

题目:
椎基底动脉冗扩的介入治疗
Endovascular therapy of Vertebrobasilar Dolichoectasia
摘要:
57岁,男性,15月前突发右侧肢体活动不利伴言语不清,当地医院行溶栓治疗后病情好转,遗留言语不利。3月前再次突发左侧肢体活动不利,言语不能,保守治疗后肢体活动较前好转,遗留言语含混不清。行头颅MRI及CTA提示基底动脉冗长扩张,予以重叠支架植入及对侧椎动脉闭塞治疗。冗扩修复,无新发缺血症状。
A 57-year-old male experienced a sudden onset of movement disorders of the right side with slurred speech 15 months ago. His condition improved after receiving thrombolytic treatment at a local hospital with slurred speech left untreated. He had another sudden onset of movement disorders of the left side with speech impairment 3 months ago. After conservative treatment, his movement ability improved with slurred speech remained. The following MRI and CTA revealed Vertebrobasilar Dolichoectasia, treated with overlapping stenting from the L-VA to the basilar artery and a staged sacrifice of the R-VA. The treatment was successful, with no ischemic complications observed.
KEY WORDS: Vertebrobasilar Dolichoectasia,stenting
椎基底动脉冗扩(又叫椎基底动脉延长扩张症, Vertebrobasilar dolichoectasia, VBD)表现为椎动脉及基底动脉的异常迂曲、延长和扩张。有压迫症状的患者在血管内治疗后的预后比无压迫症状(包括出血和缺血症状)的患者差。目前使用重叠编织支架技术、血流导向装置重建以及自膨式支架辅助弹簧圈分期重建椎基底动脉是较为常见的治疗策略,可在一定程度上改善椎基底动脉的扩张变形;但术后由于血流重建易导致急性缺血及出血事件,并发症发生率高,目前较为有效的治疗策略仍需进一步研究验证。
病例简介
患者介绍
性别:男性
年龄:57岁
主诉:发作性肢体活动不利伴言语不清15月
病史简介
现病史:患者于15月前突发右侧肢体活动不利伴言语不清,当地医院溶栓治疗后症状好转,遗留言语不利。3月前再次发作缺血症状,表现为左侧肢体活动不利,言语不能,经住院保守治疗后肢体活动好转,言语仍含糊不清。外院头颅CTA提示基底动脉冗扩
既往史:高血压病史10年,药物治疗控制可
查体:神清,言语含混,饮水呛咳,四肢肌力5-级
初步诊断
基底动脉冗扩
术前影像学检查
外院头颅MRI提示:左侧小脑及脑干均可见点状及片状新发脑梗


椎基底动脉走形区可见基底动脉增粗伴管腔内血栓形成,占位效应明显且压迫脑干


外院CTA侧位及后前位可见基底动脉增粗变形

头颅CTP提示后循环低灌注

管壁成像结果提示椎基底动脉增粗扩张,管腔外可见血栓成分并压迫脑干

术前左侧椎动脉DSA造影


中间导管超选到位后再次造影显示左侧椎动脉主供血,右侧椎动脉相对发育不全


术前药物准备
阿司匹林100mg+氯吡格雷75mg+利伐沙班15mg bid 5天
血栓弹力图检测:AA 100%,ADP 20.8%
治疗方案
手术策略
1. (一期)重叠LEO支架植入术
2. (二期)LEO支架植入+右侧椎动脉闭塞术
手术材料
(一期)
Tethys 105cm 6F中间导引导管
VASCO微导管
Transcend Platinum微导丝
LEO 5.5mm×75mm支架2枚
(二期)
Tethys 105cm 6F中间导引导管
VASCO,头端单弯塑形
LEO 5.5mm×75mm支架1枚
Echelon 10微导管
Jasper 3mm/12cm弹簧圈一枚
治疗过程
支架微导管超选至左侧大脑后动脉远端


释放第一枚LEO 5.5mm/75mm支架,远端位于基底动脉尖,贴壁良好,近端位于双侧椎动脉汇合处以远


支架微导管穿过第一枚支架至基底动脉顶端释放第二枚LEO支架,支架近端位于左侧椎动脉,贴壁良好


术后造影可见冗扩内造影剂瘀滞,对侧椎动脉显影


术后予以那曲肝素 0.4mg bid连用3天,阿司匹林 100mg qd长期服用,利伐沙班 20mg qd服用一月后患者因肺部感染咯血后停用。术后即刻饮水后呃逆较前好转,MRI未见新发脑梗

