
题目:
破裂的真性脉络膜前动脉微小动脉瘤的治疗
Endovascular treatment for ruptured true anterior choroidal artery tiny aneurysm
摘要:
患者男性,31岁,因突发头痛3小时入院。诊断:自发性蛛网膜下腔出血;破裂的真性脉络膜前动脉微小动脉瘤。急诊给与动脉瘤单纯栓塞术。一个月后,二期给与支架植入术。
A 31-year-old male patient with sudden headache for 3 hours was admitted into our department with the diagnosis of subarachnoid hemorrhage arising from ruptured true anterior choroidal artery tiny aneurysm, then this aneurysm was successfully treated with coiling in acute stage, followed by a delayed Lvis stent implantation after one month.
KEY WORDS:subarachnoid hemorrhage, coiling , stent
前言
尽管血管内治疗策略和支架性能的进步已经极大的提高了治疗颅内复杂动脉瘤的能力[1-5],但是,对于一些特殊解剖结构动脉瘤的处理仍然是有挑战性的。诸如破裂的真性脉络膜微小动脉瘤的治疗,此类动脉瘤治疗的复杂性因为同时具备了下面4个特点:破裂出血、相对宽颈、微小、动脉瘤的位置距离脉络膜前动脉和颈内动脉连接处有一段距离。相对于血管内治疗而言,手术夹闭脉络膜前动脉瘤有相对更高的脉络膜动脉相关的梗塞风险[6]。在栓塞动脉瘤的同时维持颈内动脉和脉络膜前动脉的通畅,几个常见的血管内治疗技术,诸如单纯栓塞、球囊辅助栓塞和支架辅助栓塞也是挑战性的。此外,血流导向装置植入对位于粗大分支血管的破裂动脉瘤也不是理想的选择[7]。我们采用分期治疗的方法成功治疗了一例破裂的真性脉络膜前动脉瘤:急性期给与单纯栓塞,二期(一个月后)给与LVIS支架植入。
病例简介
患者介绍
性别:男性
年龄:31岁
主诉:突发头痛3小时
病史简介
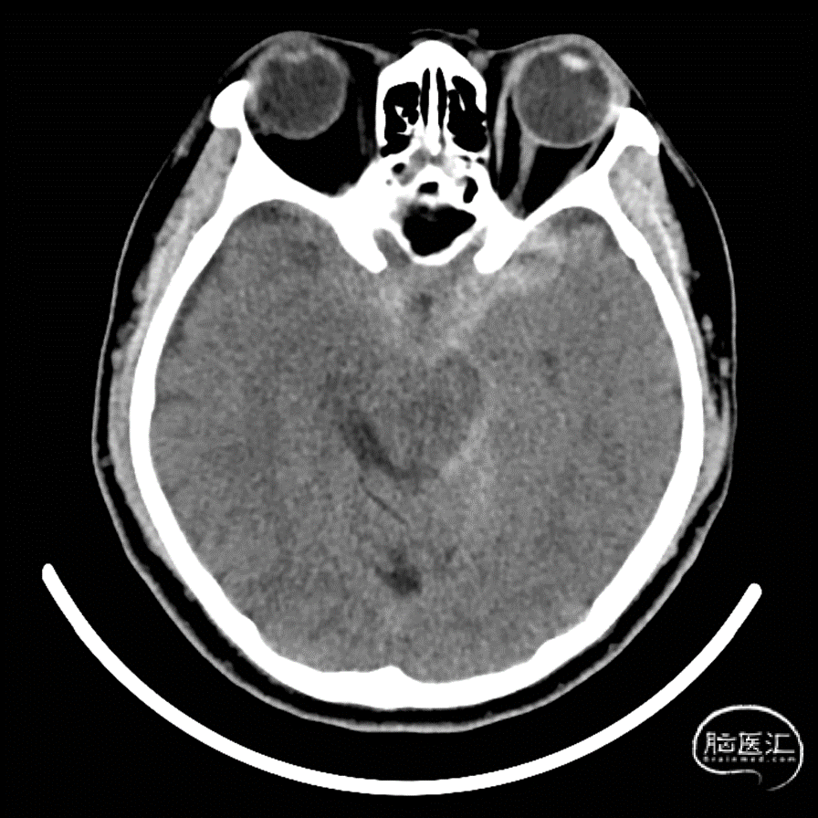
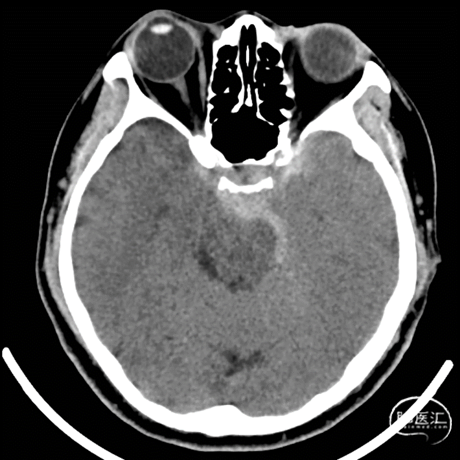
现病史:3小时前突发头痛,急诊行头颅CT提示:自发性蛛网膜下腔出血
既往史:无高血压和糖尿病病史
查体
神志清,四肢肌力肌张力基本正常,脑膜刺激征(+)
初步诊断
自发性蛛网膜下腔出血
术前影像学检查
头颅CT


