患者基本信息
女性,67岁。
主诉:因“右侧肢体乏力伴言语含糊29小时”入院。
简要病史
患者29小时前无明显诱因下出现言语含糊及右侧肢体乏力,主要表现为言语含糊不清,表达欠流利,能被他人听懂,也能理解他人说话,伴右侧肢体乏力,右上肢上抬费力,右下肢行走不稳,无肢体麻木,于我院急诊就诊,NIHSS3分,考虑“急性缺血性卒中”收治入院。
既往史:“心房颤动”病史。
入院查体情况
神清,言语含糊不清,对答切题,双侧瞳孔等大圆形,直径约3.0mm,对光反射灵敏,眼球各向运动到位,无复视,无眼震,双侧额纹及鼻唇沟对称,伸舌居中,咽反射存在,无饮水呛咳、吞咽困难,颈软,左侧肢体肌力5级,右侧肢体肌力4级,四肢肌张力无明显增高或降低,四肢躯干深浅感觉对称存在,四肢腱反射对称引出(++),右侧巴氏征阳性,左侧巴氏征未引出。NIHSS 评分3分。
患者入院时虽然有大血管病变,但患者NIHSS评分低,未行血管内治疗,予双联抗血小板,强化他汀,丁苯酞针及补液等治疗。
术前影像资料
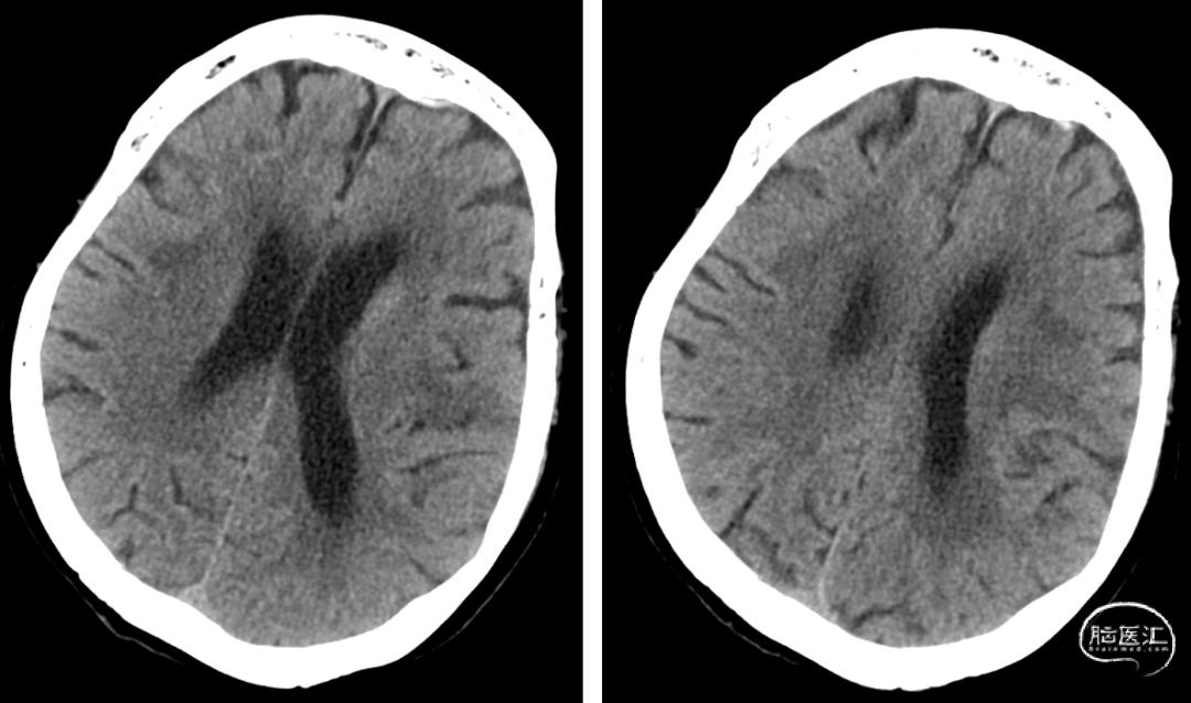
急诊CT(2-22 3:00AM)。
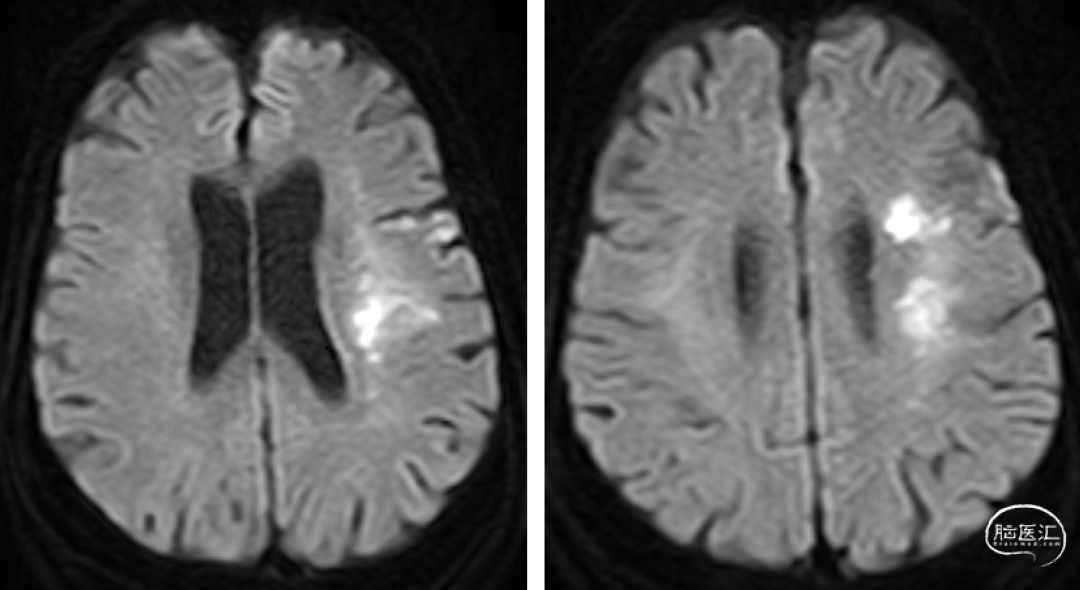
入院前头颅MR(2-22 8:30AM)。
患者入院后(2-22 21:30PM)症状加重,部分混合型失语,右上肢肌力0级,右下肢肌力3级,右侧鼻唇沟变浅,NIHSS评分12分。(急诊CTP)。
患者老年女性,既往心房颤动病史。因“言语障碍及右侧肢体乏力29小时”入院。患者有明确的大血管闭塞,入院后患者症状加重,MRA提示左侧大脑中动脉闭塞,考虑进展性卒中,患者急诊CTP评估后考虑缺血半暗带大有血管内治疗指征,排除禁忌,拟急诊手术治疗。
