按照目前颈动脉狭窄的诊疗指南,轻度颈动脉狭窄(一般认为狭窄程度<50%)主要以药物治疗为主,例如口服阿司匹林、阿托伐他汀等。但是,随着临床影像学技术的进步,结合我们在临床实践中发现的问题,目前对于某些看似并不严重的"轻度狭窄“患者,我们反而越来越重视。下面这个病例我认为很有代表性,在此与各位医生和患者朋友分享。
患者女性,41岁。入院13天前出现右下肢无力,4天前症状加重并出现口角左偏。在外院输液治疗后症状缓解。为进一步诊治,患者来到我院。
入院后,我们感觉患者年龄并不大,虽然有颈动脉狭窄的可能性,但是不排除烟雾病等其他疾病导致上述脑缺血症状。所以,我们很快安排了头颈部CTA检查、头部的磁共振检查和颈动脉高分辨率磁共振检查。结果如下。

图1 患者头颈部CTA,可见左侧颈内动脉起始部轻度狭窄,狭窄程度约20%。如箭头所示。如果仅仅从狭窄程度来讲,此病例符合内科药物治疗的指征。

图2 头部磁共振DWI序列可见右侧尾状核头位置急性/亚急性梗塞。说明缺血事件发生时间不长。

图3 头部磁共振ASL序列可见左额叶脑血流关注下降。说明左侧半球有缺血表现。

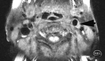
图4 颈动脉高分辨率磁共振可见左侧颈内动脉起始部有明显斑块形成,如箭头所示。颈动脉狭窄程度约50%。这与图1中CTA显示的狭窄程度(20%)差异很大。
患者入院后当天就完成了头部磁共振检查,发现左侧尾状核头部位急性/亚急性梗塞。值得注意的是,尽管我们马上积极使用了针对急性脑梗塞的药物治疗,但是患者住院后的病情在一定程度上有所加重,主要表现为理解力及语音表达的下降,肢体运动尚没有发现异常。
至此,我们认为有如下几个问题值得讨论:1.颈动脉狭窄程度到底信任哪一种检查,是CTA还是高分辨率磁共振。2.本例患者按照指南采用单纯口服/静脉的药物治疗是否安全有效,是否可以预防将来的脑梗塞。3.手术是否可行,安全性有多大?
第一个问题:我们更信任高分辨率磁共振检查的结果。从以往的经验中,我们认为颈动脉CTA尽管在筛查颈动脉狭窄上有很大优势,但是在判断颈动脉狭窄程度上,没有高分辨率磁共振准确。从术中的实际情况验证来看,CTA容易在某种程度上低估狭窄的实际水平。相比之下,高分辨率磁共振对狭窄程度的判断更接近术中所见的实际情况。
第二个问题:从患者入院后的病情变化来看,单纯的药物治疗先不用说是否能够预防远期的脑梗塞发生,即便是本次梗塞,很可能都在进展阶段。从高分辨率磁共振的影像学特点判断,这个斑块并不稳定,在颈动脉内高速血流的冲击下,随时有继续脱落的风险。所以,继续采用单纯的药物治疗很可能不安全。当然,从远期考虑,患者的不稳定斑块已经造成过本次脑梗塞,未来数年内再次发生脑缺血事件的几率应该不低。
第三个问题:颈动脉内膜剥脱术(CEA)在大量的临床研究中已经被认为安全有效。但是,在急诊情况下做CEA的风险要高于非急诊期手术。因此,我们通常更愿意等待几天,超过急性发作期1周以上甚至10天以上再做手术。如果患者病情稳定,此时手术的风险就不是很大了。必须要提出的是,急诊CEA虽然比非急诊期CEA风险高,但不是手术禁忌。
基于以上几点考虑,我们在患者入院3天后安排了手术。手术顺利,术中颈动脉的狭窄程度令我惊讶。

图5 显露颈动脉分叉部。可见颈总动脉(CCA)、颈内动脉(ICA)、颈外动脉(ECA)、甲状腺上动脉(STA)、迷走神经干(CN X)及舌下神经干(CN XII)。斑块(Plaque)位于颈动脉分叉部。

图6 阻断血流,穿刺抽吸管腔内血液后的血管形态。可见颈动脉分叉部两侧的血管均已塌陷,但斑块部位依然膨隆。

图7 切开颈动脉壁后,可见管腔狭窄程度保守估计为70%。最狭窄处位于左侧无创镊子尖端向左1cm。

图8 切除大部分颈动脉斑块后,清理血管壁上残留的斑块颗粒。

图9 缝合血管壁后。可见颈总动脉(CCA)、颈内动脉(ICA)、颈外动脉(ECA)、甲状腺上动脉(STA)、舌动脉(LA)、迷走神经干(CN X)及舌下神经干(CN XII)。
术后患者恢复比较好,症状在术后前2天几乎完全消失,精神状态好,语言及行动均明显改善。术后第3天总体的状态较2天前略有下降,但与术前相比仍好转。考虑与术后早期脑血流突然增加,之后重新建立平衡有关。
从这一例术前CTA检查似乎“轻度狭窄”的病例中,我觉得有以下几点在今后工作中应予以重视。1.重视术前的颈动脉高分辨率磁共振检查,它比CTA甚至DSA更真实地反映了颈动脉斑块的情况,尤其是在判断狭窄程度和稳定性方面。2.治疗方案要个体化,我们要尊重基于多中心研究制定的治疗指南但不拘泥于指南。每一个患者都有不同于其他患者的独特之处。个体化选择在制定治疗方案中尤为重要。3.颈动脉斑块虽然已经研究了数十年,但是随着诊疗技术及术前评估方法的进步,其手术指征应该逐步脱离单纯依靠狭窄程度判断的限制。例如斑块稳定性差、脑灌注下降、既往有脑梗塞病史和认知功能障碍等因素在制定治疗方案时应予以考虑。
以上只是作者本人不成熟的一些思考,欢迎各位朋友批评指正。
更多精彩内容 请关注作者




