“又是它,大大的瘤,宽宽的颈,实则像个水母”。

虽然棘手,但是也得设计,一个未破裂的动脉瘤。家里比较积极,那就做吧。但是得清楚越安全越好,毕竟没有症状。不管用一个还是两个支架,一切按Y型支架准备。于是乎,双鞘给上。考虑到以往经验,按照自己怎么方便怎么来,右侧鞘安排6F导引导管,操作方便,可以放支架,填弹簧圈。左侧鞘就放个5F导引导管吧,放个支架就完事。

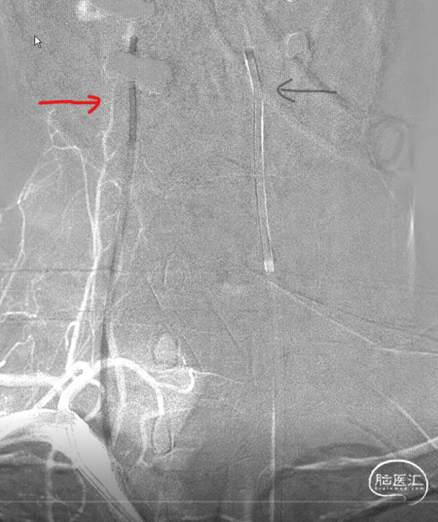
左侧为主椎,当然把6F导引导管放到左侧(黑色箭头),右侧椎稍微细一些,安排上5F的导引导管(红色箭头)。因此右侧大脑后的支架导管塑型角度稍大一些弧形,弹簧圈微导管安排S型,左侧嘛?单弯足以。

用的是可以利用弹簧圈微导管释放支架的导管。好处有:第一容易到位,即使到达大脑后动脉角度较大时也可以通过微导管塑型减少对动脉瘤的骚扰。第二支架在血管内形成血栓的概率小一些。

所以,此时如果是比较粗的导管可能对动脉瘤的张力较大,增加破裂风险,但是即使是比较细的弹簧圈微导管,也得小心翼翼通过,不得粗暴。

右侧大脑后动脉导管到位,解释一下由于远端血管条件不是太好,因此没有往更远走一些,二则,支架为无头的因此,此位置够用了。

因为在同侧所以也把弹簧圈微导管到位。虽然塑型角度比较大,可能由于血管的束缚和导管的回弹,角度感觉还是小了些,不过应该还是可以的。不过再上第三个管时,应该把前两个管锁紧。

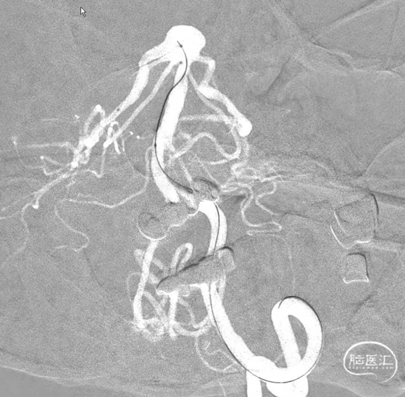
第三管很容易到位,所有大神都已到位,那就开始干活吧。

先填一个适当大小的圈,刚开始微导管头位置感觉差一些,借着弹簧圈比较软的优势,适当跟了一点微导管,感觉这个位置应该可以了,首先因为是大动脉瘤,通过简单的填塞很难把动脉瘤栓塞致密,因此一般选择分区填塞,因此计划是先把8,9点位置填的差不多后再回撤微导管,在回撤轨迹将弹簧圈依次填塞使其致密,但是凡事都是:身后有余忘缩手,眼前无路想回头。所以一切计划都存在变数。

第一个圈盘的还可以,直接支架辅助,一切都很顺利。微导管头的位置按原计划可行。

第一个圈填完,成型不错,弹簧圈微导管由于圈的张力作用,稍好低了一下头(红色标记),不过还好。

连续填了两枚圈,微导管头没变,但是开始左右摆圈。不好,根据以往经验,瘤顶偏右侧的空间要丢掉机会,如果再填一个圈,即将把动脉瘤颈部偏右侧大脑后动脉部分填致密,这样的话残留在瘤顶部的空白处可能填不上,因此直接采取下一方案。于是趁着瘤颈还有空间,将右侧支架导管撤下,将头塑型为指头或单弯,穿支架网孔到位。

