到清洁的目的 用碘伏消毒头皮表面,防止感染 使用抗炎及消肿的药膏均匀涂抹头皮表面,患者使用百多邦和丁酸氢化可的松药膏 患者对症治疗后症状缓解,继续使用肿瘤电场治疗
电场治疗依从性:
2020-09-21(术后4.5月,TTFields治疗后1月7天):肿瘤电场治疗依从性91%。

2020-11-11(术后6个月,TTFields治疗后3个月):肿瘤电场治疗依从性94%,患者KPS90分,头皮无不良反应。

2021-01-25(术后8.5个月,TTFields治疗后5.5个月):肿瘤电场治疗依从性93%。

2021-04-22(术后11个月,TTFields治疗后8个月):肿瘤电场治疗依从性93%。

2021-06-30(术后13个月,TTFields治疗后10个月):肿瘤电场治疗依从性92%。

2021-09-02(术后16个月,TTFields治疗后13个月):肿瘤电场治疗依从性91%。

2021-12-02(术后19个月,TTFields治疗后16个月):肿瘤电场治疗依从性92.74%。

2022-02-17(术后21个月,TTFields治疗后18个月):肿瘤电场治疗依从性90.64%。


此次使用期间的主要问题:温度过高(报警354次)。
主要原因:
1.出汗较多:患者自理能力好,喜欢运动、晒太阳,头皮温度控制不佳;
2.头发生长过快,导致贴片与皮肤接触不好;
3.头皮痒,爱抓绕,导致贴片与皮肤接触不好。
改进措施:
1.调整室内温度,避免过热,外出时避免太阳直射,穿戴透气假发、帽子等,使用棉质帽子或枕巾,减少头皮出汗,及时检查贴片是否松动,必要时及时更换贴片;
2.头发生长较快,注意每次将头皮的毛发清理干净。更换贴片时观察有无水凝胶融化现象,若出现头发生长过快或者水胶体融化现象,应及时更换贴片;
3.更换贴片前使用抗过敏软膏外涂,减少过敏导致的发痒;
4.夜间睡觉,必要时可用胶布及头套加以固定;
5.避免贴片磁盘直接接触疤痕;
6.未使用的贴片放置在阴凉干燥的地方保存;
7.叮嘱患者活动适当,减少出汗。
患者目前生活状态:图示。

06
病例结论
患者男,56岁,间变性星形细胞瘤,局部胶质母细胞瘤改变(IDH野生型,MGMT启动子甲基化阳性) MDT团队进行诊疗方案的制定,患者术后采用“Stupp+肿瘤电场治疗(TTFields)同步替莫唑胺辅助化疗”治疗方案 术后3个月开始佩戴TTFields治疗设备,期间出现短暂性红肿、水疱等头皮反应,经清洁、碘伏消毒、使用抗炎消肿药膏等对症治疗后症状缓解,继续使用TTFields治疗 TTFields治疗总体依从性良好,达91%以上,患者目前生活状态良好,无复发
07
TTFields治疗开展情况:目前共6例。其余5例患者情况如下:
1.男性,50岁。
诊断:胶质母细胞瘤;
分子检测:MGMT甲基化(+),IDH1(-),1p19q无联合缺失;
TTFields治疗:2019年8月20日-2019年12月19日。
2.女性,53岁。
诊断:胶质母细胞瘤;
分子检测:MGMT甲基化(+),IDH1(-);
TTFields治疗:2020年12月7日-至今。
3.女性,64岁。
分子检测:MGMT甲基化(-),IDH1(-),1p19q无联合缺失;
TTFields治疗:2021年4月16日-至今。
MDT发展:常态化、规范化、个体化
2001年:科室就将胶质瘤的治疗完全系统化,提出多学科协作模式的理念,联合放疗科、影像科、病理科对胶质瘤患者做出系统的个体化诊疗方案 2009年11月起:先后在沈阳、瓦房店、鞍山、抚顺、锦州、铁岭等多个辽宁省内城市召开《中国中枢神经系统恶性胶质瘤诊断和治疗共识》解读会,进一步推广MDT诊疗模式 2012年:联合广州中山大学肿瘤防治中心神经外科等全国知名专家进行MDT治疗 2012年:成立辽宁省肿瘤医院胶质瘤综合治疗MDT专家门诊 2015年:主编《常见恶性肿瘤多学科综合诊断与治疗丛书-神经系统恶性肿瘤》 2017-2019年:连续三年开展胶质瘤国际MDT会诊 2020:开展MDT理念指导下的胶质瘤规范化诊疗巡讲活动(全国共10场) 2022年本团队加入“国家神经疾病医学中心脑胶质瘤MDT专科联盟”,朴浩哲教授荣任第一届常务理事 2022年朴浩哲教授荣任“国家神经疾病医学中心脑胶质瘤MDT专科联盟”主任委员
李霞教授:
专家简介

辽宁省肿瘤医院神经外科 主任医师
中国抗癌协会神经肿瘤专业委员会常务委员兼学会秘书长
中国医师协会脑胶质瘤专委会委员
辽宁省抗癌协会神经肿瘤专业委员会常务委员
辽宁省细胞生物学学会外科生物材料专业委员会常务委员
辽宁省细胞生物学学会细胞研究与治疗专业委员会常务理事
辽宁省胶质瘤重点实验室副主任
辽宁省肿瘤医院神经肿瘤综合治疗专家组成员
主持省科技厅重大科研项目1项,作为第二负责人参与由中国抗癌协会神经肿瘤专业委员会主办的全国多中心科研项目2项,辽宁省科技厅重大科研项目2项。作为副主编编撰专著2部,参编书籍2部
研究领域:神经胶质瘤,脑转移瘤、中枢神经系统淋巴瘤等恶性颅内肿瘤个体化综合治疗及基础研究

辽宁省肿瘤医院头颈放疗科主任,主任医师,教授
中华医学会放射肿瘤治疗学分会鼻咽癌学组委员
中国临床肿瘤学会(CSCO)鼻咽癌专家委员会委员
中国抗癌协会神经肿瘤专业委员会委员
中国医师协会放射肿瘤治疗医师分会中枢神经肿瘤放疗学组委员
辽宁省抗癌协会癌症康复与姑息治疗专业委员会主任委员
辽宁省抗痛协会放疗专业委员会副主任委员
辽宁省抗癌协会神经肿瘤专业委员会副主任委员
辽宁省医学会肿瘤放疗专业委员会委员

辽宁省肿瘤医院神经外科副主任医师,医学硕士
中国抗癌协会神经肿瘤专业委员会原发性中枢神经系统淋巴瘤学组秘书
参与省级课题多项,发表国内外期刊收录论文10余篇
熟练掌握中枢神经系统肿瘤的影像学表现。主要从事颅内胶质瘤、淋巴瘤的综合治疗,垂体瘤、脑膜瘤、神经鞘瘤等的手术治疗




