
中山大学附属第五医院神经外科科主任,主任医师,医学博士,博士后,博士生导师
湖南省医学会神经外科专业委员会委员
湖南省医师协会神经外科分会委员
湖南抗癫痫协会常务理事
中国妇幼协会小儿神经微创学组委员
大湾区神经外科专业委员会委员
在神经外科临床一线工作二十余年,对神经肿瘤、脑血管病、颅脑损伤、脊柱脊髓病变,以及癫痫、帕金森、面肌痉挛、顽固性疼痛等功能神经外科疾病的诊治有丰富的临床经验。
擅长显微和/或内镜下微创手术。在脑血管病的基础与临床及干细胞对脑损伤的修复方面有深入研究,在加州LLU大学从事博士后研究1年。
先后主持国家自然科学基金面上项目2项省部级课题3项、参与国家自然科学基金面上项目1项;以第一作者或通讯作者发表专业学术论文20余篇(其中stroke等SCI 10余篇);主编专著1本、参编专著2本;获国家发明专利2项、实用新型专利1项。

海绵状血管瘤(CM)是指由众多薄壁血管组成的海绵状异常血管团。人群中的发生率估计为0.5%~0.7%,占所有脑血管畸形的8%~15%。女性发病明显多于男性。
1.先天性学说
婴儿患者和家族史支持先天性来源的假说
不完全外显性的常染色体显性遗传性疾病,基因位于染色体7q长臂的q11q22上。
2.后天性学说
常规放疗、 病毒感染、 外伤、手术出血
供血动脉和引流静脉为正常管径的血管,瘤内的血液流速缓慢,故脑血管造影不能显示;
肉眼:深红色、境界清楚、桑葚样的团块;
镜下:缺少肌层和弹力层的薄壁海绵状血窦组成;
周边脑组织含铁血黄素沉着、钙化。
主要有癫痫、出血、头痛、进行性精神功能障碍(占位效应)
出血:脑内海绵状血管瘤最重要的特征。
癫痫:海绵状血管瘤最常见的临床症状。
MRI 的敏感性和特异性均优于 CT
CT 扫描:边界清楚的不均匀高密度区,水肿不明显,常有钙化斑,增强后轻度强化或不强化。
MRI 扫描:有边界,呈圆形。病灶在 T1 加权像呈等信号,在 T2 加权像或注射对比剂后呈高信号,病灶内有混杂低信号,病灶周围有环形低信号带。小型 (<1 cm) 以及非出血性海绵状血管瘤,磁敏感加权成像(SWI)的检出率更高。
脑血管造影:一般为无特征的乏血管病变。
与出血性疾病鉴别:
肿瘤的出血或钙化(尤其是出血性转移瘤)、多发性神经 胶质瘤、多形性星形细胞瘤。
老年高血压或脑淀粉样血管病患者,发生的多灶性小出血,MRI可表现出各种类似影像学特点。

癫痫:一般建议常规使用抗癫痫药物治疗
头痛:头痛症状的患者比例高达52%。对于符合偶发性偏头痛的诊断标准,推荐标准偏头痛的治疗。小样本量的研究中,非甾体类抗炎药物相对安全。
他汀类药物:伴有心血管疾病的患者若存在降胆固醇指征时,应给予他汀类药物治疗(潜在有益,尚未评估)。
1. 首发癫痫的抗癫痫治疗被认为是是合理的(1类,B级);
2. 家族性或多发性患者,怀孕前进行基因咨询(I类,C类);
3. 在怀孕期间与非怀孕出现神经症状的风险可能差不多(Ila类,B级);
4. 在妊娠期间出现新神经症状,应考虑MRI检查(IIa 类,C级);
5. 关于使用抗栓药物风险的数据很少(III类,C级);
6. 溶栓治疗的安全性尚不清楚(III类,C级);
7. 运动的影响在很大程度上是未知的(Ib类,C级)。
是一种替代治疗方法。
可能对颅内CH患者有疗效。
共识意见:
有出血、手术高危区的单发CM,可以考虑放射外科治疗(IIb 类,B 级);
无症状、可手术、以及家族性的CM,不建议进行放射外科(诱发CM?)(III类,C级)。
激光消融是潜在有力的治疗方法。
1.无症状的,不推荐手术切除,特别是功能区、深部或脑干(II类,B级);
2.非功能区、单发、易切除的,可以考虑手术(lb类,C级);
3.癫痫的早期手术切除应考虑,特别是难治性癫痫时(IIa类,B级);
4.有症状、且易切除的,其死亡率和发病率相当2年的(IIb类,B级);
5.有症状、深层难切除,死亡率和发病率相当于5-10年的(IIb类,B级);
6.再次出血的脑干CM 的手术切除可能是合理的(IIb 类,B级);
7.单次出血、致残的脑干CM,手术指证较弱(Ib 类,C级)。
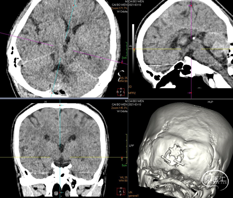
神经导航系统(neuronavigation)的诞生使神经外科手术有了明显的进步,它不仅能够保证手术的精准定位,减少医源性损伤,还能够很好地配合有着丰富经验和娴熟手术技巧的术者,使一些神经外科手术禁区得以突破,神经导航系统在神经外科手术中的辅助作用已日益突出。
如今,国内外很多医院的神经外科已经将神经导航技术作为常规的辅助手段,国内神经导航的应用范围也不断扩大,尤其在颅脑深部、较小病灶、颅底病变、功能区病变已展现出巨大的应用和研究价值。正如任何一项技术手段,神经导航有独特优点的同时,也有局限性,充分的学习、实践、研究、发展神经导航技术将会促进神经外科包括功能神经外科手术更大的进步。

