

题目:
小脑后下动脉远端动脉瘤
Distal aneurysm harboring posterior inferior cerebellar artery
摘要:
45岁女性患者,突发后枕部疼痛伴有恶心呕吐3小时。造影显示小脑后下动脉动脉瘤,术中给予单纯弹簧圈栓塞及载瘤动脉闭塞术。
A forty-five years old female presenting with vomitting,headache with occipital pain for 3 hours was diagnosed with the poterior inferior cerebellar artery aneurysm, which was successfully treated with single coiling and parent artery occlusion.
KEY WORDS: Distal aneurysm , posterior inferior cerebellar artery
小脑后下动脉破裂动脉瘤的治疗包括手术夹闭和微创介入治疗两种方法。微创介入治疗的目标是尽可能保留载瘤动脉情况下栓塞动脉瘤,可采用单纯栓塞、支架辅助弹簧圈栓塞、弹簧圈结合胶、单纯胶栓塞法。在根据动脉瘤解剖位置、PICA解剖特点、侧枝循环代偿情况选择治疗方式。在本例患者中,术者采用单纯弹簧圈栓塞及载瘤动脉闭塞术治疗了一例小脑后下动脉动脉瘤,现报道如下。
病例简介
患者介绍
性别:女性
年龄:45岁
主诉:突发后枕部疼痛伴有恶心呕吐3小时
病史简介
既往史:-
查体:Hunt-Hess2级,WFNS I级
初步诊断
蛛网膜下腔出血
右侧小脑后下动脉远端动脉瘤
术前影像学检查
发病当天头颅CT提示蛛网膜下腔出血,出血以环池周边为主,右侧侧脑室后角少量积血

入院急诊DSA提示右侧小脑后下动脉远端动脉瘤,动脉瘤位于PICA蚓部分支



二维及三维重建提示动脉瘤形态不规则,可见瘤壁存在小泡凸起,瘤颈宽3.6mm,瘤高2.0mm,瘤体最大径2.5mm,未见血管明显痉挛

治疗方案
单纯弹簧圈栓塞动脉瘤+载瘤动脉闭塞
6F导引导管
0.035导丝(Terumo, Somerset)
弹簧圈微导管Echelon 10
0.014”微导丝Transcend platinum
弹簧圈Hydrosoft 2mm×8cm,Hypersoft 1.5mm×2cm
治疗过程
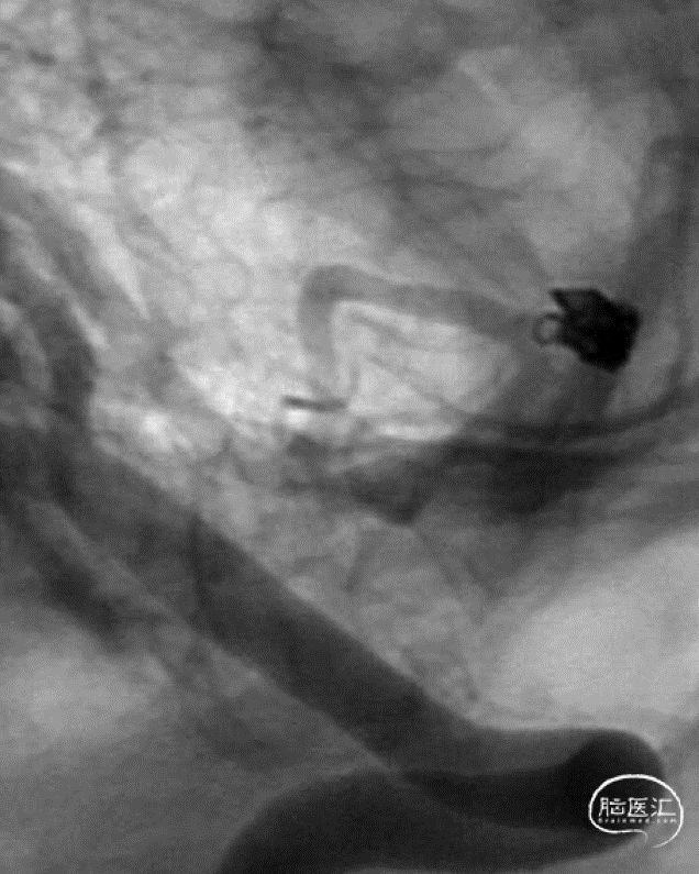
Echelon 10微导管到位

