山东大学第二医院神经外科
病人甲的影像资料:
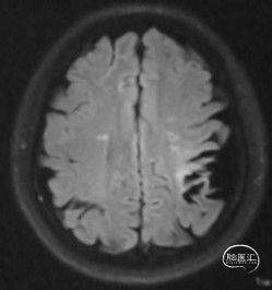
T2 Flair:左侧额顶叶脑软化灶,右侧内分水岭区腔梗;


弥散:阴性;
MRA:右侧大脑前动脉、大脑中动脉闭塞,左侧大脑中动脉分支减少;
造影:右侧颈内动脉末端变细,大脑前及大脑中自起始部闭塞,脑底少量烟雾血管形成,汇聚使R-MCA少量分支显影。
右侧颈内动脉正位:


右侧颈内动脉侧位:
左颈内动脉:大脑前动脉通过前交通动脉向右侧代偿供血,左侧大脑中动脉分叉部分支闭塞。
左侧颈总动脉正位:


左侧颈总动脉侧位:
左侧颈内动脉三维重建显示大脑中分支残端:
磁共振ASL灌注:左侧大脑半球血流较右侧差:



总结:30年前左侧大脑中动脉分支闭塞,导致左侧额顶叶脑梗塞,遗留右上肢肌力差。本次为右侧大脑中动脉闭塞导致的内分水岭梗塞症状。

病人乙的影像资料:
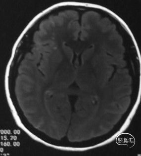
T2 Flair:右侧内分水岭腔梗灶
弥散:阴性
MRA:双侧大脑中动脉、左侧大脑前动脉重度狭窄至闭塞
造影:右侧颈内动脉末段变细,右侧大脑中动脉M1段分叉前重度狭窄,豆纹动脉增多,右侧大脑前动脉向大脑中动脉分布区代偿供血:
右侧颈内动脉正位:
右侧颈内动脉侧位:
三维重建显示右侧大脑中动脉分叉前部重度狭窄,狭窄段直径0.4mm,狭窄程度约84%:
左侧颈内动脉末段、大脑前动脉A1段、大脑中动脉M1段变细:
左侧颈内动脉正位:
左侧颈内动脉侧位:
磁共振ASL灌注:两侧大脑半球CBF无明显差别:
强化灌注:两侧大脑半球MTT无明显差别
总结:在降压药降压的“加强试验”条件下,发现右侧为主的双侧三分叉部位狭窄,右侧大脑半球血流动力学相关腔梗。
引用一句老话,聪明的你,觉得这两个病例的病因诊断是什么呢?
两个病例,都是年轻女性,没有确切严重的三高病史,都是比较符合双侧颈内动脉末端/大脑前/大脑中起始部受累的表现,相比较而言,病例乙的血管狭窄/闭塞双侧更对称一些,两个都是“烟雾病”的可能性大,病例乙可能性应该更大。
但是,高分核磁显示,第一个是“烟雾病”,第二个是“动脉粥样硬化”。
病例甲的高分核磁:显示右侧颈内动脉末端向心性狭窄,内膜增厚,无强化,符合烟雾病的表现。
所以,给她进行了脑血管搭桥手术,根据症状和磁共振上脑梗塞部位,本次选择右侧手术。
病例乙的高分核磁:右侧大脑中动脉M1段呈偏心狭窄,斑块呈等T1信号,增强扫描后明显强化。
左侧大脑中动脉M1段存在下壁等信号斑块。
右侧是动脉粥样硬化斑块导致的大脑中动脉重度狭窄,搭桥手术有血流对冲导致缺血事件的风险;也没有经过正规药物治疗;患者是口服降压药物“负荷试验”后出现的脑梗塞,本身没有缺血症状;所以首选正规药物治疗,而不是手术或者颅内血管支架。
复习:高分核磁对烟雾病和动脉粥样硬化的鉴别诊断:
烟雾病:向心性狭窄,强化或不强化
动脉粥样硬化斑块:偏心性狭窄,T2可呈高信号,强化或不强化


关于烟雾病血管壁是否强化,有文献报道统计了共研究29名患者的166处病灶(采用DSA为诊断标准),其中9例(31.03%)患者、11个病灶(6.6%)出现向心增厚、不强化,8例(27.6%)患者、10个病灶(6.02%)为向心增厚、强化(Kathuveetil A., Sylaja P. N., Senthilvelan S., et al. Vessel Wall Thickening and Enhancement in High-Resolution Intracranial Vessel Wall Imaging: A Predictor of Future Ischemic Events in Moyamoya Disease[J]. AJNR Am J Neuroradiol, 2020, 41(1): 100-105.)。DSA的诊断标准不一定准确,但是其中同为向心性增厚的病灶,11个病灶不强化,10个病灶强化,说明强化与不强化数量大致相等。
总结:烟雾病或者动脉粥样硬化性脑血管狭窄/闭塞,这两种病的手术指征不同,而且前者药物治疗无效,后者有公认有效的药物治疗方案。所以“病因诊断”意义重大。这两个病例说明,脑血管影像始终是血管内”血流”的情况,其实我们不了解血管壁怎么样、血管为什么狭窄;想象未必是正确的。对脑缺血患者进行完整和准确的诊断、制定治疗方案,还是需要进行“六位一体”的综合评估:
感谢我们医院影像科仲海副主任医师、徐丹医师优秀的工作。
更多精彩内容 请关注作者