患者,男,28岁,因“头昏20余天。”入院。
患者20余天前无明显诱因下在家中出现头晕,未予重视。2天后在家中吃饭时出现恶心呕吐,期间症状自行缓解,至当地医院就诊查MR示:“右侧颞部占位,考虑脑膜瘤可能性大。”为求进一步手术至温州医科大学附属第一医院就诊。
神志清,精神可,双侧瞳孔等大等圆,直径3mm,对光反射灵敏,颈软无抵抗,心肺及腹部检查无殊,全身无明显皮肤肿块,四肢肌力V级,肌张力正常,病理征阴性。
入院后复查头颅MRI(图1)增强,提示:右侧中颅窝颅板下颞脑表见团块异常信号影,T1WI及T2WI呈稍高低混杂信号,增强后见不均匀强化,临近脑膜可见强化,呈脑膜尾征。边界清,病灶周围可见大片水肿影信号。诊断脑膜瘤,血管外皮细胞瘤待排。

综合患者病史、症状及影像学检查,考虑脑膜瘤或血管外皮细胞瘤可能,有手术指征。全麻下行“右额颞开颅肿瘤切除术”,手术过程顺利,术中可见右侧中颅底占位,质地不均匀,大部分灰红色,质地坚韧,血供丰富。中间夹杂小部分灰白色半透明样,质地中等偏软,血供一般,肿瘤有包膜,与周围组织黏连明显,肿瘤基地主要位于中颅底硬膜,范围广。
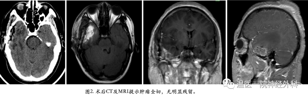
术后复查头颅CT及MRI(图2),提示病灶全切,无明显残留。


图3.病理报告
RDD(Rosai-Dorfman Disease)是组织细胞非肿瘤性增生性疾病,又称窦组织细胞增生伴巨淋巴结病[1]。中枢神经系统的RDD罕见,约占所有RDD病例中的5%,男:女约1.8:1,中枢神经系统的RDD好发于40-50岁男性。RDD病因不明,可能与免疫缺陷、人类疱疹病毒、微小病毒、B19及EB病毒等有关。全身单发或多发淋巴结肿大是RDD的常见但非必然临床症状。RDD病灶可位于全身多处,包括皮肤、鼻腔/鼻旁窦、眼睑/眼眶、骨、口腔唾液腺、中枢神经系统等。实验室检查可见血沉升高,球蛋白升高,亦有血液白细胞增多,脑脊液淋巴细胞增多。影像学检查CT表现为等密度或高密度。MR成像上,肿块在T1上多为低信号至等信号,而在T2上信号强度很低;增强MR上肿块以硬脑膜为基底,均匀增强;常有瘤周水肿和硬脑膜尾征。目前临床上对于RDD的诊断仍需依赖病理确诊,鉴别诊断方面需与多血管炎性肉芽肿、Langerhans细胞组织细胞增多症、Langerhans细胞肉瘤、淋巴瘤、结节病、IgG4相关疾病、结核病等相鉴别。
近年来亦有多篇报道中枢神经系统RDD病例,其中颅内单发或多发RDD病例的影像学特点与本例患者相似,均术前考虑脑膜瘤并行手术治疗,术后病理提示RDD。

Case1[2]:T1右顶叶等信号病变,边界较清。T2右顶叶低信号病变,周围脑组织水肿。轴位增强MR病变边界清楚,明显强化,可见少许低信号区。矢状位增强可见脑膜尾征。

