法国巴黎罗斯柴尔德医院小儿神经外科的Sarah Ferrand-Sorbets等开展大样本、长期随访的单中心回顾性研究,目的是明确预测手术治疗跌倒发作和癫痫发作的临床因素。结果发表于2022年1月的《Seizure:European Journal of Epilepsy》在线。
——摘自文章章节
【Ref: Ferrand-Sorbets S, et al. Seizure. 2022 Mar;96:34-42. doi: 10.1016/j.seizure.2022.01.008. Epub 2022 Jan 13.】
胼胝体切开术是治疗药物难治性癫痫和跌倒发作的常用手段,多数采用前三分之二或整个胼胝体切开。该手术可能导致患者的认知障碍,但其可以很好地控制跌倒发作。跌倒发作可能造成严重创伤,以致生活质量恶化。对于整个胼胝体切开治疗跌倒发作后患者的生活质量变化和影像学预测预后的因素,目前还没有大样本和长期随访的资料。仅有一项样本量小的荟萃分析指出,癫痫病程短、婴儿痉挛患者和实施整个胼胝体切开是手术改善跌倒发作取得较好结果的相关因素。法国巴黎罗斯柴尔德医院小儿神经外科的Sarah Ferrand-Sorbets等开展大样本、长期随访的单中心回顾性研究,目的是明确预测手术治疗跌倒发作和癫痫发作的临床因素。结果发表于2022年1月的《Seizure:European Journal of Epilepsy》在线。研究者回顾性分析1998年1月至2019年2月接受整个胼胝体切开术的50例患儿术前术后神经认知功能状态、影像学和脑电图(EEG)监测数据。
50例患儿中,32例男性和18例女性。手术时的中位年龄为90.5个月(71-123个月)。癫痫发作的中位年龄为7个月(4-18.8个月),术前癫痫中位持续时间为80个月(58.5-109.8个月)。整个胼胝体切开术后的中位随访时间为42.5个月(15-77.3个月)。
根据患儿癫痫分类,属Lennox-Gastaut征患儿45例(其中有典型脑电图特征的33例)、癫痫性脑病伴连续睡眠波(CSWS)2例、癫痫伴肌阵挛缺失1例和运动神经功能障碍9例。根据智力残疾疾病国际分类(ICD10),神经心理测试和临床检查结果显示,39例患严重智力障碍,7例中度智力下降,2例轻度智力下降;失语27例;25例自闭症。
49例胼胝体切开术的指征为单纯跌倒发作。1例17个月患儿,伴有大脑半球畸形、多灶性脑电图异常和双侧癫痫发作,行胼胝体切开术的目的是确定致痫灶部位。
术后末次随访时发现,三分之二的癫痫性痉挛(67.4%)、失神发作(66.5%)和强直性发作(71.7%)患儿的跌倒发作消失。术后跌倒发作分类,48例患者中41例(82%)预后良好。其中0级29例(58%),1级12例(24%)。在罕见跌倒发作的患儿中,3例术后数年无跌倒发作,2例术后3年复发,3例术后4年复发。
患儿基线特征不能预测胼胝体切开术后的跌倒发作。癫痫发作类型,特别是强直性或弛缓性癫痫发作与胼胝体切开术后跌倒发作消失相关。术前强直性癫痫发作患儿,术后无跌倒发作率明显提高(p=0.017)。弛缓性发作患儿的手术预后较差(p=0.045),但样本仅9例,结果应谨慎考虑。
整体上,术后1年,34例(68%)患儿预后良好,其中6例为0级,5例为1级,23例为2级。随着时间推移,结果相对稳定,5级0例,7级1例和2级24例。2例患者分别在胼胝体切开术后2年和7年接受迷走神经刺激(VNS),症状有轻微改善,该2例均为罕见的跌倒发作。
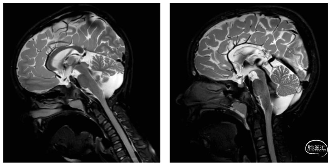
4例患儿术后出现轻微手术并发症。2例发生慢性硬膜下血肿,采用硬膜下腹膜分流术治疗;1例术后共济失调;1例患儿发生短暂胼胝体分离综合征。术后第一年内无患儿死亡,随后2例死亡,其中1例术后2年颅内出血死亡,1例车祸去世。胼胝体切开术后通过高分辨率MRI成像可证实胼胝体手术后改变(图1)。
图1. 胼胝体切开术患儿术前(左)和术后(右)MRI成像。
该研究结果表明,胼胝体切开术是儿童药物难治性癫痫和跌倒发作的一种安全有效的治疗方法;胼胝体切开术对于强直性癫痫跌倒发作患儿的疗效更好。

声明:脑医汇旗下神外资讯、神介资讯、脑医咨询、AiBrain所发表内容之知识产权为脑医汇及主办方、原作者等相关权利人所有。未经许可,禁止进行转载、摘编、复制、裁切、录制等。经许可授权使用,亦须注明来源。欢迎转发、分享。