
内听道型听神经瘤完全局限在内听道内,手术切除过程中,打开内听道后,神经内镜可以清晰地观察内听道内的结构、隐匿或残余的肿瘤。新疆医科大学第一附属医院神经外科中心更·党木仁加甫教授团队开展神经内镜下切除内听道型听神经瘤,其中1例汇报如下:
患者信息
男性,汉族,32岁;主诉:右侧耳鸣1个月。

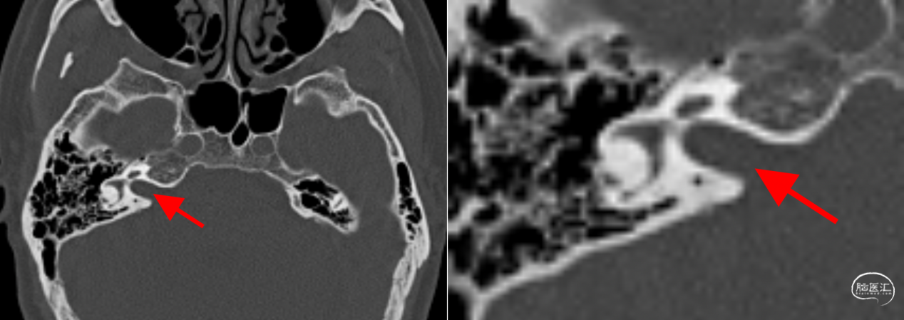
术前MRI:右侧内听道内可见长等T2圆形信号影,增强扫描可见轻度强化,大小约5mmx5mm。

术前颞骨CT:右侧内听道未扩大。

术前纯音测听
病例分析
根据术前MRI,肿瘤完全位于内听道内,属于Koos分级1级、日本听神经瘤多学科共识0级。且内听道底无脑脊液信号,肿瘤位于内听道底。
颞骨CT,内听道后壁无明显气化,无高位颈静脉球,可安全磨除内听道后壁。患者术前右耳听力AAO-HNS分级A级。



枕下乙状窦后入路适用于各种大小的听神经瘤,对于内听道型听神经瘤,经磨除内听道后壁至内听道底,充分暴露内听道内肿瘤,实现肿瘤全切,保护面神经、蜗神经。由于视线角度的原因,显微镜下难以观察到内听道底,而神经内镜(0°或30°)可以抵近观察,图像清晰。
手术视频

术后MRI:肿瘤全切,内听道后壁填塞肌肉。

术后颞骨CT显示内听道后壁磨除范围。

术后1周,面神经功能H-B1级,保留部分听力。
讨论
听神经瘤是主要起源于内听道前庭神经(通常起源于前庭下神经,但有争议)鞘膜施旺细胞的良性肿瘤,又称前庭神经鞘瘤,占颅内肿瘤的6%~9%,占桥小脑角肿瘤的80%~90%。

对于听神经瘤治疗的许多方面没有I级推荐,然而内听道型听神经瘤的治疗方案争议更多,主要包括手术治疗、放射治疗、随访观察。影响听神经瘤治疗决策的常见因素包括:肿瘤分期、位置、生长速度、是否囊性变、患侧或对侧听力水平、患者年龄、全身状况、心理预期、社会角色等。参照Koos分级,对于I级肿瘤建议处理原则如下:以随访为主,每6个月行MRI增强扫描,如随访过程中出现肿瘤生长,且患者存在有效听力,可以考虑采取保留听力的手术治疗,如患者已无有效听力,首选手术治疗,但对于70岁以上、全身条件差无法耐受手术的患者,首选立体定向放射外科治疗。
一项关于听神经瘤自然病史的研究,纳入552例听神经瘤患者,其中230例确诊时肿瘤位于内听道内,平均随访3.6年。结果发现,严格位于内听道内的肿瘤,仅17%长出内听道外。甚至有文献称6%的肿瘤体积会缩小。临床指南(Congressof Neurological Surgeons Systematic Review and Evidence-BasedGuidelines on Surgical Resection for the Treatment of Patients WithVestibular Schwannomas)III级推荐:不伴耳鸣症状的听神经瘤一般是内听道内的(KoosI级)或者直径<2cm,推荐保守观察,因为对肿瘤的生长或听力保留没有负面影响。听神经瘤通常生长范围:1-10mm/年,但差异巨大;50%的AAO-HNS分级A级且未治疗的内听道内听神经瘤患者经过4.6年随访进展为较差级别;随访观察对患者精神心理造成影响;诸多因素致使内听道型听神经瘤患者选择治疗。一项对37个病例组3677例听神经瘤进行的荟萃分析显示,伽玛刀治疗听神经瘤的肿瘤控制率平均为92.2%,且各组肿瘤控制率基本相近,听力保留率为59.3%,非神经功能障碍并发症发生率为5.6%。也有些报道指出伽玛刀治疗后,因肿瘤继续存在,三叉神经症状不能够得到明显缓解;另外,听神经瘤经伽玛刀治疗失败后手术难度增大,肿瘤全切率低,术后神经功能较差。并且一些关于伽玛刀治疗后听神经瘤恶变的散在病例报道,也需要引起注意。Meyer等比较了小型听神经瘤观察随访、立体定向放射治疗、显微手术后的听力保留结果,认为显微手术的听力保留最佳。本例患者是青年男性,耳鸣症状经保守治疗后无好转,患者要求显微手术切除肿瘤。
内听道平均直径约4mm,总长度约(9.9±0.9)mm,受到手术角度的限制,内听道最大磨除范围平均7.09mm,平均最大磨开内耳道后壁接近总长的2/3。但是应用神经内镜,内听道口外侧在听神经瘤切除时不再是一个死角,这样内听道后壁磨除的范围可以根据切除的需要进行调整。神经内镜技术在颅底手术的应用越来越广泛,神经内镜手术有独特的优势,对于某些病例,神经内镜与传统的技术相结合,可以发挥更好的作用。在整个手术过程中,旋转进行多角度观察,使术者有全景化的视野,充分观察到肿瘤周围的结构。切口内术野照明好,术中的操作方向和深度可自由控制,多角度镜头可弥补手术显微镜管状视野的限制。内镜的局部放大作用,不需要过多牵拉小脑、脑干、神经和血管即能清楚地显示神经血管的位置关系,避免了盲目剥离或过度牵拉带来神经和血管的损伤,从而减少并发症,提高疗效,改善患者的生活质量。

