
专栏导读
无论是外科夹闭亦或介入治疗,分叉部宽颈动脉瘤的治疗效果和安全性仍然面临诸多挑战。而瘤内扰流装置WEB™的出现则提供了一种全新的选择,在世界多项临床试验中,WEB™均表现出了在复杂动脉瘤治疗中的安全性、有效性。神介资讯平台联合MicroVention公司共同打造“WEBest一网无余”动脉瘤扰流装置专栏,旨在分享瘤内扰流装置WEB™最新使用经验、技巧。本期为大家分享南方医科大学珠江医院何旭英教授团队带来的WEB™扰流装置治疗右侧大脑中动脉动脉瘤一例,欢迎广大同道阅读、交流、探讨!
术者简介
何旭英
南方医科大学珠江医院
神经外科-脑血管病外科副主任,主任医师,医学博士,博士研究生导师
中国医师协会神经介入专业青年委员会副主任委员
中国脑卒中学会神经介入分会委员
中国卒中学会青年理事会理事
中国研究型医院学会脑血管病学专业委员会常务委员
广东省医师协会神经介入医师分会常务委员、青年专业学组组长
广东省医师协会介入放射医师分会常务委员
2018年广东省杰出青年医学人才
2019年获珠江青年医师奖
2019年获羊城好医生
从事神经外科临床工作近20年。并在美国Ronald Reagan medical center of UCLA进行神经介入深造学习。主要擅长于脑动脉瘤、脑动静脉畸形、硬脑膜动静脉瘘、颈动脉海绵窦瘘、脊髓血管病变等血管疾病的介入和手术治疗,掌握各种国际领先的脑脊髓血管病介入治疗技术,如密网支架植入术、覆膜支架植入术、静脉入路栓塞脑动静脉畸形、脊髓动静脉畸形栓塞术等,为华南地区首位密网支架植入术导师,率先在华南地区开展静脉入路栓塞脑动静脉畸形等国内领先技术
带教导师
许璟
浙江大学医学院附属第二医院
神经外科主任医师,硕士研究生导师
卫健委脑卒中防治专家委员会出血性卒中介入专业委员会常委
吴阶平医学基金会脑卒中专家委员会常委
中国医师协会神经外科分会神经介入学组委员
中国医师协会神经介入专业委员会委员
浙江省医师协会神经介入专委会主任委员
浙江省卒中学会常务理事
浙江省医师协会神经外科分会脑血管学组副组长兼秘书
浙江省神经介入沙龙召集人
从事脑血管疾病诊治工作28年,擅长脑动脉瘤介入治疗,脑血管畸形介入治疗,硬脑膜动静脉瘘的介入治疗。急性缺血性脑病的取栓治疗,颅内外血管狭窄的支架治疗
患者基本信息
性别:女性
年龄:66岁
主诉:检查发现右侧大脑中动脉M1段动脉瘤2年。
病例简介
现病史:患者于2年前检查发现右侧大脑中动脉M1段动脉瘤,当时未予手术治疗,后患者检查发现动脉瘤增大,为进一步治疗,于当地医院就诊,行DSA检查提示右侧大脑中M1段动脉瘤,大小约7*6mm,进一步手术治疗;患者偶有头晕不适,不伴恶心、呕吐、行走不稳、肢体无力、肢体麻木、肢体抽搐、口角抽搐、意识不清、听力下降、视物模糊、视物重影。今患者为求进一步诊治而来我院,门诊拟“右侧大脑中动脉M1段动脉瘤”收入院。病程中患者无畏寒、发热等。
既往史:平时身体健康,否认急性传染病史,幼年曾接种疫苗名称不详。否认曾患心脑血管、肺、肾、内分泌系统等系统疾病,否认外伤手术史否认食物及药物过敏史、否认输血史,既往高血压及帕金森病史。
术前影像检查




动脉瘤测量
动脉瘤形态不规则,分为两个囊体,整体最长直径为9.8mm,高为5.8mm;近瘤颈的囊体大小约为6*5.8mm,瘤颈4.9mm;选择此囊体选择WEB型号。




手术方案
使用WEB™ SL 8*5mm扰流装置进行栓塞治疗。
治疗经过
患者在静脉全麻下行经导管颅内动脉瘤栓塞术+脑血管造影。
患者取平卧位,取右侧腹股沟韧带中点下1.5cm处股动脉为穿刺点,2%利多卡因局部浸润麻醉后,采用Seldinger法穿刺股动脉成功。
建立通路并造影:利用置换导丝置入8F导管鞘,静脉推注肝素4000U。在黑泥鳅导丝引导下顺导管鞘置入5F椎动脉管依次插入双侧颈内动脉、双侧椎动脉并造影显示:右侧大脑中动脉M1段动脉瘤,动脉瘤形态不规则,分为两个囊体,整体最长直径为9.8mm,高为5.8mm;近瘤颈的囊体大小约为6*5.8mm,瘤颈4.9mm;颅内动脉多发轻度狭窄。退出造影导管,顺导管鞘置入6F NeuronMax长鞘于右侧颈内动脉颈段末端,顺长鞘置入5F 125cm Navien中间导管到达右侧颈内动脉交通段末端。




超选到位:在路标下,选择合适工作位,在synchro 0.014神经导丝引导下将VIA-27支架微导管送至动脉瘤内。


释放WEB™:将WEB™ SL 8*5(W2-8-5)经VIA推送至微导管头端。


推出WEB™,先释放一点至开花状态,导管向后退一点,再次向瘤腔内推出。


推出并完全打开WEB™。


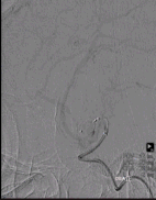
多角度造影提示动脉瘤颈造影剂滞留,瘤体不显影,右侧大脑中动脉各分支显影良好,未见明显狭窄、闭塞。



解脱并回撤:分别退出微导管及指引导管。

术后造影



术毕未中和肝素,导管鞘留置6小时肝素自然中和后拔鞘。
麻醉满意,术程顺利,术中患者生命体征稳定,术后麻醉苏醒,安返病房。
术后体会
分叉部宽颈动脉瘤,特别是不规则形状的宽颈分叉部动脉瘤一直是介入治疗的难点。传统方法需要Y支架辅助弹簧圈栓塞手术,时间长,操作难度大,花销大,且术后需长期服用双抗,给病人带来了极大的痛苦。WEB™在国内的上市,很好地解决了这个难题,使用WEB™治疗,使手术简单,快速,安全,充分诠释了One and Done, 仅用单一器械治疗分叉部宽颈动脉瘤 。WEB™置入能顺应动脉瘤形状且贴壁性良好,扰流效果明显,术后即刻造影剂滞留明显。术后患者恢复良好。WEB™的到来使血管内治疗动脉瘤更安全,简单和有效,造福国内患者。