这是微导管到位就放心了,但是一定注意,穿网孔微导管可能有阶梯效应,使其弹射,因此一定要控制好张力,减少戳破动脉瘤的风险。

管他如何,先填个圈把这一部分添上。接下来就是考虑把动脉瘤偏左侧进行正常填塞。

动脉瘤右侧是没事了,但是左侧好像失策了,可以看到左侧部分有一部分圈,但是还是不太致密,但是由于弹簧圈微导管由于在填弹簧圈时,不断减张力,因此已经离开了原来计划的位置。千算万算,好像还是忽略了这一点。

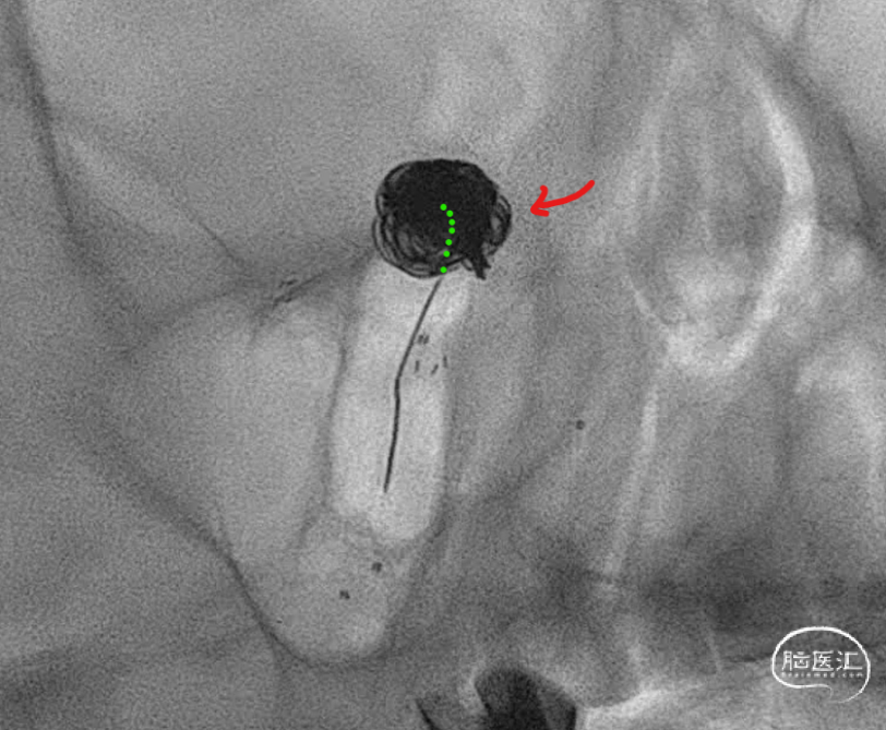
造影显示,左侧大脑后动脉起始似乎还是受到圈的小小影响,最终决定还是把支架放上。

支架释放完毕,感觉还是不太死心,于是调整了微导管几次,由于弹簧圈和支架的阻挡,还是调不进去,如果继续尝试,可能有增加支架内形成血栓的概率和导管可能戳破动脉瘤的风险。于是绝定再造个影看看。

这个角度,感觉残留一些。


换了个角度,感觉还可以。

标准侧位发现,这个位置有些残留,角度还是比较刁的,不太好到位。虽然有这么一点小遗憾。但是从患者是未破裂动脉瘤,及减少患者风险为第一位的角度上看,还是可以考虑一下。因此毅然决定收手。术后患者安好。
静下来想想,有的时候我们追求完美,让手术和患者得到最大的受益无可厚非。但是有的时候能及时收手,减少患者由于增加操作而带来的风险,未尝不是一种正确的选择。仅为个人观点,与诸君分享。同时感谢各位关注。



术者简介
王春雷
哈尔滨医科大学附属第一医院
医学博士,就职于哈尔滨医科大学附属第一医院神经外科,从事神经外科疾病介入治疗工作及缺血性脑血管病外科治疗工作。完成缺血及出血性神经介入手术一千余例。发表文章三十余篇,包括第一及通讯作者SCI文章5篇。
2017年聘为黑龙江省医师协会神经介入专业委员会委员。
2018年聘为脑医汇-神介资讯青年编委。
2018年聘为黑龙江省医促会创伤与神经重症专委会委员。