行单纯弹簧圈栓塞及载瘤动脉闭塞术。术后即刻造影提示动脉瘤不显影,载瘤动脉闭塞,侧枝代偿良好



术后情况
术后MRI未见新发脑梗,无新发神经系统阳性体征

预后和随访
1、术后即刻和术后一年临床随访:mRS 0。
2、影像学随访:一年后的随访影像显示动脉瘤完全不显影。
一年后的随访影像

讨论
1. 临床统计颅内的后循环动脉瘤约占在所有的颅内动脉瘤的10%。其中小脑后下动脉瘤临床上的发病率约占颅内动脉瘤的0.5%-3%,占后循环动脉瘤的11%-20%。而多数PICA动脉瘤位于PICA起始部(VA-PICA动脉瘤),其次发生于PICA的远端血管(也称为孤立的PICA动脉瘤),约占15%-30%[1-3]。
2. 该例患者为PICA远端动脉瘤,载瘤动脉扭曲纤细,无法采用支架辅助技术。PICA常与对侧或小脑表面其他血管吻合丰富,一侧PICA远端闭塞,不会导致明显神经功能障碍,且PICA远端一般无脑干分支,所以动脉瘤和载瘤动脉闭塞常常是安全的[4-6]。但应避免单纯采用液态栓塞材料进行血管内孤立术,液态栓塞材料容易弥散进入远端血管床,阻碍侧枝循环的供血从而导致更广泛的脑梗。
3. 对于PICA远端动脉瘤,准备行动脉瘤栓塞及载瘤动脉闭塞的,微导管的选择应更细更软,能兼顾弹簧圈填塞及打胶。在使用液体栓塞材料的时候,应尽量让胶留在原位,减少其向远端弥散。拔管时需注意防止把胶带到近端主干血管[7-8]。
PICA动脉瘤需要根据动脉瘤所处的位置以及PICA血管特征选择治疗方案。
本例患者的难点和重点:
术前需要仔细评估患者侧枝循环代偿情况来决定手术方式。
虽然说PICA常与对侧或小脑表面其他血管吻合丰富,一侧PICA远端闭塞,不会导致明显神经功能障碍,但还是需要在术前对患者侧枝代偿情况进行评估。PICA近端动脉瘤(前延髓段、外侧延髓段及扁桃体延髓段),因载瘤动脉可能存在脑干供血分支,故治疗上应尽量采取瘤内栓塞为主,可采用支架辅助栓塞技术。远端可使用弹簧圈或胶栓塞,但要注意胶弥散范围,尽量减少对分支的影响以及避免返流到近端主干或基底动脉。
闭塞载瘤动脉是迫不得已的选择,应为慎重。对于侧枝循环代偿不充分患者,应尽可能为患者实施脑血管重建术,避免严重并发症的出现。
PICA血管较为扭曲,尽量选择比较软的微导管,在超选远端血管时移位明显,应避免导丝穿破小血管导致出血,栓塞过程中需要随时调整导管的张力,避免动脉瘤的破裂,特别是小动脉瘤。

参考文献:
点评专家简介
刘建民
海军军医大学附属长海医院
主任医师,教授,博导
脑血管病中心主任,全军脑血管病研究所所长
国家卫健委脑卒中防治工程专家委员会秘书长
国家卒中中心管理专家委员会副主任
中国卒中专科联盟副主席
国家“百万减残工程”南方办公室主任
中国医师协会介入医师分会副会长
中国医师协会神经外科医师分会常务委员
中华医学会神经外科分会常务委员
全军神经外科专业委员会副主任委员
世界神经介入大会(WLNC)执委
2011世界颅内支架大会(ICS)主席
2016/2021 WLNC主席
东亚神经介入大会(EACoN)主席
脑医汇-神介资讯主编
作者简介
李子付
海军军医大学附属长海医院
脑血管病中心副主任医师,博士,师从刘建民教授
国家脑防委优秀中青年专家
上海市脑卒中学会流行病学与预防诊治学组委员
上海市社会医疗机构协会神经外科分会委员
专业方向:脑血管病微创介入治疗
目前主持参与国家级省部级课题6项,上海科技进步奖一等奖1项,发表SCI论文14篇,核心期刊20余篇,参与专著编写5部







