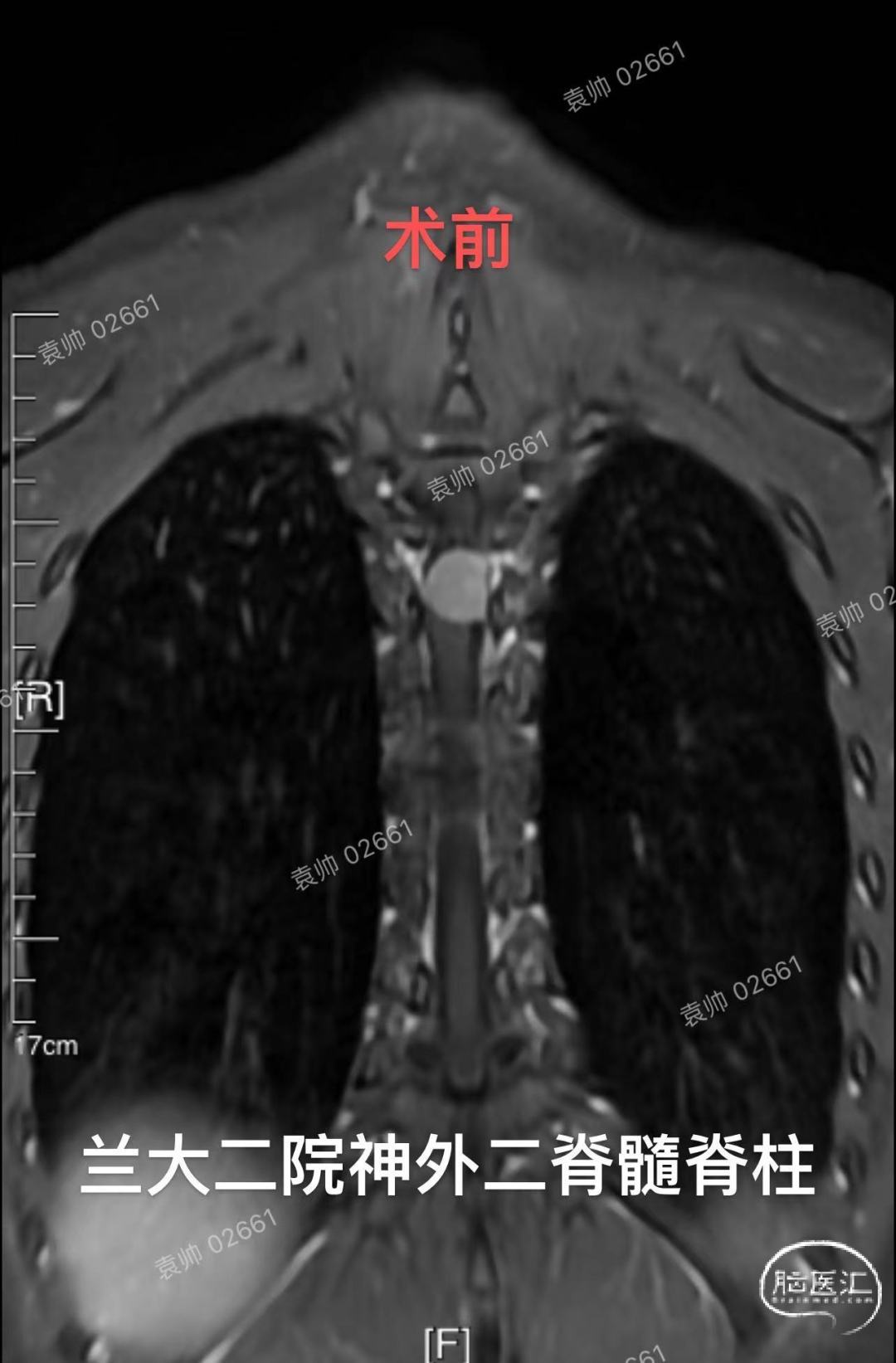
兰州大学第二医院神经外科二病区脊髓脊柱组病例分享:20岁年轻女性,T3-4脊髓背侧脊膜瘤。对于胸段脊膜瘤的治疗,大家都不陌生,手术难度不大,术后复发率低。但是相对于大多数凸面脑膜瘤,可以做到肿瘤基底硬膜全切,达到Simpson 1级切除,脊膜瘤全切附着硬脊膜,重建困难,容易术后脑脊液漏,并且对于年轻患者,不能完全避免肿瘤复发。由于硬脊膜内外层易于剥离,不同于硬脑膜,而脊膜瘤通常只会侵及内层硬膜,所以,我们推荐使用Saito技术,以剥除肿瘤附着硬脊膜内层,达到近似Simpson 1级切除的效果,可以有效预防肿瘤复发。









参考文献:
A Novel Technique for Surgical Resection ofSpinal Meningioma
Taichi Saito, MD, PhD, Takeshi Arizono, MD, PhD, Takeshi Maeda, MD, PhD, Kazumasa Terada, MD, PhD,and Yukihide Iwamoto, MD, PhD




