
本期为大家分享河北医科大学第二医院王文岩教授带来的肿瘤电场治疗病例分享。
本次病例分享了一例66岁男性胶质母细胞瘤患者病例,主诉“命名不能1月,加重伴记忆力下降10天”,既往体健。术后组织病理检测为胶质母细胞瘤(WHO 4级),采用术后放疗同步TMZ化疗+TMZ辅助化疗+肿瘤电场治疗。患者佩戴电场治疗设备期间出现不良反应,给予相应皮肤治疗后已解决,目前状态稳定。


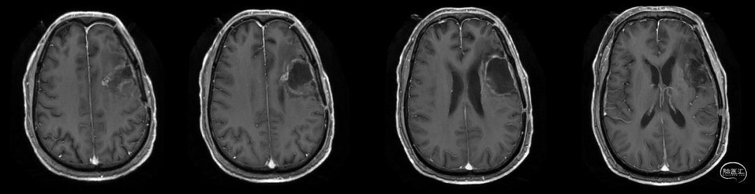
术前核磁(2020-03),左侧额岛叶肿块,信号不均匀,其内可见出血和坏死,占位效应明显,周围见水肿:图示。


增强MR(外院),可见不均匀明显强化,中间可见不强化坏死区,边界不清:图示。
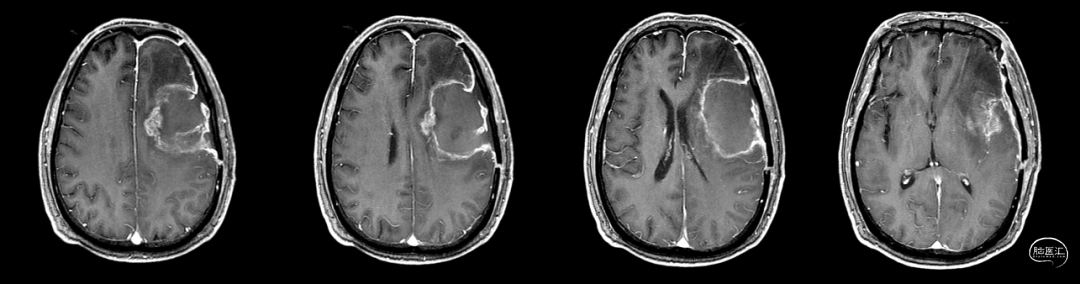
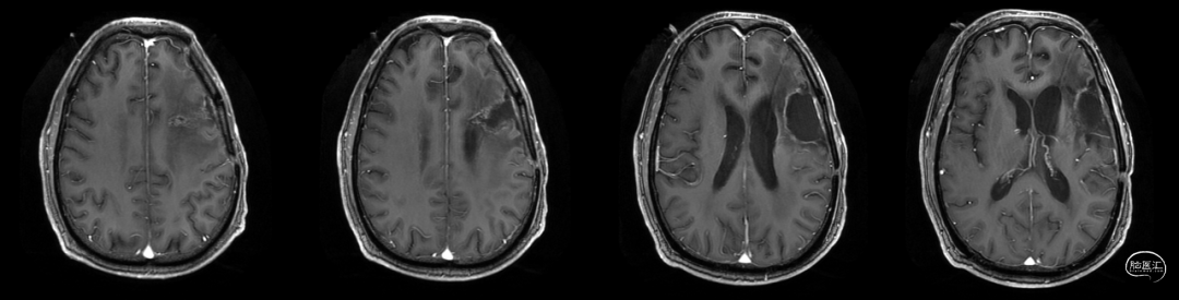
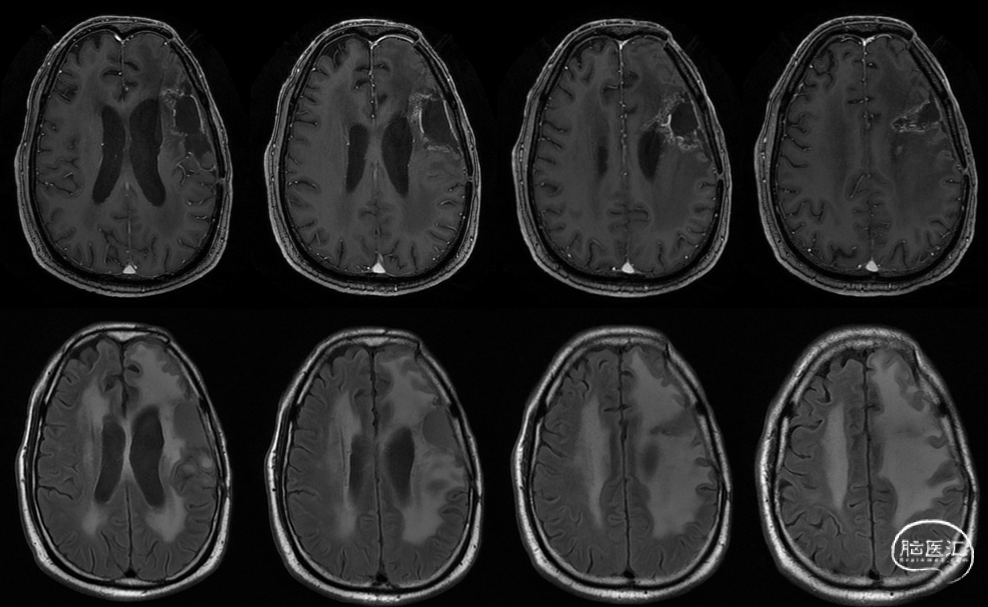
术后48小时MR,可见左额不规则混杂信号影,周围水肿:图示。

