患者女性,70岁,温州永嘉人。
主诉:头晕伴反应迟钝6月余。
现病史:患者6月余前无明显诱因晨起头晕,伴随周围事物旋转感,闭目时好转,不随头位改变而改变,伴反应迟钝,无恶心呕吐,无头痛,无神志不清,无肢体活动障碍。就诊于当地医院,查头部CT及MRI提示:“左侧枕骨大孔及右侧额叶占位,考虑脑膜瘤”,未做特殊处理。为进一步诊治就诊我院,门诊拟“左侧枕骨大孔及右侧额叶占位病变:脑膜瘤”收住入院。
既往史:高血压病史3年,规律服用氨氯地平片(每天一片),血压控制可。2型糖尿病3年,规律服用格列齐特缓释片,二甲双胍片,血糖控制可。脑梗死病史6月,服用拜阿司匹林,已停药。
查体:未见明显阳性体征。
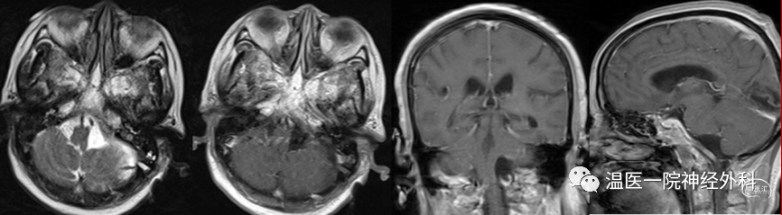
影像资料:

图1 术前MRI平扫+增强
患者入院后完善相关检查,根据症状、体征及影像学资料,入院初步诊断考虑左侧枕大孔区及右侧额叶脑膜瘤,手术指征明确,此次拟先行左侧远外侧入路开颅肿瘤切除术。
进一步分析枕大孔区病变影像学特点,考虑病变位于脑干腹外侧,椎动脉V3段上方,且病变本身通过对周围组织结构挤压已形成向后方的“天然走廊”,预估术中无需追求对枕髁的磨除,亦不必向下方过分暴露,所以拟采用开颅损伤及操作风险相对较小的改良远外侧手术入路。
开颅过程中注意保护椎动脉颅外段,术中暴露和切除肿瘤的过程中勿对脑干过多牵拉侵扰,注意对第Ⅵ、Ⅸ-Ⅻ颅神经、椎动脉入颅及颅内段的保护。术后可不急于拔除气管插管,监测生命体征,观察神志和瞳孔变化,注意咳嗽和吞咽功能的恢复情况。
体位及开颅

图2 体位及开颅。A、右侧卧位,左侧耳后直切口;B、分层切开颈项部肌肉,暴露椎动脉切迹,a:头夹肌 b:头最长肌 c:上斜肌 d:头后大直肌;C、显微镜下磨钻磨除枕窝至枕髁后缘;D、打开硬脑膜后立即进入蛛网膜下腔,释放脑脊液,使脑压下降,获得更有利的操作空间。
肿瘤切除过程

图3 肿瘤切除。A、术中见肿瘤基底位于枕骨大孔腹侧方,侧方基底可部分显露,予以烧灼离断;B、鉴于枕大孔区脑膜瘤的供血特点,先离断部分肿瘤基底,然后行肿瘤减容操作,减小肿瘤体积以获得更大的操作空间。术中可见断开部分基底情况下切除肿瘤出血可控;C&D、进行充分减瘤操作后瘤体塌陷,依次分离出肿瘤上极(C图)和下极(D图)边界;E、随着肿瘤进一步切除,瘤体缩小,伴随脑脊液释放,操作空间逐渐开阔。最后获得从容分离肿瘤与延髓脑干边界的空间;F、彻底清除肿瘤残留基底,对附着部位硬膜电凝灼烧,做到Simpson Ⅱ级切除。
周围正常组织

