2022年03月29日发布 | 1336阅读

一文读懂:脑静脉血栓的形成

胡业帅

中国中医科学院望京医院

达人收藏

脑静脉血栓形成是脑卒中的重要原因,尤其是在儿童和年轻人中。


它比以前认为的更常见,而且在最初的成像中经常被忽略。


这是一个困难的诊断,因为它的非特异性的临床表现和微妙的影像学表现。


在本文中,我们将重点讨论:

1.常规影像学检查的结果应该能让你想到未被怀疑的静脉血栓形成。

2.如何对疑似静脉血栓形成患者进行成像。

3.陷阱。


脑静脉血栓形成按降序排列在以下静脉结构中:

⭕️主要硬脑膜窦:
上矢状窦、横窦、直窦和乙状窦。


⭕️皮质静脉:

▶️Labbe静脉,引流颞叶。

▶️Trolard静脉,是最大的皮质静脉,流入上矢状窦。


⭕️深静脉:
▶️大脑内静脉和丘脑纹状静脉。

▶️海绵窦

临床上出现脑静脉血栓形成的患者,症状多样,从头痛到癫痫、严重昏迷。


在新生儿中,休克和脱水是静脉血栓形成的常见原因。


在年龄较大的儿童中,通常是局部感染,如乳突炎或凝血障碍。


在成人中,凝血障碍是70%的病因,感染是10%的病例的原因。


在妇女中,口服避孕药具的使用和怀孕是严重的危险因素。



静脉血栓形成有一个非特异性的表现,因此,重要的是认识微妙的影像学表现和间接征象,可能表明血栓的存在。
虽然这些发现通常出现在最初的扫描中,但它们通常只在回顾时才被发现。
临床上静脉血栓形成患者常伴有癫痫发作,这不是动脉梗塞患者的症状。

在常规的非增强MR或CT上,当你看到以下情况时,你应该考虑静脉血栓形成的可能性:

