【病例概述】
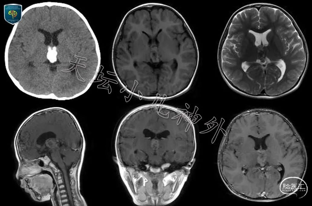
2021年8月接诊一例来自甘肃的9岁男性患儿(身高:132cm,体重:26.5kg),主诉:发现颅内占位4年,头晕、头胀1月。患儿4年前偶然发现颅内占位,因无症状,家长顾虑手术风险,未予诊治;1月前出现头晕、头胀,持续不缓解,于当地医院检查发现颅内占位增大,遂来我院就诊。门诊查体示:神清语利,自主体位,生长发育正常,神经系统查体阴性;血清学检查,AFP(-)、HCG(-);头颅CT示:三室及三室后占位,钙化明显;头部MRI示:三室、松果体区可见不规则团块信号影,大小约32x26x29mm,呈混杂信号,FLAIR呈稍高信号,中度不均匀强化,松果体区占位:生殖细胞瘤?松果体母细胞瘤?(图1-2)。

图1 四年前首诊时,头颅CT显示三室内钙化;头颅MRI显示三室内占位,轻微强化,畸胎瘤可能性大;鉴于无症状,未进一步诊治。

图2 随访四年,患儿出现头晕、头胀症状,复查头部CT/MRI显示,钙化灶明显增大,向松果体区突入,不均匀强化,我院影像报告提示:畸胎瘤?松果体母细胞瘤?
鉴于三室内占位,随访4年,病变进行性增大并出现头晕等症状,手术指征明确。基于病史及影像特征综合判断,9岁男性患儿、肿瘤标记物阴性、三室内钙化灶进行性增大累及松果体区,首先考虑生殖类肿瘤,如畸胎瘤,纯生殖细胞瘤可能性小,其它类肿瘤待除外。完善术前检查,于2021年8月31日全麻并脑干功能监测下行右额开颅经胼胝体-穹窿间入路肿瘤切除术。术中见肿瘤充满第三脑室,色黄质韧、血供中等、内含大块钙化,与三脑室侧壁及中脑顶盖区部分粘连,锐性游离三室各壁,导水管上口充分暴露、清亮脑脊液涌出,瘤体实性,无分隔及囊性变,应用电磁刀分块切除;最后处理肿瘤后极,与大脑大静脉轻微粘连,锐性游离,肿瘤镜下全切,顶盖、中脑、大脑大静脉、内静脉等重要结构保护完好,手术顺利,术中出血约150 ml,输异体红细胞1单位,血浆100 ml,术后安返ICU监护。

