
近日,上海长征医院神经外科蒋磊教授团队成功完成一例颅内桥小脑角区巨大脑膜瘤的切除手术。桥小脑角区毗邻生命中枢脑干,周围重要血管神经密布,肿瘤长大时会压迫周围这些重要神经血管、小脑甚至脑干,尤其巨大肿瘤,手术难度大,风险极高,手术的每个细节都至关重要。
患者郑阿姨,今年58岁,已经有多年声音嘶哑,引水呛咳,但一直未查找出病因,近一月来郑阿姨症状加重,并且新出现严重头晕、走路不稳,做颅脑核磁共振才发现颅内桥小脑角区长了巨大肿瘤,遂立即前往上海长征医院神经外科蒋磊教授处就诊。

#01

#02
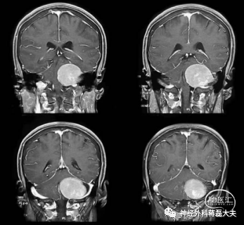
神经外科蒋磊教授带领团队充分讨论,患者术前喉镜示左侧声带运动麻痹,头颅MRI检查发现桥小脑角巨大肿瘤,紧邻脑干,与舌咽面神经、迷走神经等后组颅神经关系密切。蒋磊教授指出肿瘤体积巨大,但从影像学判断为良性脑膜瘤,直径6cm,已经明显压迫脑干颅神经导致吞咽困难、声音嘶哑和左侧声带麻痹,由于肿瘤巨大已经严重压迫脑干和小脑导致行走不稳,必须尽快手术,以防出现生命危险。

考虑到患者术前已经出现后组颅神经受损,手术更需仔细轻柔操作,最大程度保护颅神经、脑干和小脑功能。蒋磊主任与家属充分沟通,经家属同意,最终决定在神经电生理监测下行左侧乙状窦后入路开颅手术切除肿瘤。
经过充分术前准备,在麻醉医师密切配合下,历时3.5个小时,显微镜下顺利肿瘤全切,手术丝毫未损伤脑干旁血管及细小穿支血管及附近颅神经,术中出血仅50ml,手术过程未输血,肿瘤切除后整个脑干及表面血管、神经完美呈现在显微镜下。
(术中)

(术中)

(术后)

术后患者恢复理想,饮水呛咳、声音嘶哑症状好转,颅神经功能逐步恢复,很快可行走自如,顺利出院。

据蒋磊教授介绍,脑膜瘤就是生长在脑膜上的肿瘤,起源于蛛网膜颗粒细胞。脑膜瘤是颅内第二大常见肿瘤,绝大多数是良性的,生长慢,病程长。发病高峰45岁左右,女性多见。

脑膜瘤在头颅中的位置、大小不同,引起患者表现出不同的症状。因肿瘤膨胀性生长,造成局部压迫症状,例如头痛、呕吐、癞痫、视力障碍、嗅觉丧失、手脚乏力等。
根据其发生的解剖部位分为:凸面脑膜瘤、颅底脑膜瘤和脑室内脑膜瘤三大类,其中凸面脑膜瘤最多、其次为颅底脑膜瘤、最后为脑室内脑膜瘤。

桥小脑角区(CPA)是一个锥形窄小的空间,集中了听神经、面神经、三叉神经及岩静脉、小脑前上动脉等重要结构。桥小脑角区脑膜瘤一般起源于覆盖在岩锥后表面的硬膜,位于三叉神经的外侧。手术难度大,易遗留肢体瘫痪、面瘫、听力损伤等并发症。完整切除桥小脑角区脑膜瘤且不伤及周边脑干、神经和血管,手术的每个细节都至关重要。

总体而言,桥小脑角区脑膜瘤以手术治疗为主,大部分脑膜瘤只要位置不是特别深,脑周围功能不是特别重要,一般都能完整切除。显微精准治疗,使大多数病人得以治愈。
若肿瘤侵犯到了重要的血管、神经,手术不能全切,可接受次全切以保护神经功能,然后定期复查观察残余肿瘤。定向放射外科治疗有助于控制肿瘤生长,也可以考虑再次显微手术切除肿瘤。
专家简介

中国医师协会脑胶质瘤专业委员会青年委员,上海市医师协会神经外科医师分会委员,上海市医学会神经外科专委会青年委员,上海市抗癌协会神经肿瘤分会委员,中国生命关怀协会脑卒中救治及康复照护专业委员会委员。
长期扎根神经外科临床,擅长颅脑和脊髓肿瘤的显微手术治疗,特别是胶质瘤、脑膜瘤、垂体瘤、脊髓肿瘤等神经系统肿瘤的显微外科治疗,在高难度颅底肿瘤如脑膜瘤、听神经瘤和高颈段脊髓肿瘤的微创治疗方面积累了丰富经验。在国内较早对恶性脑膜瘤的分子机制进行深入研究,研究成果发表于《Biomaterials》、《Surgical Oncology》等多本SCI杂志,获全军神经外科涂通今优秀论文一等奖,胶质瘤、脑膜瘤相关基础和临床研究成果分别获上海市科技进步奖、军队医疗成果二等奖及三等奖,并获国家自然科学基金面上项目、青年项目和上海市自然科学基金资助,参编专著、教材3部,发表相关SCI论文20余篇。