术后48小时MR,增强后边缘不规则线样强化,靠近放射冠及侧脑室壁可疑少许残存:图示。


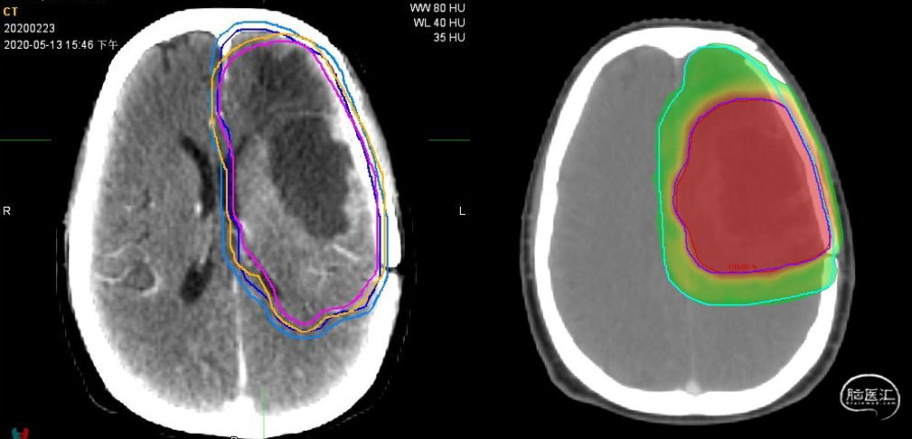
放疗靶区勾画:图示。


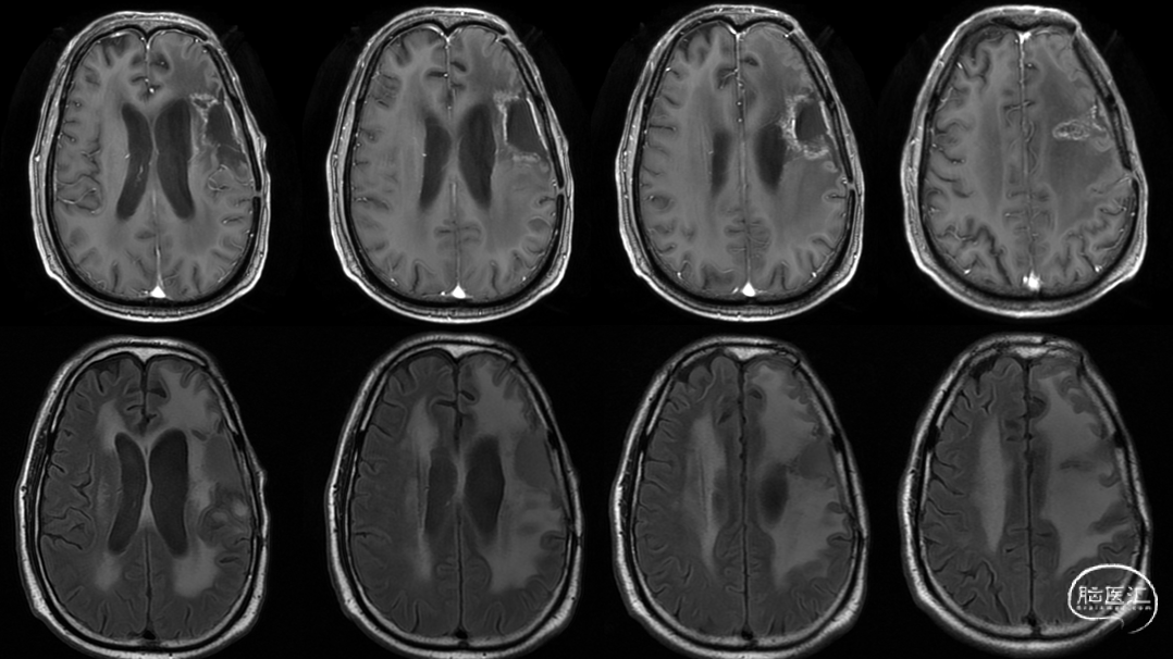
肿瘤电场治疗16天,RT后1月(2020-07-22):图示。







放疗后8月(2021-03-17):如视频和图像。



神经肿瘤MDT团队讨论:胶质母细胞瘤WHO 4级(IDH野生型),采用Stupp方案+肿瘤电场治疗:
