

引言
大脑中动脉动脉瘤的发病率约占颅内动脉瘤的20%,其中M1分叉部动脉瘤约占大脑中动脉动脉瘤的78%,甚至更高;大脑中动脉供应大脑的主要功能区,一旦此处动脉瘤破裂出血,常引发严重的神经功能障碍。
病例摘要
患者:男性,58岁
主诉:检查发现颅内动脉瘤11天。
现病史:患者2022-01-01因头昏,伴右侧额纹消失、右侧鼻唇沟变浅,口角向左歪斜,服用阿司匹林治疗。头颅DSA检查提示右侧大脑中动脉M1段动脉瘤。
既往史:高血压8年,口服苯磺酸氨氯地平+替米沙坦治疗。
查体情况:无肢体抽搐,无意识障碍。
术前影像
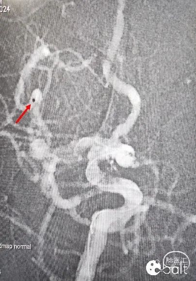
颅脑DSA






临床诊断:右侧大脑中动脉M1分叉部宽颈动脉瘤
瘤体大小:5.04*4.56mm。
术前讨论
患者动脉瘤位于大脑中动脉M1分叉部,瘤颈累及M2段上干支和下干支;动脉瘤表面存在多处小的不规则凸起,破裂出血的风险相对较高,且有症状表现,需要手术干预。
对于大脑中动脉分叉部动脉瘤,其位置相对表浅,在治疗时,可选择开颅夹闭或介入治疗。动脉瘤所累及分支血管几乎自瘤壁发出,根据2021年未破裂动脉瘤诊疗指南,优选开颅夹闭;但由于患者发生脑梗后,近期一直服用阿司匹林,不宜行开颅手术,遂选择介入治疗,支架辅助弹簧圈栓塞。
瘤颈较宽,单一支架并不能完全覆盖瘤颈,填圈时有脱圈风险且达不到最佳治愈目的;为充分保护瘤颈及分支血管使手术顺利进行,行“Y”型支架植入,辅助弹簧圈栓塞。
选择具有较高金属覆盖率且没有无效工作端的LEO+Baby编织型支架,能为术者提供更多的操作空间,更好完成支架近端定位;同时其高的金属覆盖率可降低复发可能。
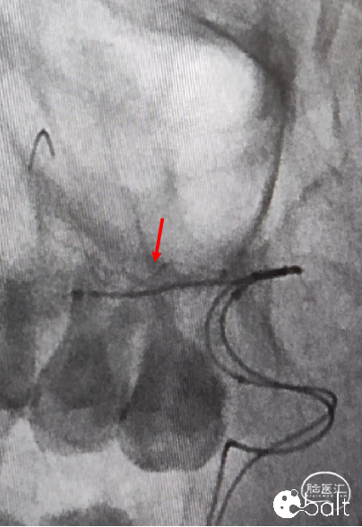
支架放置如图所示:
上干支血管成角较锐,且相对下干支更粗,更直,适合放置相对较长的支架,以方便覆盖更多瘤颈。下干支偏细,且迂曲的远端不利于支架释放,适合短支架,便于打开和保护瘤颈。


手术策略
术前抗栓方案:术前3天开始口服氯吡格雷75mg+阿司匹林100mg。
手术方案:两条LEO+Baby支架做“Y型”辅助弹簧圈栓塞。
手术步骤
1、以Seldinger技术经右侧股动脉穿刺,造影后选取工作位并建立路径图。
2、考虑到大脑中动脉相对较细,采用双系统操作。将支架微导管及弹簧圈微导管分别超选到位。
3、第一条支架全放,微导管穿支架网孔半释放另一条支架后填圈。