正位造影

侧位造影

DSA三维重建

DSA:数值测量

诊断和鉴别诊断
诊断
自发性蛛网膜下腔出血
破裂的真性脉络膜前动脉微小动脉瘤
鉴别诊断
脉络膜前动脉动脉瘤和真性脉络膜前动脉动脉瘤的鉴别,后者的位置距离脉络膜前动脉和颈内动脉的连接处有一段距离
治疗方案
手术策略
急性期采用弹簧圈单纯栓塞
二期支架植入(术前给予3天常规剂量抗血小板药物准备;术后6周停用波立维,长期服用单抗阿司匹林100mg,一日一次)
手术材料
急性期:
Envoy DA
Echelon 10微导管
Platinum微导丝
Galaxy G3 MINI 1mm*1cm弹簧圈
二期:
Envoy DA
Headway 21微导管
Platinum微导丝
LVIS stent 3.5mm/15mm
急性期治疗
治疗过程
工作角度造影

Roadmap

微导管超选

Galaxy G3 MINI 1mm*1cm的mini(强生)

术后情况/术后即刻:动脉瘤不显影

术后3D重建:动脉瘤不显影,载瘤动脉通畅

二期治疗
一个月后二期支架(LVIS 3.5mm/15mm)植入
治疗过程
压颈试验

工作角度造影

数值测量

Roadmap

支架远端定位和释放

释放过程
术后即刻

术后即刻支架形态

微导丝按摩

按摩后支架的形态

支架和弹簧圈重建的形态


讨论
目前,很少的研究关注真性脉络膜前动脉(AchA)动脉瘤的治疗[8]。动脉瘤位于AchA和ICA交接处的远端。当AchA的起始部又扩大为壶腹的时候,支架植入直径梯度大的AChA是有挑战性的。对于小直径和破裂的动脉瘤来说,AchA或者ICA内植入支架也存在缺血性事件的风险。同样的,ICA内的球囊或者支架辅助栓塞也难以对真性脉络膜前动脉动脉瘤提供有效的脚手架的支撑保护,存在弹簧圈疝出到AChA的风险。在本例患者中,我们采用急性期单纯栓塞的策略致密栓塞真性脉络膜前动脉微小动脉瘤,二期(一个月后)给与支架植入预防复发。通过分期治疗的策略成功治疗该例患者,患者围手术期和6个月临床随访的mRS评分为0分。血管造影的随访近期计划安排中。
学习要点
01
破裂的真性脉络膜前动脉微小动脉瘤的治疗是有挑战性的。
02
急性期给与单纯栓塞,二期给与支架植入是相对可行和安全的方法之一。
专家点评
01
该动脉瘤为真性脉络膜前动脉动脉瘤,解剖结构和治疗具有复杂性:首先,其位置距离脉络膜前动脉和颈内动脉的交接处有一段距离,治疗相对困难;其次,该动脉瘤又是相对宽颈的微小动脉瘤,弹簧圈的成篮、稳定性和大小选择要求更高;最后,该动脉瘤为破裂动脉瘤,急性期单纯栓塞动脉瘤,有利于降低/消除再次出血的风险,避免了急性期支架植入使用抗血小板药物的顾虑。
02
治疗策略评价:急性期单纯栓塞破裂动脉瘤,二期给与支架植入是相对安全和可行的方法之一。

参考文献:
点评专家简介
刘建民
海军军医大学附属长海医院
主任医师,教授,博导;
脑血管病中心主任,全军脑血管病研究所所长;
国家卫健委脑卒中防治工程专家委员会秘书长;
国家卒中中心管理专家委员会副主任;
中国卒中专科联盟副主席;
国家“百万减残工程”南方办公室主任;
中国医师协会介入医师分会副会长;
中国医师协会神经外科医师分会常务委员;
中华医学会神经外科分会常务委员;
全军神经外科专业委员会副主任委员;
世界神经介入大会(WLNC)执委;
2011世界颅内支架大会(ICS)主席;
2016/2021 WLNC主席;
东亚神经介入大会(EACoN)主席;
脑医汇-神介资讯主编。
术者简介
赵开军
同济大学附属东方医院
博士,博士后,硕士研究生导师,现为同济大学附属东方医院神经外科副主任、血管组组长、东方医院南院神外执行主任、副主任医师、主诊医师(原为:海军军医大学附属长海医院脑血管病中心主诊医师)、OCIN高级讲师。
现为上海市和国家科技库专家、国家执业医师考试主考官,通过国家专科医师规范化培训师资考核(中国医师协会)。担任Stroke、European Journal of Radiology、Neuroradiology、Journal of neurology and Neurosurgery、Interventional Neuroradiology,Journal of clinical neuroscience、Emergency Medicine、Journal of Oncology等多家国外杂志审稿人。多次在国内外学术大会上进行学术交流和参加手术演示。以长海介入团队参与人身份先后获上海市科学技术成果奖、科学技术进步一等奖和上海市科学技术奖个人证书。主持/参加军队和地方各类课题10余项。参编脑防委介入治疗适宜技术、脑血管病介入治疗操作规范、颅内动脉瘤介入治疗学等专著。以第一/共同第一作者发表SCI论文14篇,其中单篇最高引用50余次。
专业特长:擅长各种颅内外动脉瘤、夹层动脉瘤、椎基底动脉冗扩、脑血管畸形、颈动脉海绵窦瘘、硬脑膜和硬脊膜动静脉瘘、颅内外血管狭窄、颅内静脉和静脉窦血栓、烟雾病、急性脑血管卒中、蛛网膜下腔出血、脑梗塞、颅内外血管慢性闭塞(开通术)等脑血管病的治疗。
专业方向:脑血管病。博士师从上海交通大学附属瑞金医院神经外科沈建康教授,博士后师从海军军医大学附属长海医院脑血管病中心刘建民教授。