图4 肿瘤切除后显露的周围正常结构。

图5 A、术后CT显示瘤腔干净;B、枕髁基本完整保留

图6 术后MRI显示肿瘤完整切除。

图7 病理结果。肿瘤符合砂粒体型脑膜瘤(WHO Ⅰ级);免疫组化结果,CD34(血管+),CD56(+),EMA(+),
ER-a(-),GFAP(-),Ki67(2%+),PR(50%,强+),
S-100(-),STAT-6(-),VIM(+)
远外侧这一手术入路自上世纪70年代神经外科前辈们开始探索,80年代Heros予以精确描述使之获得“正名”,为之后的快速发展夯实了基础。此间,多位神经外科前辈提出多种扩展的思路,并予以实践。90年代经过Rhoton等几位大师的总结形成了一个比较完备的体系,逐渐趋于成熟。远外侧入路最本质的是,围绕枕髁以及是否需要磨除、磨除程度多少来达到枕大孔腹侧、颈静脉孔内不同程度的暴露。根据病灶的特点及术中的需求,做到最合理的皮肤肌肉切开以及恰如其分的颅骨切除来暴露枕大孔腹外侧区域,是该入路“成熟”的标志。
该例枕骨大孔区脑膜瘤,主要位于枕骨大孔缘的上方。根据Bruneau等人的分型,按涉及硬脑膜腔隙归为硬膜下型;按肿瘤基底部在硬脑膜的位置归为腹外侧型;按肿瘤与椎动脉的关系归为椎动脉上型。另外,按肿瘤占据枕大孔内径大小分类,属于中型枕大孔区脑膜瘤(肿瘤占枕大孔内径的1/3-1/2)。肿瘤位置靠脑干的外侧方,向内挤压脑干。这样的位置和大小给从后下方向前的手术留出了一个比较舒服的天然通道。所以我们采用直切口方式的“改良”远外侧入路,术中开颅显露至枕髁后缘,无需进行磨除枕髁,也不需要完全显露出椎动脉V3段,即可比较好地显露肿瘤。由于枕大孔区的脑膜瘤主要由椎动脉、枕动脉及咽升动脉分支供血,一般术中出血可控。因此,即使手术初期仅离断部分肿瘤基底,行肿瘤内减容术时也较少出血。随着手术进行,脑脊液的释放,手术通道会逐渐开放,最后留给术者从容处理基底及脑干侧的空间。“改良”远外侧入路较大简化了远外侧开颅过程,降低了椎动脉术中误伤的可能性,当然也对寰枕关节的稳定性不产生任何影响。另外肌肉损伤较小,肌肉萎缩及皮下积液的并发症较少,恢复相对快。
我们体会,针对类似肿瘤直径大于延髓直径,已在延髓侧方形成足够天然通道的枕大孔脑膜瘤,中下斜坡表皮样囊肿、皮样囊肿,肠源性囊肿,蛛网膜囊肿,以及位于舌下神经下三角的PICA起始动脉瘤可以采用该手术方式。
1. 唐寅达,《远外侧入路的前世今生》。
2. Heros RC. Lateral suboccipital approach for vertebral and vertebrobasilar artery lesions. Journal of neurosurgery. 1986;64(4):559-62.
3. Rhoton.The far-lateral approach and its transcondylar, supracondylar, and paracondylar extensions. Neurosurgery, 2000 Sep;47(3 Suppl):195-209.
4. Nanda A, Vincent DA, et,al. Far-lateral approach to intradural lesions of the foramen magnum without resection of the occipital condyle. Journal of neurosurgery. 2002;96(2):302-9.
5. Bruneau M, George B.Foramen magnum meningiomas: detailed surgical approaches and technical aspects at Lariboisière Hospital and review of the literature. Neurosurg Rev ,2008;31:19–33.
6. Bernard George.Classification system of foramen magnum meningiomas. Michaël Bruneau , Craniovertebr Junction Spine. 2010 Jan;1(1):10-7.
7. Bruneau M, George B.Classification system of foramen magnum meningiomas. J Craniovertebr Junction Spine 2010;1:10–17.
8. HitoshiYamahata,SatoshiYamaguchi,et al.Exploitation of Simple Classification and Space Created by the Tumor for the Treatment of Foramen Magnum Meningiomas. World Neurosurgery , 2016 March;1-7.
9. Anil Nanda.Modified Far Lateral Approach for Posterior Circulation Aneurysms: An Institutional Experience. World Neurosurg. 2016 Oct;94:398-407.
图文:王成德
审校:夏 雷
终审:苏志鹏
编辑:张伟忠






