胶质瘤的治疗任重道远,良好的胶质瘤疗效需要胶质瘤诊疗环节中的每一步全力以赴。手术作为胶质瘤治疗的首要及主要方式,则需要将“最大化肿瘤切除,最大化功能保留”的理念发挥到极致。
为进一步推动脑胶质瘤手术技术的规范化,以及提高青年神经外科医师对胶质瘤全流程诊疗管理的认识,四川大学华西医院胶质瘤中心王翔教授,积极筹备,精心准备,配合国家及医院疫情防控要求,采用线上线下结合形式,于2022年5月20-21日在四川大学华西上锦分院成功举办“脑胶质瘤诊疗全流程观摩会-四川大学华西医院上锦分院胶质瘤手术演示暨规范化诊疗学术会议”。会议包括胶质瘤门诊观摩,胶质瘤手术直播,以及胶质瘤手术相关知识授课三部分。
四川大学华西医院胶质瘤中心主任毛庆教授作为大会主席,四川省肿瘤医院神经外科刘劲松教授为会议主持,华西胶质瘤中心刘艳辉教授、月强教授、王翔教授以及沈琦等医生进行胶质瘤手术、影像、电生理以及患者管理等专题授课。同现场30余位省内外致力于胶质瘤治疗的神经外科同道共同探讨胶质瘤治疗的未来及困难。会议及手术实时线上直播,邀请到西安交通大学第一附属医院王拓教授、华中科技大学同济医学院附属同济医院张所军教授、昆明医科大学第一附属医院汤志伟教授、陆军军医大学西南医院李飞教授、西安国际医学中心医院刘柏麟教授、云南省肿瘤医院范耀东教授以及空军军医大学西京医院李三中教授等神经外科专家线上互动,对话术者王翔教授,共同探讨胶质瘤攻克之术。王翔教授直播手术(丘脑胶质瘤以及海马复发胶质瘤),从开颅定位、入路设计到术中操作进行实时讲解。术中全面使用显微镜、电生理及直接电刺激、CUSA以及术中实时超声等手术设备进行肿瘤显露切除及脑功能保护,两台手术依次准时顺利完成。直播手术体现术者仁心仁术,呈现精湛手术技艺!四川省肿瘤医院刘劲松教授主持全程手术解说、带领互动和精彩讨论。全国有超1000余人次同行观看会议及手术直播。
此次会议让所有线上及线下参会者清楚认识到胶质瘤手术——特别是脑深部胶质瘤手术的特殊性及复杂性,更加深入了解华西神经外科在攻克脑胶质瘤方面做出的努力和贡献,进一步提高华西神经外科在全国的影响力。
胶质瘤门诊观摩(5月20日全天)

胶质瘤相关专题讲座(5月21日)

1. 毛庆教授作为本次大会主席,致开场词,提及了目前全球及国内胶质瘤的治疗现状,虽然胶质瘤目前预后相对较差,但手术最大范围安全切除,术后的规范化诊疗还是能够给患者带来较长时间的生存周期。
2. 刘艳辉教授——幕上深部病变手术体会。
3. 月强教授——多灶性胶质瘤影像学特点。
4. 沈琦教授——功能区胶质瘤手术中电生理监测及直接电刺激的使用。
5. 王翔教授——胶质瘤手术新进展分享及技术探讨。
6. 王翔教授——“相约星期五”-胶质瘤门诊患者回顾。
手术直播演示(5月21日)

病例1:(9:00—12:30)
主刀:王翔教授
第一助手:宋庆鑫 第二助手:罗勇
电生理:沈琦
麻醉:仇艳华教授
巡回护士:殷漫;洗手护士:舒巧玲


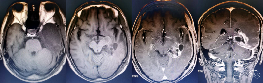
术后复查:

术后病理诊断:右侧丘脑弥漫中线胶质瘤(H3K27突变,WHO 4级)
病例2 (13:00-16:00)
主刀:王翔教授
第一助手:詹傲 第二助手:王浩
电生理:沈琦
麻醉:何雪梅教授
巡回护士:冉琴;洗手护士:卫明凤

术后复查:

术后病理诊断:左侧海马复发胶质母细胞瘤(IDH野生型,WHO 4级)
术者简介
王翔 教授
四川大学华西医院