考虑无明显占位效应,病情评估SD,继续化疗+肿瘤电场治疗。



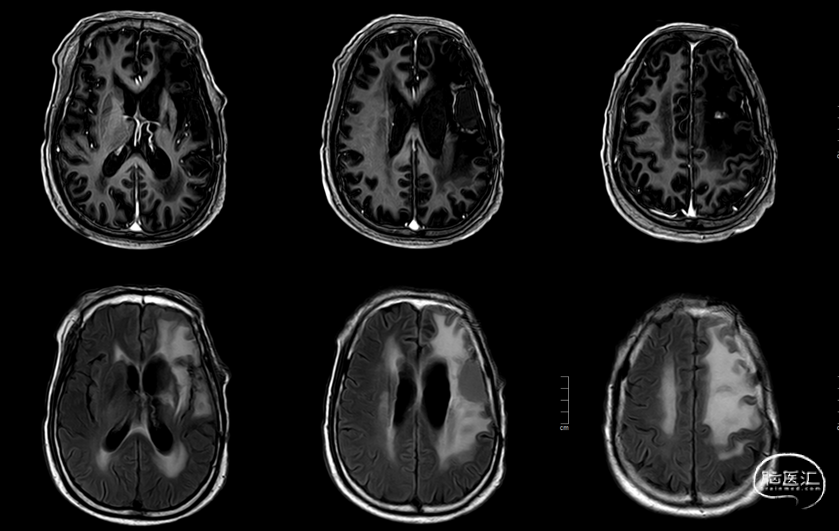
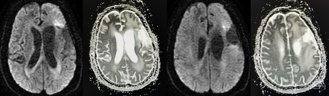
放疗后17月(2021-12-20)MRS显示左颞叶感兴趣区Cho/NAA约1.19-5.53:图示。
放疗后17月(2021-12-20)PWI显示感兴趣区脑血容量及血流量较对侧高低不一,平均通过时间及达峰时间延长,提示左侧病变区血流灌注降低:图示。
再次经MDT讨论,考虑假性进展可能,继续肿瘤电场治疗。




