首先感谢兰大二院神经外科潘亚文教授、张新定教授、李强主任的指导,还有首都医科大学宣武医院神经外科李茗初主任的教诲。此次分享的手术为一例三叉神经鞘瘤的患者,由董志强副主任医师主刀,高振山主治医师助手。
01
病史分享
患者女性,23岁,因“左侧面部麻木1年余,加重1月”入院,查体:左侧颜面部感觉减退,咀嚼乏力,余(-)。
02
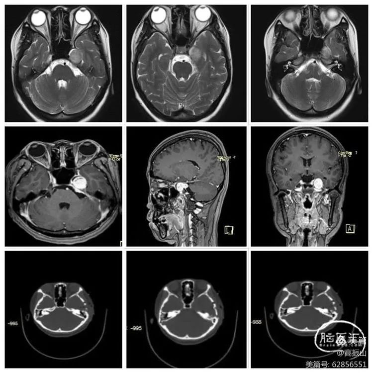
术前影像资料

对于术前影像资料的解读
首先我们明确一个观点就是鞍旁间隙和海绵窦的关系,鞍旁间隙的范围是从眶上裂的外侧端→圆孔的外侧端→卵圆孔的外侧端→三叉神经门的外侧端→三叉神经门的内侧端,向上延续为前后岩床韧带交点,再到后床突→鞍结节的外侧端→颈内动脉近环和远环→前床突→眶上裂的外侧端。从三叉神经门的内侧端向下到外展神经的硬膜端入口→后床突最后再回到眶上裂的外侧端,这些范围区间的硬膜结构叫鞍旁间隙,而在鞍旁间隙中的一些脏壁二层硬膜之间是分开,容纳了静脉窦,这些静脉窦叫做海绵窦。所以严格意义上来说Meckel腔是鞍旁间隙的结构。Meckel腔分为前壁和后壁,其中前壁是有两层脏层硬膜形成,而后壁是由一层脏层(海绵窦的外侧壁)和一层壁层硬膜(颅骨的骨膜)形成,所以Meckel腔实际是有四层硬膜构成。此例病例肿瘤位于Meckel的前后壁之间,其内侧有颈内动脉后垂直段,其后方是岩骨的三叉神经压迹,由颞骨CT可知三叉神经N压迹处骨质受压变薄,肿瘤已经有少许突破三叉神经门的迹象,由此可以大胆的推测肿瘤起源自三叉神经门附近,在肿瘤的颅底面可以看到肿瘤临近岩骨水平端ICA,并且肿瘤将颞叶钩回的尖部向后,向外,向上挤。(见下文示意图1、2、3)

图1

图2

图3
03
手术过程
手术采取耳屏前“J”形切口,右侧卧位,对于切口的要求是需要暴露后切迹,颞肌压迹,外耳道上缘,乳突上棘等重要结构,体位摆放需要满足上矢状窦平行于地面,双侧颈内静脉无压迫,头位整体高于心脏。并且术前摆放腰大池,利于脑脊液的释放。

体位

切口画线

骨性标记
注意事项:将颞肌沿着颞线的附着缘游离并翻向额侧,在颧弓根部钻孔,铣刀游离骨瓣上端沿鳞状缝,因为耳前凹陷上5.5cm为中侧裂点(见上图)术中无需暴漏中央沟下端,颅底骨质按需根据磨钻磨除至中颅窝底。
手术操作
04
术后影像及预后


后记
显微神经解剖不等于手术,手术也不是解剖;解剖不是目的,目的是理解和重复手术和手术中的关键技术,是一种临床前培训。熟悉了解剖知识,并不一定意味着能把手术做好,但是,不熟悉解剖知识,很难把手术做好。半年的临床解剖训练让我成长了很多,也知道了自己的不足,深刻的体会到了:纸上得来终觉浅,绝知此事要躬行。神经外科成长的路途漫漫,我仍需努力前行,再次感谢兰大二院的各位主任和领导,给我这次宝贵的机会,让我去北京宣武医院Samii显微神经解剖训练班学习。
·术者简介·
董志强
医学博士,副主任医师,毕业于兰州大学医学院,现就职于兰州大学第二医院神经外科三病区,长期从事脑胶质瘤的基础及临床研究工作。
擅长各部位脑胶质瘤的手术及综合治疗,擅长幕上肿瘤,颅底肿瘤,小儿颅内肿瘤的显微外科手术治疗。擅长垂体腺瘤,颅咽管瘤,脊索瘤等颅底肿瘤的神经内镜下微创治疗。擅长颅内各部位囊肿,各种脑积水,高血压脑出血的神经内镜下微创治疗。曾在北京天坛医院,北京三博脑科医院进修学习。主持及参与省部级科研项目多项,参编论著一部,第一作者或通讯作者发表学术论文10余篇(SCI 1篇)。
学术兼职:中华医学会神经外科学分会第八届委员会青年委员会委员;中国抗癌协会脑胶质瘤专业委员会青年委员。
作者简介
高振山,医学硕士,主治医师,现就职于兰州大学第二医院,神经外科三病区。