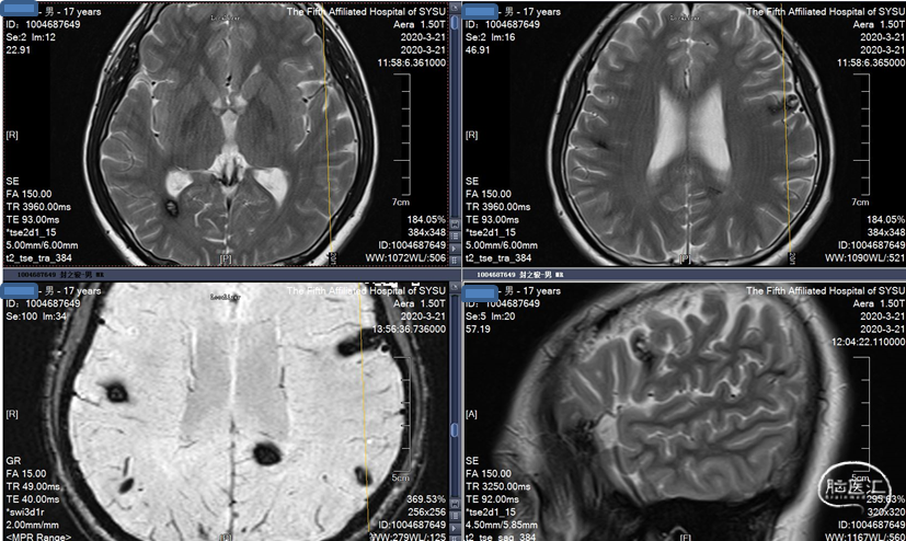
病人出血两次,第一次出血采取保守治疗。第二次出突发疼痛来住院,做了导航下的微创手术,海绵状血管瘤边界清晰,可见明显黄染。手术过程顺利,止血彻底。术后两次病理检查发现海绵状血管瘤,第二次手术中发现明显团块,术后恢复良好。
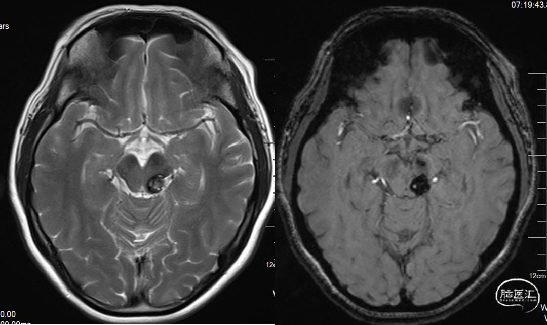
患者,女,27岁,发现脑室旁海绵窦状血管瘤,是一种多发的海绵状血管瘤。反复出血两次,用显微镜手术。9天后复查,可见一定血丝,2个月后复查,很干净,病人无明显病灶。今年复查见对侧丘脑有一血肿,手术难度大。
脑干海绵状血管瘤是一种多发的海绵状血管瘤。患者于2017年发现海绵状血管瘤,2018年由于反复出血做手术,手术效果好。2020年11月,患者头痛并有出血症状。2020年12月再次出血,第二次手术。复查CT,情况良好。
此次手术采用内镜。内镜的优点:创口小,体位要求比显微镜低,操作空间大。缺点是稳定性不够好。
刘教授和我们分享了4个脑内海绵状血管瘤的临床病例,大部分海绵状血管瘤是多发性的,这给手术增加了难度,也给病患带来了压力。但是,随着神经导航技术的发展进步和医生操作水平的不断精进,导航引导下的精准外科治疗是一大福音。

中山大学附属第五医院刘飞教授表示寻找定位小的海绵血管瘤是十分困难的,这时神经导航会提供很大的帮助。刘飞教授觉得在病人接受和手术创伤不大的情况下,是提倡手术治疗的。随着科学技术的进步和人类理念的改变,可以为患者提供更好的手术方式和治疗。精准医学的进步和神经导航技术为医生的成长及研究提供了很多帮助。导航为神外手术提供了便携,但不能完全依赖导航,要在解剖的基础上使用,精益求精。刘飞教授的精彩发言让我们认识到医学进步的广大空间,对精准神外有了崭新的认识。



支持机构