皮肤反应(2020-10-04):如视频。
展示了一例胶质母细胞瘤(WHO 4级)病例,患者为66岁男性
TTFields疗效肯定,且与传统的放化疗并不冲突,建议术后一线辅助电场治疗
TTFields主要不良反应为头皮反应,症状可控,严重反应发生率低
使用肿瘤电场治疗应遵循“早期、足量”原则以最大程度增加患者获益:尽早开始使用肿瘤电场治疗,新发及复发一线患者生存获益更大;患者日均佩戴时间应不低于22小时
获益最大的患者包括:新发及首次复发GBM患者;电场治疗的疗效呈时间依赖性,预期生存期6个月以上的患者,更有望从肿瘤电场治疗中获益
这是一个对中老年GBM患者治疗的一个非常标准和完整的一个方案,此病例中患者的无进展生存已达25个月,获益是显而易见的。术前影像评估提示一个左侧额中下回、岛叶的胶质瘤,范围较广,涉及到语言功能区,并已有命名性失语,该区域不建议做扩大切除,故沿肿瘤边缘脑沟入路分离到白质下做了近全切除,近放射冠侧脑室壁处残余少许,手术的目的已达到,肿瘤充分减容、保留功能及获取病理,术后48小时MR已证实了切除程度。术后病理及整合诊断考虑为GBM WHO 4级,分子病理MGMT启动子非甲基化、TERT突变;术后经MDT会诊,依据共识和指南给予患者同步放化疗及替莫唑胺的序贯治疗,同步放化疗1个月后加用TTFields辅助治疗,患者的依从性良好,仅有也是常见的副反应是头皮局部的反应。经过2年多的治疗病情一直比较稳定,影像上也可见原瘤腔残余肿瘤历经水肿、假性进展阶段并逐渐的消弥,目前在MR PWI已呈低灌注表现,影像上未见有新发病灶,治疗效果总体令人满意。TTFields的疗效呈时间依赖性,预期生存6个月以上的患者才能更显出TTFields的作用。该患者为老年男性,手术切除较彻底,影像学显示仅在术腔内侧近中线处可疑少量残留。术后病理为胶质母细胞瘤,诊断明确,分子病理示IDH野生型,MGMT启动子无甲基化,TERT基因突变,预后最差的分子亚型。
术后5周开始实施标准的新STUPP方案的辅助治疗,即在同步放化疗后,辅助替莫唑胺化疗的同时使用了电场治疗。目前生存25月,且临床和影像学表现均提示稳定,未见复发迹象。期间,在放疗后7月时复查MRI提示异常FLAIR信号区增大,经我院MDT讨论,考虑到强化信号减轻,无明显占位效应,患者无症状体征,考虑是治疗后水肿,非进展,故继续按原方案治疗。放疗后17月复查MRI出现术区边缘局部强化范围稍增大,但PWI示强化区局部呈低灌注且未见弥散受限表现,MDT讨论考虑为假性进展,继续原方案治疗。后续复查MRI强化范围减轻,证实了MDT的判断证实疾病稳定。患者生存时间已达25个月。全程安全顺利,仅出现一过性轻度皮肤反应。
肿瘤电场治疗作为一种全新的治疗手段备受关注,其在脑胶质母细胞瘤中的系列研究显示了较好的疗效,尤其是EF-14研究证实了电场治疗能显著改善新诊断胶质母细胞瘤的生活质量和生存预后,中位OS从16.0月延长至20.9月,5年生存率由5%提高到13%,如每天佩戴超过22h,中位OS可达25月,5年生存率29.3%,且安全性好,因此电场治疗也被国内外权威指南推荐为一线标准治疗的一部分。
回顾此病例,该患者疗效很好,目前无病生存状态已有25个月,超出平均水平。其良好的疗效得益于全程的规范化治疗和管理,包括最大限度的安全切除、规范的术后辅助治疗,即严格实施含电场治疗的新STUPP方案,注重宣教保证患者的依从性等等。尤其是MDT团队的保驾护航,在患者影像学变化的判读以及临床情况的准确评估起着至关重要的作用,充分发挥了多学科协作的优势,最终使患者受益。该患者为男性,66岁。主因命名不能1月,加重伴记忆力下降10天于2020年3月住院。神经系统查体无明显阳性体征,既往体健。