01
支架微导管优先超选成角相对较锐的上干支血管进行支架释放,以便于后续穿网孔释放另一条支架。
02
全释放上干支支架,覆盖部分瘤颈。


03
微导管穿支架网孔,上干支释放的支架,在转弯处LEO支架滑动单元格设计的特点使外侧弯网孔相对更大,有利于穿网孔操作。
04
第二枚支架半释放至覆盖剩余部分瘤颈,为填圈做准备。


05
首枚置入4*8-3D弹簧圈。
06
再一次置入3*6-3D、2.5*4-2D、2*2-2D两条、1.5*2-2D弹簧圈完成栓塞。

术后影像
术后工作位手推造影、术后正位造影。
术后工作位手推造影

术后正位造影
术后造影显示动脉瘤致密栓塞,各分支血管血流通畅。
术后侧位造影
术后三维造影
术后CT及双容积成像显示支架头端完全覆盖动脉瘤瘤颈,支架远近端未出现打开不良。


术中器械
支架:LEO+Baby支架2.5*25mm、2.5*18mm
弹簧圈:4*8-3D、3*6-3D、2.5*4-2D、2*2-2D两条、1.5*2-2D
微导管:0.017英寸弹簧圈微导管2条
微导丝:Synchro14
导引导管:6F
术中及术后抗栓方案管理
术中:支架释放前后团注欣维宁各10ml,并6ml/h泵注维持至术后双抗起效重叠6小时。
术后:常规双抗100mg阿司匹林+75mg氯吡格雷管理3-6个月。
术后患者恢复良好出院,无明显神经系统症状。
术者个人体会
1、使用LEO支架,在微导管穿支架网孔时,导丝走远能尽量使其处于网孔中央,跟微导管,进行穿孔;若不能顺利通过,则微导管施加一定压力改变网孔大小后,回撤微导管平衡张力,重新穿网孔操作;
2、大脑中动脉M1分叉部动脉瘤做Y型支架治疗时,第二条支架尽可能选择短一些,避免支架之间重叠较多,引起M1段穿支血管血栓事件;
3、在分叉部超选较锐的血管转弯时,为方便超选过弯,对微导丝塑型要求较高,尽量塑“猪尾状”;
4、LEO+Baby支架具有较好的支撑性和顺应性,能更好地贴壁,并可通过张力改变支架形态,有利于做“Y型”或“T型”等技术;
5、使用编织支架做Y型技术,使用前后需要进行积极抗栓。

专家介绍
朱刚
陆军军医大学第一附属医院(西南医院)
副主任,教授,主任医师,博士生导师
中国研究型医院学会脑血管病专家委员会副主任委员
重庆市医师协会神经介入学会会长
重庆医学会神经外科专委会副主任委员
中华医学会神经外科分会介入学组委员
中国医师协会神经外科分会介入专家委员会委员
承担国家“973”项目子课题、国家自然科学基金及重庆市自然科学基金重点课题等各级科研项目10项。以第一完成人获教育部科技进步一等奖(2014)、重庆市科技进步一等奖(2016)和中华医学科技进步二等奖(2018)各1项;参与获得国家科技进步二等奖;主编及参编专著10部,发表论文120余篇,其中SCI收录61篇,培养博士后/博士研究生10名,硕士21名
从事神经外科临床与科研工作30余年,颅脑创伤及脑血管病诊疗领域专家,连续四年入选中国名医百强专家。获重庆市2021年度“名家名师”称号
擅长颅内动脉瘤、颅内血管畸形、缺血性脑血管病、颈动脉海绵窦瘘等脑/脊髓血管病变的微创外科手术及介入治疗
缪洪平
陆军军医大学第一附属医院(西南医院)
教授,副主任医师,重庆市神经介入学会委员
从事脑血管疾病介入治疗十六年;主要擅长脑动脉瘤、脑血管畸形、动静脉瘘的介入及手术治疗,在朱刚主任的指导下,年颅内介入手术量500台左右;在国内外期刊发表文章30余篇,参编书籍一部,主持省部级课题一项,参与课题获得教育部科技进步一等奖一项













