病例1
男,7岁,头痛1月入院。
影像学资料:




术前CT,MRI


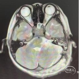
头部CT显示:左侧小半球可见不规则混杂密度影,边界欠佳,其内可见多发钙化,邻近第四脑室受压。双侧脑室稍扩张,骨窗未见异常,左侧内听道未见明显扩大。
头部MRI显示:左侧后颅窝可见一不规则占位性病变,呈等-稍长T1、等-长T2信号,Flare呈稍高信号,大小约67mm*41mm*36mm,病灶突入第四脑室、延髓后方及左侧内听道;脑干及延髓受压变形且向右移位。增强可见不规则不均匀强化。脑室系统稍扩大。




术后CT,MRI


远外侧入路全切除病变。术后建议放射治疗。
病理检查:室管膜瘤(WHO2级),局灶显间变型室管膜瘤(WHO3级)免疫组化结果:Ki67(局灶20%,大部分区域5%)。
病例2
男,12岁,头晕、头痛、呕吐伴视力模糊半月入院。
影像学资料:
术前MRI
头部MRI显示:右侧小脑半球可见团块状囊实性等-长T1、等-长T2信号,FLARE呈稍高-稍低信号,边界清楚,大小约47mm*44mm*34mm,病灶内可见大量囊变,增强后可见实性成分不均匀轻度强化。病灶挤压小脑蚓部、四脑室、脑桥,小脑蚓部可见斑片状长T1、长T2信号。幕上脑室系统未见明显扩大。
术后MRI
枕下乙状窦后入路全切除病变。术后建议放射治疗。
病理检查:髓母细胞瘤(WHO4级,倾向结缔组织增生/结节性、非WNT非SHH型),伴坏死,区域细胞增生活跃。免疫组化结果:TP53(野生型)Ki67(25%+)分子病理:倾向于SHH型,TP53野生型。
病例3
女,11岁,反复头晕3年加重伴间断性头痛2月入院。
影像学资料:
术前CT,MRI
头部CT显示:右侧小脑半球可见不规则混杂密度灶,CT值平均15-27HU,较大层面范围约75*62mm,第四脑室受压变窄,;邻近左侧小脑半球及脑干受压推移,幕上脑室扩大,双侧脑室前后角旁见对称性条片状低密度区。
头部MRI显示:第四脑室右侧小脑半球可见不规则等-长T1、等长-长T2信号灶,大小约75mm*59mm*56mm,增强后病灶可见明显不均匀强化,第四脑室受压变窄,邻近双侧小脑半球及脑干受压推移,幕上脑室扩张,双侧脑室前后角旁见对称性条片状长T1-长T2信号灶。



术后MRI
枕下后正中入路,旁正中骨瓣全切除病变。
病理检查:毛细胞星形细胞瘤(WHO1级)。
总结体会:儿童后颅窝肿瘤中四脑室肿瘤居多,因四脑室位于中线,因此该区域起源肿瘤位置常居中。但是也有一些肿瘤起源于后颅窝两侧,其肿瘤位置则居于中线两侧。常见的肿瘤类型也是髓母细胞瘤、室管膜瘤及低级别胶质瘤胶质瘤等。在2021年中枢神经系统肿瘤分类中,髓母细胞瘤为WHO4级的肿瘤,室管膜瘤多为WHO2级与WHO3级的肿瘤。常见的低级别胶质瘤有毛细胞型星形细胞瘤(WHO1级)与毛细胞粘液型星形细胞瘤(WHO1级)等。
多数可以通过术前病史及影像学资料预测病理类型。但也有部分肿瘤术前预测困难,需病理检查明确。术前诊断与术中快速病理报告对手术策略制定至关重要。三类肿瘤中低级别胶质瘤预后最好,手术如能全切不必放射治疗与化疗!室管膜瘤如能全切,复发几率明显降低!髓母细胞瘤则需要包括手术在内的综合治疗!与位于中央区肿瘤不同的是,外侧型(或CPA区)室管膜瘤因为有更多的钻孔生长,且常常包绕侧方的神经与血管,其手术困难更多更大。而起源于小脑半球的髓母细胞瘤,除手术难度小于起源于蚓部的髓母细胞瘤(中央型)外,理论上发生转移或脑脊液播散的概率也会小一些;另外半球起源者缄默症及其他相关并发症发生概率也较低。相同的是,无论室管膜瘤还是髓母细胞瘤,低龄儿童(3岁以下)预后显著较差!


例1为室管膜瘤,病变内存在大量钙化,且在神经血管间隙内生长,与之相互缠绕包裹。切除肿瘤后小脑后下动脉及其分支,第Ⅶ、Ⅷ、Ⅸ、Ⅹ、Ⅺ、Ⅻ脑神经完整保留。例2为髓母细胞瘤,肿瘤相对局限,虽累及至小脑下脚,但未突入四脑室。切除肿瘤后四脑室壁完整无开放。例3为毛细胞型星形细胞瘤,肿瘤可能起源于小脑下脚区域,部分突入四脑室内,但边界清楚,切除过程顺利。
END