治疗过程
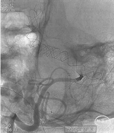
术后2月患者入院接受再次治疗,DSA造影显示管腔基本修复,仍残余小部分流入血流(红色箭头所示),再次行LEO支架植入及右侧椎动脉闭塞术。


导引导管超选至右侧椎动脉,在右椎汇入处填入Jasper 3/12弹簧圈一枚,造影可见右椎汇合处血流阻断



导引导管再次超选至左侧椎动脉,于支架内再重叠植入LEO 5.5/75支架一枚,支架远端位于基底动脉中段,近端位于左侧椎动脉。因受前次手术植入LEO限制,使得本次植入的LEO支架打开欠满意,使用Gateway 4/9球囊在6atm下球扩,使支架近端贴壁



术后DSA造影可见管腔通畅,未见大分支闭塞

术后MRI未见新发梗塞

术后情况
术后药物治疗方案
阿司匹林 100mg qd + 利伐沙班 20mg qd。
讨论
1. 回顾VBD的治疗经验,初始症状对血管内治疗后的预后有重要影响。有压迫症状的患者在血管内治疗后的预后比无压迫症状(包括出血和缺血症状)的患者差。
2. Mount和Taveras最早报道了通过闭塞双侧VA来治疗VBD的案例,另一些学者也在此基础上,提出使用介入或手术的方法治疗VBD。但是即便双侧VA均被闭塞,VBD仍可以继续生长;甚至还会加速病变的演变进程。虽然VBD普遍预后较差,但是目前使用重叠支架技术重建病变血管,可在一定程度上改善椎基底动脉的扩张变形,降低VBD对穿支的牵拉,改善穿支动脉血供,降低缺血事件的发生。
3. 由于VBD的特殊病理学改变,血管内弹力层退化,中膜网状纤维缺失容易造成出血,使用重叠编织支架、血流导向装置以及自膨式支架辅助弹簧圈分期重建椎基底动脉可有效降低继发于动脉破裂的死亡风险,而疗效需要进一步评估。因此,探索长期有效预防VBD后循环缺血事件发生的介入治疗方法,对于VBD的治疗格外重要。
根据血流动力学及血管的扭曲程度选择重建侧血管及闭塞侧血管。
02
桥接支架直径及重叠支架远近端着陆点选择。
03
弹簧圈填塞时需尽量避免分支闭塞的影响。
04
根据血流重构的情况决定重叠支架的层数及支架类型。
颅内动脉延长扩张症,是一类特殊的血管扩张性病变,其中80%累及椎基底动脉系统。自然预后极差,无论是药物保守治疗、血管内治疗或外科开放手术的效果欠佳。
VBD的血管治疗面临着极高的缺血并发症发生率,从治疗策略逐渐从最早积极地重叠多支架辅助弹簧圈栓塞,向单纯重叠支架直至分期重叠支架的转变,但降低手术风险的效果并不理想。
支架无法与血管完全贴壁,支架植入后支架外血流减慢导致血栓形成后的穿支血管闭塞是最重要的原因。这也提示除外抗血小板聚集外,抗凝治疗可能在预防血栓形成中起到非常重要的作用。
累及椎基底动脉汇合处的冗扩病变,在保留一侧椎动脉的同时,对侧椎动脉是否闭塞以及闭塞时机依然存在争议。
基底动脉冗扩采用支架或血流导向装置的血管重建影响结果是令人满意的,但临床结果以及支架外的动脉瘤转归仍是一大问题,此类患者的治疗应该更加谨慎,并需要长期临床及MR随访。

参考文献:
点评专家简介
黄清海
海军军医大学附属长海医院
脑血管病中心主任医师,教授,博士生导师
中华医学会神经外科分会介入学组副组长
中国医师协会介入医师分会全国委员
上海医学会脑卒中分会副主任委员
《中国脑血管病杂志》副主编
国家十三五重点研发项目负责人,主持国家自然科学基金项目5项


术者简介


吴一娜
海军军医大学附属长海医院
脑血管病中心主治医师、讲师
主攻方向:出血性脑血管病的临床研究
发表SCI论文7篇,参编专著5部