图3 术后当晚复查头颅CT及术后一周复查头颅MRI显示肿瘤切除满意。
术后当晚患儿状态好,神清可语、正确对答、四肢遵嘱活动、双眼上视受限,余神经系统查体阴性。术后当晚CT及术后一周MRI均显示肿瘤切除满意。术后病理回报示:部分切面灰黄褐、质软;部分灰黄、质硬、沙粒感;室管膜瘤(WHOⅡ级),钙化明显。免疫组化:GFAP(+),NeuN(神经元+),CgA(-),Ki-67(5-8%,局灶12%),L1CAM(+),BRAFV600E(-),BRG-1(+),INI-1(+),EMA(+)。基因检测:RELA基因重排。术后经两周康复,双眼上视明显好转,除存在近期记忆减退,余未见新增神经系统阳性体征,KPS评分90分,顺利出院,继续康复及后续治疗。
【治疗体会】
本例9岁男性,三室内大块钙化,进行性增大累及松果体区,肿瘤标记物阴性,首先考虑成熟畸胎瘤。(儿童颅内畸胎瘤72%位于松果体区,83%伴有钙化[1])。但最终病理显示室管膜瘤(II级)有些出人意料。儿童室管膜瘤伴钙化并不罕见(发生率约为27%[2] ),但就发生部位而言,90%位于颅内,70%发生于后颅窝[3, 4],90%的幕上室管膜瘤位于大脑实质内,仅10%位于侧脑室或第三脑室,因此,儿童三室内室管膜瘤非常罕见[5]。
室管膜瘤发病率仅次于儿童脑胶质瘤、髓母细胞瘤,排在儿童颅内肿瘤第三位。室管膜瘤是起源于中枢神经系统脑室壁的恶性肿瘤[6],0-14岁儿童中患病率0.26/100000人[7],手术是首选治疗,配合各类辅助治疗,5年总生存率(OS)为50-81%,无进展生存率(PFS)为23-69%[8]。
2021年6月,WHO推出新版中枢神经系统肿瘤分类,较2016旧版分类,室管膜瘤变化较大,取消了间变室管膜瘤这一概念,按照发生部位,分为幕上、后颅窝、脊髓室管膜瘤,均有代表基因相关联,提示预后、靶点,并指导后续治疗[9-12]。
幕上室管膜瘤:
1. 幕上室管膜瘤,ZFTA融合阳性型:
在ZFTA融合阳性的幕上室管膜瘤中,ZFTA⁃RELA 融合是幕上室管膜瘤最常见的融合类型(约占72.13%,其中22.73%为CNS WHO 2级、77.27%为CNS WHO 3级),5年总生存率(OS)约为75%,5年的无进展生存率(PFS)约为29%,较YAP1融合阳性患者预后差[13]。需要注意,新版分类中,RELA融合阳性修改为ZFTA融合阳性,是因为在幕上室管膜瘤中,ZFTA更具有代表性,除与RELA融合外,还可与其他基因融合(如ZFTA-MAML2融合、ZFTA-NCOA1/2融合、ZFTA-MN1融合),因此以ZFTA为代表基因重新命名[14]。
2. 幕上室管膜瘤,YAP1融合阳性型:
YAP1融合阳性发生率较低,约占室管膜瘤3.2%,幕上室管膜瘤10.7%[13],5年总生存率(OS)100%,5年无进展生存率(PFS)高达66%,远好于ZFTA-RELA融合的患者[13]。有报道证实,去除或抑制TEAD结合域可抑制YAP1融合型肿瘤细胞增殖,这将为后续靶点治疗提供重要参考[15]。
后颅窝室管膜瘤:
1. 后颅窝室管膜瘤A型(PFA):
PFA组肿瘤组蛋白H3K27三甲基化水平低,预后明显差于PFB组[16]。PFA 组是后颅窝室管膜瘤最常见类型(80-85%),好发于幼儿(平均年龄:2.5岁),肿瘤多位于小脑半球外侧,呈侵袭性生长,累及侧隐窝及颈静脉孔区。PFA组预后与1q获得、6q缺失直接相关,当1q获得与6q缺失同时存在时,预后最差[17, 18]。有报道,PFA组5 年无进展生存率(PFS)约47%,5年总生存率(OS) 约69%[11]。
2. 后颅窝室管膜瘤B型(PFB):
PFB组肿瘤组蛋白H3K27三甲基化水平高,可作为区别PFA与PFB的依据。PFB 组占幕下室管膜瘤15-20%,好发于青少年(平均年龄:20岁),肿瘤沿中线生长,较少向毗邻结构侵袭,手术全切效果佳,预后明显好于PFA组。5年无进展生存率(PFS)约为79%,总生存率(OS)约为95%[11];全切后即便未进行放疗,10年无进展生存率(PFS)也达到45.1%,10年总生存率(OS)高达82.3%[16]。因此,肿瘤基因检测进而分子分型,对判定后颅窝室管膜瘤预后极为重要。
脊髓室管膜瘤:
脊髓室管膜瘤,MYCN扩增型:
MYCN扩增型具有独特的DNA甲基化谱,因此新版分类将其单独列出。肿瘤多位于髓外硬膜下、多囊性、侵袭性生长、常出现软脊膜播散及远隔部位转移,大多属于CNS WHO 3级,预后极差[12, 20]。
除此之外,室管膜瘤还包含黏液乳头状室管膜瘤(好发于脊髓圆锥,CNS WHO 2级[21]);室管膜下瘤(CNS WHO 1级,约占5%[19])。
需要注意的是,新版分类取消了间变性室管膜瘤这一概念,更多的强调了基因水平的变异。“间变”是在组织病理诊断中根据肿瘤细胞分化特点进行定义,提示恶性程度高。在基因甲基化谱系分析中发现, 有些“间变”肿瘤分子特征偏于良性。因此,根据分子变异进行肿瘤分型时,“间变”一词已不适用,予以取消[22]。
参考文献