患者急性起病,最初起病NIHSS评分3分,最初头颅MRA可见LM1大血管闭塞,但仍有血管残端,结合DWI图像,考虑血栓在分叉部未完全堵塞血管;但后来患者突然加重,考虑侧枝衰竭或血栓位移或二次心源性栓塞可能性大(有房颤病史),计划首先ADAPT抽吸,再Solumbra技术抽拉结合取栓治疗,视情况必要时补充技术。
6F Neuron™ Max 90cm
CATALYST-6F*132cm
微导管(Rebar18)
微导丝(synchro-2,0.014*200cm)
Reco®3x20mm取栓支架


术后DynaCT,有少量造影剂外渗。予速尿针、白蛋白针、甘露醇针脱水预防脑水肿,阿司匹林肠溶片、抗血小板,强化他汀治疗。
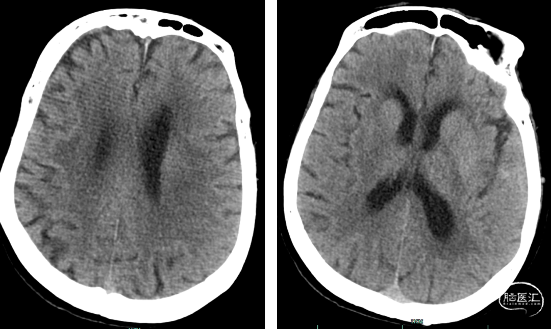
术后复查头颅CT:无明显出血等表现。
唐孝龙
宁波市北仑区人民医院
副主任医师,硕士研究生,诊疗组长
从事神经内科临床工作十余年,曾多次在浙江大学附属第一医院神经内科进修脑血管介入技术。
擅长:全脑血管造影、脑动脉机械取栓术、颈内动脉支架成形术、椎动脉支架成形术等。
肖渊
宁波市北仑区人民医院
主治医师,硕士研究生
从事神经内科临床工作10年,在浙江大学附属第一医院神经内科进修脑血管介入技术。擅长:全脑血管造影、颈内动脉支架成形术、椎动脉支架成形术等
方兴
宁波市北仑区人民医院
神经内科主任
中国老年医学学会神经病学分会委员,浙江省医学会神经病学分会神经介入学组委员,浙江省医师协会神经介入分会委员,宁波市医学会神经病学分会委员。
从事神经内科临床工作16年,曾在浙江大学附属第一医院神经内科进修脑血管介入技术。
擅长:全脑血管造影、脑动脉机械取栓术、颅内动脉血管成形术,颈内动脉支架成形术、椎动脉支架成形术、颈内动脉慢性闭塞再通术等。以第一作者发表SCI及一级期刊论文5篇。