Case2[3]: CT均匀高密度。MR显示病变边界清晰,呈均匀强化,有脑膜尾征。
RDD最常见的临床表现与病变位置、大小有关(压迫症状):
1.发热、头痛、头晕、癫痫。
2.神经功能障碍(视力改变、步态不稳、听力损失和耳鸣以及垂体功能障碍)。与位置有关。3.病变体积较大时可有颅高压表现。
RDD病理特点(金标准)[4]
1.可见大量淋巴细胞及组织细胞。
2.伸入运动(emperipolesis):一个大组织细胞吞噬几个小淋巴细胞。
3.“明暗相间”不规则分布。
4.S-100、CD68阳性。
5.EMA、vimentin阴性。
RDD的实验室表现:
1.血沉(ESR)升高。
2.球蛋白升高。
3.亦有血液白细胞增多,脑脊液淋巴细胞增。
RDD的影像学表现[5]:
1.CT表现为等密度或高密度。
2.MR成像上,肿块在T1上多为低信号至等信号,而在T2上信号强度很低。
3.增强MR上肿块以硬脑膜为基底,均匀增强。
4.常有瘤周水肿和硬脑膜尾征。
RDD的鉴别诊断要点:
1.脑膜瘤:脑膜瘤起源于蛛网膜细胞或蛛网膜帽状细胞,常发于中老年,女性好发,形态上多呈半圆或椭圆型隆起的颅内脑外病变,典型MRI影像表现为在T1WI及T2WI等信号,但脑膜瘤病理亚型较多,依据其组织成分不同T2WI信号可有改变,如肿瘤内纤维成分及钙化较多,肿瘤可表现为T1WI及T2WI低信号,需要与RDD鉴别;良性脑膜瘤边缘光整,且因与脑实质间脑脊液间隙的存在,通常与脑实质分界较清晰,无软脑膜受累,与部分RDD邻近脑实质侧呈“毛刺样”改变不同;
2.脑膜淋巴瘤:继发性中枢神经系统淋巴瘤常累及脑膜,呈T1WI等或稍低信号、T2WI等信号且信号均匀,DWI多呈高信号,钙化、出血少见,增强扫描后肿瘤整体均匀强化,有文献报道强化后病灶内部可见细线样“放射状”改变,这种特异的强化方式有助于与RDD鉴别;
3.特发性肥厚型硬脑膜炎:是一种以硬脑膜增厚、炎性纤维化为特征的疾病,原因不明,发病率较低,好发于中老年人,MR平扫表现为硬脑膜局灶性或弥漫性不均匀增厚,病灶多呈T1WI等低信号、T2WI低信号,T2WI上低信号主要与硬脑膜纤维化有关,增强扫描呈明显强化,部分病灶中心可见线样无强化,两侧强化,呈“轨道征”,有鉴别意义。
目前对于RDD的治疗及随访流程(图4)推荐如下[6][7]:
1.对于局灶性病变(图4左),若无明显临床症状,可考虑随访或手术切除;若有明显临床症状,则倾向于尽可能手术全切,进一步地,对于术后有残留而无症状者可考虑继续随访,对于术后有残留而有症状者则可考虑放疗,而对于放疗后症状仍有进行性加重的则考虑激素、干扰素等药物治疗。
2.对于全身性病变(图4右),若无明显临床症状,同样可考虑随访或手术切除;若有明显临床症状,则倾向于激素、干扰素等药物治疗。

1. Carrasco-Garcia DLS, Flores BJ, Relea CF, Balcazar RO. Extra-Axial Mass in the Foramen Magnum Causing Cervical Compressive Myelopathy as a Complication of Rosai-Dorfman
Disease. J CLIN NEUROL 2017;13(3):312-314
2.孙刚锋,蒋晓帆。一例误诊为脑膜瘤的颅内原发罗道病报告并文献复习。中华神经外科疾病研究杂志2018;17(3)
3.Petzold A,Thom M,Powell M,et al. Relapsing intracranial Rosai-Dorfman Disease[J].J Neurol Neurosurg Psychiatry 2001;71:538-541
4.Bruce-Brand C, Schneider JW, Schubert P. Rosai-Dorfman disease: an overview. J Clin Pathol. 2020;jclinpath-2020-206733.
5.Theeler BJ, Keylock JB, Yoest SM. Teaching NeuroImage: isolated intracranial Rosai-Dorfman disease mimicking a meningioma. NEUROLOGY 2008;70(13):e42
6. Dalia S, Sagatys E, Sokol L, et al. Rosai-Dorfman disease: tumor biology, clinical features, pathology, and treatment. Cancer Control. 2014 21(4):322-7.
7.Frater, J.L, Maddox, J.S, Obadiah, J.M . Cutaneous Rosai-Dorfman disease: comprehensive review of cases reported in the medical literature since 1990 and presentation of an illustrative case. J Cutan Med Surg. 2006; 10(6): 281–290.
部分图片来源于网络,版权归于原作者
图文:李 群
审校:苏志鹏
编辑:张伟忠