参考文献

新医大一附院
神经外一科后颅窝医疗组
新疆医科大学第一附属医院神经外科中心神经外一科(颅脑肿瘤病区)后颅窝医疗组有5名医师(更·党木仁加甫主任医师、朱国华主任医师、麦麦提力·米吉提副主任医师、吴昊主治医师、李彦东住院医师),主要收住病种包括:听神经瘤、三叉神经鞘瘤、后组颅神经鞘瘤、桥小脑角脑膜瘤、小脑幕脑膜瘤、小脑胶质瘤、血管母细胞瘤、第四脑室管膜瘤、髓母细胞瘤、表皮样囊肿、脑干肿瘤、Chiari畸形、脑叶胶质瘤、凸面脑膜瘤等。在西北地区最早开展术中神经电生理监测辅助听神经瘤切除术,近3年年均听神经瘤手术量80台次。近几年,逐渐加强神经内镜在听神经瘤切除术中的应用,进一步减少并发症,提高疗效,改善患者的生活质量。
更·党木仁加甫
教授/主任医师/博士生导师
新疆医科大学第一附属医院神经外科中心名誉主任
中华医学会神经外科分会第八届委员会常务委员
新疆医学会神经外科分会主任委员
新疆神经外科研究所所长
中国医师协会专培基地主任(新疆)颅底专家委员会委员
中国神经科学学会神经损伤与修复学会常委
整合医学神经外科学专业委员会常委
海峡两岸神经外科专业委员会常委
新疆医学会医疗事故鉴定专家库成员
《中华神经外科杂志》、《中华神经外科杂志(英文版)》、《中华神经创伤外科电子杂志》、《临床转化神经科学杂志》等期刊编委。
朱国华
主任医师/副教授/硕士生导师
新疆医科大学第一附属医院神经外科中心一病区副主任
中华医学会神经外科分会第八届委员会青年委员
第二届中国研究型医院学会神经外科专业委员会委员
中国医师协会脑胶质瘤专业委员会第一届分子诊疗专业委员会(学组)委员
中国抗癌协会第一、二届脑胶质瘤专业委员会委员
中国医师协会显微外科医师分会第一届委员会显微神经外科疾病专业委员会(学组)。
麦麦提力·米吉提
医学博士,副主任医师/讲师
中华医学会神经外科分会会员
中国医师协会神经外科分会会员
新疆医学会神经外科分会会员
新疆医学会神经外科分会神经肿瘤委员会委员
在华盛顿大学附属Harborview医学中心从师世界著名颅底神经外科大师Sekhar教授深造颅底肿瘤方向。具有丰富临床经验,多次成功完成脑干肿瘤切除等高难度手术,手术的操作难度和术后疗效在全疆处于领先水平。发表SCI论文及国内核心期刊论文10余篇,多次参加国内外神经外科学术交流,在疆内具有一定知名度的神经外科专家。









