患者基本信息
74岁,女性。
突发右侧肢体活动不利伴言语不清,1H。
PE:神清,失语,精神萎,无凝视,右侧中枢性面舌肢瘫,右侧肌力3级,右侧肌张力低,右侧病理征阳性。
NIHSS:7分,GCS:15分,病前mRS:0分。
发病后,意识水平进行性下降,嗜睡,肌力进行性下降。
否认HP及DM史,否认房颤史;心动过速病史。
头颅CT:未见出血;头颈联合CTA:左侧M1闭塞。
CBF<30%:13,Tmax>6.0s:97ml,Mismatch:75ml。
左侧大脑中动脉M1闭塞
AIS(NIHSS7分,L M1闭塞,大mismatch)
定位:左侧前循环 血管定位MCA M1。
定性:左侧大脑中动脉急性闭塞(栓塞?动脉粥样硬化?其他少见病因?)。
1、rt-PA静脉溶栓0.9mg/kg(DNT:23min)。
2、急诊桥接取栓。
患者诊断明确,为时间窗内前循环大血管急性闭塞(LM1),且进行性加重。
多模CT影像评估提示为左侧大脑中动脉M1闭塞,供血区存在大面积低灌注区,小梗死核心。
考虑常见病因为栓塞或者动脉粥样硬化基础上急性血栓形成,但无相关危险因素及既往病史,故也可能为其他少见病因。
具备急诊血管开通介入手术指征,无明显禁忌症。
微导丝结合微导管先通过闭塞病变,微导管确认真腔。
尝试运用抽拉结合技术行支架取栓,根据术中情况灵活调整方案,如为ICAS病变则行球囊预扩张和置入自膨支架血管成型等。
相关风险:穿支动脉闭塞、急性亚急性血栓形成、夹层等。
Neuron™ Max 90cm
ACE 60抽吸/中间导管
0.021”微导管
0.014” 2m微导丝
2.0*15mm球囊扩张导管
4-20mm取栓支架
4*23mm血管重建装置
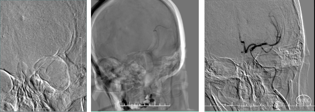
微导管超选上干M2
Neuron™ Max顺利到位,系统稳定。
第一次支架拉栓未取出血栓,考虑栓子是否质地较硬?
第二次单纯抽吸,ACE 60连接负压吸引泵抽吸3分钟后局部血流恢复。
此时影像清晰,排除动脉粥样硬化形成的狭窄病变,考虑夹层。
改变手术策略:全麻支架置入。
处理夹层——寻找真腔
球囊辅助同轴技术将ACE 60顺利通过夹层段并释放支架。
术后正侧位—TICI 3级
24小时复查
抗血小板:替罗非班6ml/h静脉泵入24h。
双抗:阿司匹林100mg、氯吡格雷75mg。
血压:110-120mmHg,避免过灌。
控制血容量:出入量平衡。
随着取栓技术的不断进步,目前对于前循环大血管闭塞运用抽拉结合技术能解决大部分栓塞病变,但是临床上还有少部分病例是无法运用抽拉技术能成功解决,像颅内动脉夹层急性闭塞等,那么针对复杂多变的血管闭塞如何能找到一个稳妥、安全有效的解决办法至关重要。
本病例为老年女性急性L-MCA血管闭塞,最常见的病因为栓塞或动脉粥样硬化基础上急性血栓形成(ICAS),因为颅内动脉夹层发生率较低为(3.6~4.4)/10万,且为青年卒中的重要病因,因此,我们在取栓过程中,首先采用了抽拉结合技术,但未达到有效开通。通过影像和操作过程观察,考虑局部病变可能为左侧大脑中动脉夹层的导致急性闭塞,重新调整手术方案,全麻后行左侧大脑中动脉支架置入术,夹层成型满意,患者术后恢复良好。
由于颅内动脉夹层发病早期临床症状缺乏特异性,容易导致诊断延迟乃至漏诊误诊。颅内动脉夹层致残性高,技术要求较高。我们这个病例就是一例左侧大脑中动脉M1急性闭塞,在治疗过程中证实为夹层,运用球囊联合中间导管技术成功血管开通、支架置入血管成型满意。此技术也是急诊处理复杂急性血管闭塞(栓塞、ICAS、夹层、其他原因)比较稳妥、安全、有效的办法。
首先,这是一例病因比较复杂的急性颅内血管闭塞的患者,从病史,影像和取栓过程综合评判,最大可能是夹层,但也不排除血栓栓塞和ICAS病变的可能。
面对三种可能的局部血管病变,在第一次抽拉技术未能解决问题的情况下,再次采用支架取栓或支架联合抽吸不是理想的方案。
兼顾三种可能的情况,审慎考虑下一步手术策略,我们采用球囊扩张+中间导管同轴的方式,即在球囊扩张后,中间导管在同轴下安全跨过病变段血管,这样既可以扩张病变管腔,也可以以最安全的方式释放支架,获得成功开通,同时避免反复取栓操作造成的血管壁损伤或血栓逃逸。
从手术后血管造影来看,这例患者符合夹层的诊断。有人可能会提出,既然判断为夹层,为何不直接覆盖支架?其实这也是一种选择,但如果夹层的血管壁内有血栓,释放支架过程则有可能会导致血栓逃逸,而我们采取的球囊+中间导管同轴技术则可以有效避免这一风险,提高安全性。
总之,采用球囊+中间导管同轴技术对局部颅内血管复杂病变进行急性期开通,是一种新的尝试,经临床实践证实,这也是一种能够兼顾到各种情况的稳妥,安全和有效的方案。
王永朋
上海市第七人民医院
硕士,主治医师
神经脑血管介入方向
张全斌
上海市第十人民医院
主任医师,同济大学博士生导师
中国卒中学会神经介入分会委员
国家卫健委脑防委缺血性脑卒中外科专业委员会委员
国家自然科学基金同行评审专家
上海市脑卒中临床救治中心副主任(十院)
上海医学会脑卒中分会委员、出血组副组长
上海市脑卒中学会理事
王枫
上海市第七人民医院
神经科/卒中中心行政主任,医学博士,主任医师,硕导
中国卒中学会青理会常务理事
中国卒中学会神经重症分会青委
上海市中医药学会神经科分会副主委
上海中西医结合学会神经病学分会常委
上海市卒中学会青理会常委
上海市卒中学会神经内科分会委员
中国卒中学会和脑防委双层认证的综合卒中中心。
本中心可以进行全流程的脑血管专病管理,开设7天*24小时独立卒中急诊、NICU病房(8张),卒中单元床位65张,常规卒中筛查和随访门诊,整合神经介入,神经重症、神经康复等各诊疗模块,实现卒中组织化管理,为区域内50万人口提供高水平的卒中救治服务。
急诊溶栓达到国际先进水平,急诊取栓良好率高。
常规开展颅内、外动脉狭窄血管成形术、破裂和未破裂颅内动脉瘤栓塞等神经介入诊治技术。年常规介入手术量150台。