入院前头MRI(2020-3):左侧额岛叶肿块,信号不均匀,其内可见出血和坏死,占位效应明显,周围见水肿。考虑左额岛叶肿瘤(高级别脑胶质瘤可能性大)。于2020年4月行左额岛叶占位性病变切除术。术中见肿瘤组织位于左侧额中回及额下回后部,大小约4m×5cm×5cm,呈烂鱼肉样,色灰红,质软,部分坏死,血运中等,边界不清,侵犯左侧岛叶向下挤压颞叶。显微镜下沿肿瘤周边胶质增生带完整切除肿瘤。术后48小时内复查头MRI平扫、加强,影像显示术腔边缘不规则线样强化,靠近放射冠及侧脑室壁强化明显,可疑少许残存。
术后组织学诊断:高级别胶质瘤,WHO 4级;分子病理:IDH1 R132H野生型,1p19q 1p/19q未缺失,TERT C250T突变,BRAF V600E 无突变,MGMT启动子甲基化未检测到。整合诊断:胶质母细胞瘤(WHO 4级 IDH野生型)。
针对次预后差的患者实施术后标准的TMZ同步放化疗及早期电场治疗(TTFields)(同步放化疗后10余天开始)+辅助TMZ,治疗合理、规范。TTFields治疗肿瘤的原理是特定频率的交变电场,通过干扰肿瘤细胞有丝分裂过程中细胞内带电粒子和极化分子的运动,导致肿瘤细胞内部的一些结构无法正常形成,甚至造成细胞膜破裂,诱导有丝分裂期的肿瘤细胞凋亡。临床研究已经显示在新诊断、复发胶质母细胞瘤明确疗效,TTFields联合TMZ可以显著延长新诊断的GBM患者的PFS和OS,被各大胶质瘤指南明确推荐。研究数据显示,肿瘤电场治疗疗效与依从性密切正相关,当患者每天穿戴超过22小时,五年生存率可提升至29.3%,较单用TMZ辅助治疗明显提高。
辅助TMZ治疗过程中每2-3月复查MRI。治疗中曾出现水肿范围增大,尽管有部分区域弥散受限和MRS异常及血流量增加,但是临床症状未加重,仍继续原方案治疗,后续监测PWI显示病变区灌注减低。提示持续肿瘤电场治疗可以使病变长期稳定。此患者每天佩戴肿瘤电场治疗时间接近22小时,中间出现头皮发红和小水泡,经局部外用皮质类固醇和外用抗生素,暂停2天治疗恢复。至今随访25月稳定。说明肿瘤电场治疗联合TMZ治疗较单TMZ治疗明显延长胶质母细胞瘤患者PFS及OS,临床应积极推广使用。
河北医科大学第二医院神经外科副主任、神经肿瘤专业主任
医学博士,教授,主任医师
河北省医师协会脑胶质瘤医师分会候任主委
河北省医学会神经外科学分会神经肿瘤学组组长
中华医学会神经外科学分会神经肿瘤学组委员
中国医师协会微侵袭神经外科专委会委员
中国抗癌协会脑胶质瘤委员会常委、神经肿瘤专委会委员、脑肿瘤热疗及分子病理转化专委会副主委
中国非公医疗机构协会神经外科专业副主委
北京肿瘤学会神经肿瘤专委员副主委
《Neurosurgery》中文版编委

河北医科大学第二医院放疗科主任,主任医师,博士生导师

河北医科大学第二医院放疗科副主任
主任医师,硕士生导师
河北省医学会放射治疗分会委员
河北省医师协会女医师放射肿瘤协会分会委员
河北省临床工程学会肺癌防治技术与工程分会委员
中国抗癌协会康复会河北省头颈肿瘤专家委员会委员
参与河北省自然科学基金项目课题研究,承担多项省厅级及院级课题研究

河北医科大学第二医院放疗科主治医师
中国医师协会脑胶质瘤专业委员会放疗学组委员
河北省医师协会脑胶质瘤医师分会秘书
河北省神经肿瘤诊疗联盟秘书
本资料的目的在于提供医学研究领域的前沿进展,非广告用途。本资料中涉及的信息仅供医学专业人士参考,本资料不就研究进展或治疗方案做任何担保,请基于医学专业知识作出独立判断。声明:脑医汇旗下神外资讯、神介资讯、脑医咨询、AiBrain所发表内容之知识产权为脑医汇及主办方、原作者等相关权利人所有。未经许可,禁止进行转载、摘编、复制、裁切、录制等。经许可授权使用,亦须注明来源。欢迎转发、分享。