
01
【病例概述】
2021年2月接诊一例来自吉林的8岁女性患儿(身高:122cm,体重:20.0kg)。主诉:行走不稳20天,头痛呕吐10天,进行性加重。患儿20天前无明显诱因走路不稳,10天前出现头痛呕吐,逐渐加重并出现嗜睡,于当地医院检查显示:颅内占位伴梗阻性脑积水,遂来我院就诊。门诊查体示:神清、精神弱,双瞳等大等圆,左:右=2.5:2.5mm,光反应敏感,余查体欠配合。头颅CT/MRI示:左侧小脑半球占位,胶质瘤可能性大;伴梗阻性脑积水(图1)。

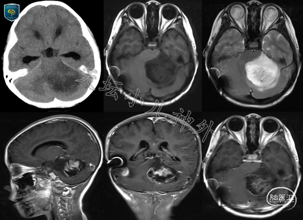
图1 头颅CT:左侧小脑半球团块状混杂密度影伴瘤周水肿,梗阻性脑积水;头颅MRI:左侧小脑半球、蚓部不规则团块影,长T1长T2,大小约63x36x52mm,不均匀强化,胶质瘤可能性大,梗阻性脑积水伴室旁水肿。
患儿左侧小脑半球占位伴梗阻性脑积水,手术指征明确,于2021年2月20日在全麻下行电生理监测-导航辅助下后正中左拐开颅肿瘤切除术。术前先行右侧额角脑室穿刺,颅压高、脑脊液喷出,持续引流;后颅窝硬膜剪开,见左侧小脑半球明显肿胀,经皮层造瘘,见肿瘤色灰红、质软韧不均、血供中等,大小约3x5x6cm,肿瘤起源于小脑半球,与脑干边界尚清晰、易游离;与颅神经有蛛网膜分隔,锐性游离,保护完好;贴近小脑幕处与岩静脉粘连紧密,仔细游离、妥善保护,肿瘤镜下全切。手术顺利,术中出血约200ml,输异体红细胞130ml,输血浆200ml,术后安返ICU监护。

图2 A. 肿瘤色灰红、质软韧不均、血供中等,贴近小脑幕处与岩静脉粘连紧密,仔细游离、妥善保护;B. 手术顺利,肿瘤镜下全切。
术后患儿神志清醒,状态好,当晚复查头颅CT及术后一周头颅MRI显示肿瘤切除满意(图3)。术后病理回报示:胶质母细胞瘤(WHO Ⅳ级);免疫组化:GFAP(散在少量+),Olig-2(+),Ki-67(约30%),IDH1(-),H3K27M(-),ATRX(+),P53(散在+),Syn(+),NSE(-),INI-1(+),BRG-1(部分+);基因检测:H3野生、IDH1/2野生、EGFR阴性、MGMT启动子甲基化阳性。整合诊断为:儿童型弥漫性高级别胶质瘤,H3及IDH野生型(CNS WHO 4级)。患儿术后恢复好,未见新增神经系统阳性体征(KPS:80分),术后两周顺利出院,继续后续标准治疗。

图3 术后当晚头颅CT、术后一周头颅MRI显示肿瘤切除满意。
02
【治疗体会】
后颅窝肿瘤在3-11岁儿童中高发[1],占儿童颅内肿瘤的45-60%[2]。最常见的是髓母细胞瘤(30-40%),其次是低级别胶质瘤(25-35%),脑干胶质瘤(20-25%),室管膜瘤(10-15%)[3]。
儿童小脑高级别胶质瘤极为罕见,仅见零星报道。我病房近10年手术治疗200余例儿童高级别胶质瘤,仅2例起源于小脑半球。美国德克萨斯儿童医院对国际多中心儿童小脑高级别胶质瘤50例进行meta分析[4],认为对肿瘤进行根治性切除是影响预后的首要因素;同时,儿童小脑高级别胶质瘤播散转移率较幕上高(约17-66%),因此建议术后仿照髓母细胞瘤进行改良性全脑脊髓放疗;但术后化疗效果并不明确。该组病例平均生存期(OS)约52.7个月,与我们之前报道的幕上型儿童高级别胶质瘤24.3个月的OS相比[5],生存期明显延长,预后良好。
本例患儿肿瘤切除满意,未见播散转移,推荐术后行全脑全脊髓放疗;基因检测提示MGMT启动子甲基化阳性,推荐替莫唑胺同步化疗;术后KPS 80分,肿瘤Ki-67约30%,预后相对良好,具体有待进一步随访。
·参考文献·
[1] Ostrom Q T, Gittleman H, De Blank P M, et al. American Brain Tumor Association Adolescent and Young Adult Primary Brain and Central Nervous System Tumors Diagnosed in the United States in 2008-2012[J]. Neuro Oncol, 2016, 18 Suppl 1(Suppl 1): i1-i50.
[2] Rickert C H, Paulus W. Epidemiology of central nervous system tumors in childhood and adolescence based on the new WHO classification[J]. Childs Nerv Syst, 2001, 17(9): 503-11.
[3] Brandão L A, Poussaint T Y. Pediatric brain tumors[J]. Neuroimaging Clin N Am, 2013, 23(3): 499-525.
[4] Reddy G D, Sen A N, Patel A J, et al. Glioblastoma of the cerebellum in children: report of five cases and review of the literature[J]. Childs Nerv Syst, 2013, 29(5): 821-32.
[5] 宫剑. 天坛小儿神外宫剑教授访谈:儿童型弥漫性高级别胶质瘤的解读与天坛诊疗策略[J]. 神外资讯, 2021.9: https://www.medtion.com/info/24167.jspx?t=1641354559





