
基底动脉闭塞约占颅内大血管闭塞所致缺血性卒中的10%,其致死率和致残率高。综合多项围绕基底动脉闭塞开展的大型临床试验(如BAOCHE(点击查看)、BASILAR、BASICS、ENDOSTROKE及BEST研究等)的结果可知:血管内治疗组的血管再通率高于药物治疗组。血管内治疗策略包括支架取栓(stent retriever, SR)和抽吸取栓(contact aspiration, CA)。部分研究结果提示,在非动脉粥样硬化性后循环卒中(posterior circulation stroke, PCS)的治疗中,CA可以实现更快速的血管再通,较低的远端栓塞的发生率。自COMPASS和ASTER试验结果发表以来,抽吸取栓技术不断发展。既往研究表明,随着导管内径的增加,血管再通效果和患者功能结局可能同时得到改善。此外,考虑到后循环卒中对治疗时间要较前循环更为敏感。因此,可以合理预期,使用具有较大口径的导管将显著改善非动脉粥样硬化性PCS患者的血管再通效果,并可改善临床结局。
实践出真知,接下来让我们看看,我们面面俱到的React™ 71远端通路导管是如何在非动脉粥样硬化性PCS患者治疗中一往无前,乘风破浪的吧!
本期病例
基本信息:患者男性,42岁。
主诉:因“突发头晕、左侧肢体无力79分钟”入院。
现病史:患者于79分钟前无明显诱因下突发头晕,呈昏沉感,自觉左侧耳鸣,随即出现左侧肢体乏力,表现为左侧肢体力量较前明显下降,站立及持物不稳、跌倒倾向;后出现站立不能,疾病快速进展、出现意识不清伴言语含糊,无恶心、呕吐。
既往史:高血压病史2年余。
查体:BP:141/78mmHg。心肺腹未见明显异常;NS:昏睡状态,眼球向右侧凝视,左侧鼻唇沟变浅,左侧肢体肌力1级,右侧肢体肌力5级,四肢腱反射(++)对称,病理征未引出,脑膜刺激征阴性。NIHSS评分19分(意识水平2分,意识提问2分,意识指令2分,凝视2分,面瘫1分,左侧上肢3分,左侧下肢3分,言语2分,构音1分,忽视1分)。
辅助检查:
肌酐:111.0 μmol/L,余血常规、血生化、凝血功能未见明显异常。
心电图:窦性心动过速,ST-T段非特异性改变。
术前平扫CT:未见明显异常,pc-ASPECTS评分:10分。


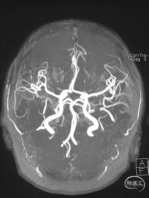
术前造影:左侧优势椎动脉,基底动脉闭塞。


左侧颈内动脉造影可见动脉末期软膜支略有向后枕部代偿。


术前诊断:
1. 基底动脉栓塞性脑梗死
2. 基底动脉闭塞
3. 高血压
治疗策略:
1. 病因评估:术前造影提示患者血管闭塞断端整齐,侧支代偿较差,闭塞血管处呈现出“杯口”型,考虑该患者病因为栓塞性卒中可能性大。
2. 手术策略选择:该患者血管条件良好,考虑使用ADAPT技术快速开通,必要时支架结合抽吸行SWIM技术补救治疗。因此选择React™ 71远端通路导管在8F Guiding导引下送至基底动脉行抽吸取栓处理闭塞。
3. 需考虑到的治疗风险:栓子移位、栓子远端逃逸、夹层、穿支闭塞、出血等。
治疗前用药:
无。
术中用药:
术中替罗非班12.5mg(稀释至250ml),以6ml/h泵注。
1
将8F导引导管送入左侧椎动脉V2段远端,React™ 71远端通路导管裸奔至基底动脉血栓近端,行持续负压抽吸。

2
React™ 71远端通路导管抽吸后手推造影提示:基底动脉再通,但左侧大脑后动脉P1段血栓持续存在。

3
将React™ 71远端通路导管送达基底动脉末,采用远隔抽吸法,抽吸后再次造影复查,左侧大脑后动脉P1成功开通,成功开通后左侧大脑后动脉P1-P3主干显影,末端仍有部分不显影,考虑位置较远且术前造影显示存在代偿,因此结束手术。


术后DSA:
基底动脉再通,成功恢复灌注,实现mTICI 3级再通。

术后头颅CT:
左右滑动查看更多
术后第2天头颅MRI:






