病例资料
姓名:陈XX 性别:女 年龄:58岁
1.中年女性。
2.因“间断头痛2年,发现颅内动脉瘤1周”入院。
3.既往体健。
4.查体:NIHSS评分0分,Hunt-Hess评分0分,生命体征平稳,神经系统查体阴性。
5.辅助检查:外院MRA提示双侧颈内动脉多发动脉瘤。
初步诊断:颅内多发动脉瘤
诊疗过程
2021-12-20 脑血管造影:
左侧颈内动脉多发动脉瘤;右侧颈内动脉床突段动脉瘤。


LICA 多发动脉瘤,大小分别为3.09×3.79mm、1.73×1.73m及1.79mm×1.63mm,载瘤动脉远端直径为3.11mm,近端直径3.49mm。


RICA 床突旁动脉瘤 6.56×5.29mm ,载瘤动脉近段直径约3.66mm,远端直径3.40mm。
2021-12-24 左侧颈内动脉血流导向装置重建术(Tubridge)
第一次治疗
L-ICA血流导向装置(Tubridge 3.5*25mm)。


阿司匹林100mg+波立维75mg,术后恢复,顺利出院。
两个月后(2022-2-15)返院行第二次治疗
(患者诉胃部不适伴体重下降,胃镜:慢性非萎缩性胃炎胃窦为主。改抗血小板方案为吲哚布芬0.1g 2/日+波立维75mg)。
2022-2-21 右侧颈内动脉血流导向装置重建术(Tubridge)
8F Guiding+5F Navien+FasTrack


R-ICA血流导向装置(Tubridge3.5*20mm)






术后当日病情
术中10:00肝素化30mg。
10:30 手术结束。
10:50 麻醉清醒,返回病房,替罗非班1.0ml/h。
14:30 患者诉轻度头痛。
神清语利,肢体活动正常。
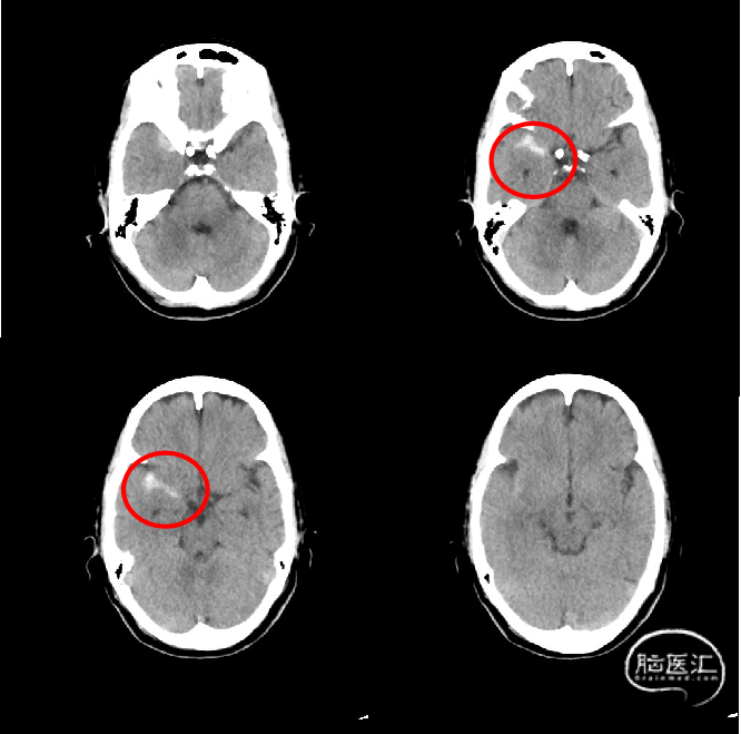
15:10 停用替罗非班,急查头颅CT。
少量出血(SAH?实质?),无神经功能受损。
停用波立维,继续吲哚布芬0.1g 2/日。

D0 2022-2-21
FD术后出血原因
动脉瘤破裂出血1,2:瘤内血栓、瘤壁缺血、血栓相关性的自溶、瘤内压力无法即刻降低……
导丝导管直接损伤:多术中即刻发生。
血流动力学改变3:FD远端血管的血流速度增加(图、表)。
抗血小板药物4:对非手术血管供血区的出血的可能合理解释(本例双联抗血小板、术中肝素化后时间短、术后加用替罗非班)。
梗死后出血转化1。


1、Delayed hemorrhagic complications after flow diversion for intracranial aneurysms_ a literature overview. Neuroradiology. 2016
2、Flow Diversion for the Treatment of Intracranial Aneurysms. JAMA Neurol. 2016
3、flow changes of distal arteries_ An important factor in process of delayed ipsilateral parenchymal hemorrhage after flow diversion in patients with cerebral aneurysms. Interv Neuroradiol. 2021
4、Patterns, Predictors, and Outcomes of Postprocedure Delayed Hemorrhage Following Flow Diversion for Intracranial Aneurysm Treatment. World Neurosurg. 2018


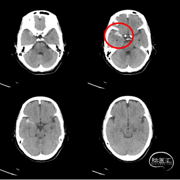
D1
2022-2-22
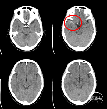
D3
2022-2-24


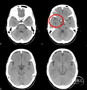
D7
2022-2-28
2022.3.3出院,吲哚布芬0.1g 2/日。
嘱一周2022.3.10加用氯比格雷25mg/日,第三周2022-3-17加至50mg/日。
后续逐步加至75mg。
讨论
1.出血部位和原因?
直接损伤:FD在M1段打开后,回拉时直接损伤邻近血管,小动脉或静脉。
抗栓药物:双联抗血小板,术中肝素化,术后小剂量替罗非班。
血流动力学改变:FD远端流速增快。
2.后续抗血小板方案?
该患者出血量少,无神经功能缺损,可考虑出血稳定后逐步加回抗血小板药物。需警惕再出血可能。