⭕️血栓的直接征象

⭕️非动脉性梗死,尤其双侧和出血性梗死

⭕️皮质或外周脑叶出血

⭕️皮质水肿



在非增强CT扫描上直接显示大脑静脉中的血栓称为致密征


只有三分之一的病例出现这种情况。


正常情况下,静脉的密度略高于脑组织,在某些情况下,很难说静脉是正常的还是过密的(见陷阱)。


在这种情况下,需要增强扫描来解决这个问题。下图致密三角征。



下图 可见血栓形成的皮质静脉呈线状或绳状高密度,也称为致密线征。



下图为颞叶出血性脑梗死(红色箭头)。注意血栓形成引起的致密横窦(蓝色箭头)。



空三角征是在CT增强扫描(CECT)上发现的,首次被描述为上矢状窦血栓形成。


该征由一个三角形强化区和一个相对较低的衰减中心组成,可能的解释是静脉窦周围丰富的硬膜静脉侧支循环增强。


在早期血栓形成中,空的三角征可能不存在,你将不得不依赖于在CECT上血栓形成的静脉的非可视化。


由于血栓内再通,症状可能在两个月后消失。



下图为右横窦和左横窦及乙状窦(箭头)血栓形成。血栓周围有强化。



MR血管流空消失

在自旋回波图像上,未闭脑静脉通常会表现出低信号强度,因为流空。


流空在T2加权图像和FLAIR图像上最常见,但有时也可以在T1加权图像上看到。


血栓表现为流空的消失,信号增高。


虽然这不是一个完全可靠的迹象,但它往往是第一件事,让你想到静脉血栓形成的可能性。


下一步必须进行对比增强检查。


下图为T2加权图像,右乙状窦和颈静脉血流正常(蓝色箭头)。


左侧有异常的高信号,这是血栓形成的结果(红色箭头)。



下侧图像在T1加权图像上显示血栓形成所致的异常高信号。


血栓形成从大脑深静脉和直窦延伸到右侧横窦和乙状窦。


注意右下图像左侧横窦的正常流空。


MR图像上正常流空消失对检测静脉血栓形成有很大帮助,但也有一些缺陷,我们将在后面讨论。


缓慢的血流可能发生在静脉,并导致T1高强度。



静脉梗塞

另一个可以帮助你诊断不明静脉血栓形成的迹象是静脉梗塞。


静脉血栓形成导致静脉高压,首先导致受影响区域白质的血管源性水肿。


当这一过程继续下去时,可能会导致梗死和紧随血管源性水肿的细胞毒性水肿的发展。


这与动脉梗塞不同,动脉梗塞中只有细胞毒性水肿,没有血管源性水肿。


由于静脉高压,静脉梗塞较动脉梗死多见出血。


由于我们对静脉梗塞不太熟悉,我们通常认为静脉梗塞是非典型部位或非动脉分布的梗死。


然而,静脉梗塞确实有一个典型的分布,如下图所示。



由于许多静脉是中线结构,静脉梗死往往是双侧的。


这见于上矢状窦、直窦和大脑内静脉血栓形成。


最常见的静脉血栓是上矢状窦。75%的病例可见梗死。


异常为矢状位旁,多为双侧。60%的病例出现出血。


下图 1例上矢状窦血栓形成患者双侧梗死。



下图 上矢状窦血栓所致双侧矢状窦旁出血患者的矢状位CT图像。


增强图像上的红色箭头显示血栓所致的充盈缺损。



另一个典型的静脉梗塞是由于Labbe静脉血栓形成。


下图 左侧颞叶白质密度低,右侧颞叶不明显。


广泛的鉴别诊断包括动脉梗塞、感染、肿瘤等。



注意梗死区有一些线性高密度,这是出血造成的。


左横窦(箭头)区域的细微密度是诊断的关键。


这是血栓形成的直接迹象,下一步是CECT,证实诊断(未显示)。


下图 一位颞叶出血患者的图像。



当梗死的出血性成分很大时,它可能看起来就像任何其他伴有血管源性水肿的脑内血肿。


这个病例的诊断线索是在增强图像上看到的,它很好地显示了乙状窦的充盈缺损(蓝色箭头)。


下图 有血管源性水肿(红色箭头),细胞毒性水肿和出血(蓝色箭头)。


这些发现和位于颞叶的位置,应该会让你想到由Labbe静脉血栓所致的静脉梗塞。下一次检查应该是增强的MR或CT,以证明诊断。



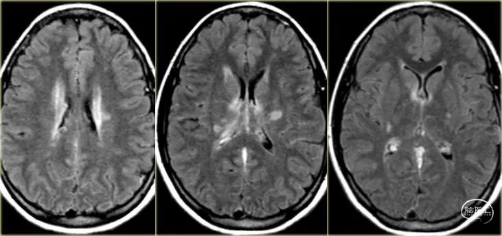
脑深静脉栓塞

下图左显示左侧丘脑的高信号。


当你仔细观察时,右侧基底节区也有高信号。


这些双侧发现应引起对脑深静脉血栓形成的怀疑。


矢状位CT重建显示直窦和Galen静脉(箭头)有充盈缺损。



下图是双侧基底节区异常的年轻患者。


根据影像学表现,有一个广泛的区别,包括小血管疾病,脱髓鞘,中毒和代谢紊乱。



注意大脑内静脉和直窦的异常高信号在T1加权图像上。



诊断为深静脉血栓所致基底节双侧梗死。


在一些静脉血栓形成的病例中,影像学表现可以完全消失。


下图是皮质下高信号的病人。


第一印象是这可能是一个低级别的胶质瘤。



经随访扫描,异常情况已完全解决。


回顾观察,其中一条皮质静脉可见致密血管征,并对静脉血栓形成作出诊断。


高信号可归因于血栓形成所致的高静脉压所致的血管源性水肿。


CTV

CT静脉造影是一种简单而直接的显示静脉血栓形成的技术。
在早期血栓栓塞的静脉无强化的,在后期有无强化的血栓、周围强化称为空三角征,如前面所讨论的。


与MR不同的是,CT静脉造影几乎没有任何缺陷。


你唯一不想做的事情,就是太早扫描,即在静脉增强之前或太晚,即当对比消失时。


有些人主张像CT动脉造影那样做一次扫描,只需增加5-10秒的延迟。


为了安全起见,我们主张在注射造影剂开始后延迟45-50秒。我们使用至少70 ml的对比剂。


下图,一些CT静脉造影的图像显示许多静脉窦血栓形成。


下图 在Labbe静脉区发生梗死的患者。


在非增强图像上,你可以看到横窦内的致密血栓和梗死区的出血。


增强图像显示横窦内可见充盈缺损。





磁共振静脉造影MRV

用于诊断脑静脉血栓形成的MR技术有:
时间飞跃(TOF)、相位对比(PC)和增强磁共振静脉造影。

当您查看重建图像时,请始终查看源图像。

下图 相位对比血管造影的横断MIP图像。



右横窦和颈静脉由于血栓形成而无信号。


下图为正常对比增强MR静脉造影的侧位和斜位MIP图像。


注意Trolard(红色箭头)和Labbe(蓝色箭头)的突出静脉。


每一种技术都有自己的缺陷,我们稍后会讨论。


对比增强MR静脉造影有一个缺点,你需要静脉注射对比剂,但缺陷
较少



DSA

只有在严重的情况下,当计划介入时才进行血管造影。


一位静脉血栓形成患者的左侧图像,有血栓形成上矢状窦(红色箭头),直窦(蓝色箭头)和横向和乙状窦(黄色箭头)。



更多精彩内容 请关注作者

声明:脑医汇旗下神外资讯、神介资讯、脑医咨询、AiBrain所发表内容之知识产权为脑医汇及主办方、原作者等相关权利人所有。未经许可,禁止进行转载、摘编、复制、裁切、录制等。经许可授权使用,亦须注明来源。欢迎转发、分享。

最新评论
发表你的评论
发表你的评论
关键词搜索