血栓病理学结果:
(基底动脉血管内)混合血栓,富于纤维蛋白/血小板型,占比大于70%。特染Ag、PAS未见特殊。



术后1周随访:
NIHSS评分0分,mRS评分0分。

病例思考
一、病因诊断
当闭塞位置在ICA、MCA和基底动脉分叉部时,心源性栓塞可能性大;当闭塞部位在ICA、MCA或基底动脉的主干时,ICAS可能性大。
此患者闭塞位于基底动脉中上部,但该患者血管断端整齐,侧支循环代偿差,闭塞血管处呈现出“杯口”型,提示心源性栓塞可能。
二、手术策略选择
1.与前循环机械取栓相比,后循环机械取栓对较长的手术时间更敏感。要遵循“时间就是大脑”的原则,将恢复再灌注放在首位,最终改善患者预后。
2.明确基底动脉栓塞性质病变,首选大口径、到位性更佳的React™ 71远端通路导管抽吸取栓,实现了手术时间的有效缩短。
3.在非动脉粥样硬化性PCS的治疗中,首选CA可以在快速血管再通的同时减少远端栓塞事件发生率。
4.由于该患者栓塞性卒中可能性大,首选抽吸取栓技术可能可以获得更好更快的再通结果,同时可减少栓子逃逸所导致的不良事件发生率。
5. 考虑采用远隔抽吸法时要注意导管直径与血管内径的差异不宜过大。
三、器械选择
面面俱到的React™ 71远端通路导管在乘风破浪的旅途中有三大技艺:
技艺一之"管腔大”:抽吸口径大,血栓覆盖率高,抽吸成功率高;管腔大可容纳大负荷血栓通过,避免血栓逃逸。既往研究表明,在抽吸取栓时,导管的直径越大,血栓覆盖率越高,抽吸成功率越大;
技艺二之"头腔稳":导管头端和管腔稳定,强力抽吸时不变形;在血管迂曲时仍可稳定传导推送力到达,其良好的抗变形能力使其在血管迂曲的情況下进行持续高负压抽吸,能完整抽出血栓实现再通;
技艺三之"高到位":在导引导管提供近端支撑后导管可轻松送至基底动脉远端,可明显缩短开通时间。开通时间越短对PCS患者的预后越有利。
综上,在非动脉粥样硬化性基底动脉闭塞这次航海征途中,React™ 71远端通路导管施展其“高到位”才艺成功抵达血管闭塞处,在“头腔稳”的加持下通过“管腔大”牢牢吸吸引住了血栓,最终成功乘风破浪抵达彼岸大陆。
总结
React™ 71远端通路导管兼具大口径和良好通过迂曲血管能力和更稳定的管腔能胜任持续抽吸的特点。
React™ 71远端通路导管在导引导管提供近端支撑的情况下,可轻松过弯抵达基底动脉与血栓牢牢接触,持续强力负压抽吸可使血管快速再通的同时防止血栓向远端逃逸。
React™ 71远端通路导管抽吸取栓技术应用于非动脉粥样硬化性后循环卒中患者,能够安全而又高效的实现再通,最终改善患者预后。
李通
南宁市第二人民医院(广西医科大学第三附属医院)
神经内科主任医师,硕士生导师
学术任职:2020年国家卫健委改善医疗服务突出贡献工作者;中国卒中学会青年理事;中国医师协会神经介入专业委员会第一届青年委员;中国卒中学会脑健康分会第一届常委;中国老年医学学会卒中学术委员会委员;中国卒中学会中西医结合分会全国委员;国际血管联盟中国分部委员;广西神经内科医师分会介入专委副主任委员;南宁市神经病学分会主任委员。
发表SCI及各类国家级论文30余篇,主持各级课题13项,获省市科学技术奖2项。
王子军
南宁市第二人民医院(广西医科大学第三附属医院)
神经内科主治医师,硕士研究生
学术任职:广西医学会神经病学分会第一届青年委员会委员;广西医师协会第一届神经内科医师分会脑血管及介入专业委员会委员。
2012年6月硕士毕业于广西医科大学神经病学;毕业后一直在南宁市第二人民医院神经内科从事临床工作;曾于长海医院进修学习脑血管介入治疗。
临床工作及技术特长:主要参与脑血管病超急性期的救治工作,擅长溶栓、血管内治疗及质量控制管理。
参与高级卒中中心建设与质控及IMPROVE、国产取栓支架临床试验、BAOCHE等国内重点项目的科研工作。
1. Ye G, Wen X, Wang H, Sun C, Pan Z, Chen M, Wang B, Li Z.First-line contact aspiration versus first-line stent retriever for acute posterior circulation strokes: an updated meta-analysis.J Neurointerv Surg. 2021 May 25:neurintsurg-2021-017497. doi: 10.1136/neurintsurg-2021-017497. Online ahead of print.
2. Mohammaden MH, Haussen DC, Pisani L, Al-Bayati AR, Anderson A, Liberato B, Schachter D, Navalkele D, Frankel MR, Nogueira RG. Stent-retriever alone vs. aspiration and stent-retriever combination in large vessel occlusion stroke: A matched analysis. Int J Stroke. 2021 May 27:17474930211019204. doi: 10.1177/17474930211019204. Epub ahead of print.
3. Lapergue B, Blanc R, Gory B, Labreuche J, Duhamel A,Marnat G, Saleme S, Costalat V, Bracard S, Desal H. Effect of endovascular contact aspiration vs stent retriever on revascularization in patients with acute ischemic stroke and large vessel occlusion: the ASTER randomized clinical trial. JAMA. 2017;318:443–452.
4. Turk III AS, Siddiqui A, Fifi JT, De Leacy RA, Fiorella DJ, Gu E, Levy EI, Snyder KV, Hanel RA, Aghaebrahim A. Aspiration thrombectomy versus stent retriever thrombectomy as first-line approach for large vessel occlusion (COMPASS): a multicentre, randomised, open label, blinded outcome, non-inferiority trial. Lancet. 2019;393:998– 1008.
特别说明:本信息仅供医疗卫生专业人士阅读和参考,不构成对任何诊疗方式的推荐。
![]()













