一一
概 述
脑静脉窦狭窄-闭塞病变相对少见,血栓是最常见原因,其他包括特发性颅高压横窦狭窄、肿瘤压迫/浸润、医源性等。这些脑静脉窦狭窄-闭塞常会引发神经系统病症,某些情况下需要进行血管内介入治疗,支架植入即是其中一种的介入治疗方法。
虽然目前还没有针对脑静脉窦病变设计的专用支架,但据文献报道,有多种类型自膨式外周支架,甚至是球囊扩张支架,可被用于脑静脉窦狭窄-闭塞病变介入治疗,其中绝大多数是选择开环式设计的自膨式支架。
Wallstent颈动脉支架是波科公司多年前出品的一款经典外周支架,采用少有的钢丝编织闭环设计,这有别于其他激光雕刻支架(闭环或开环设计);其输送时顺应性极佳,Wallstent支架释放后管腔形态规整,导丝导管等介入器械非常容易通过其间,便利于后续的介入操作;因被广泛应用于治疗颈动脉狭窄病变,而为神经介入医生所熟悉。
奇怪的是,仅有极个别文献报道过使用Wallstent支架治疗脑静脉窦狭窄-闭塞病变;在国内学术交流中,几乎没有听过有术者选择Wallstent支架治疗脑静脉窦疾病。因此,近年来,笔者于多例患者中尝试使用Wallstent支架治疗脑静脉窦疾病,主要是脑静脉窦血栓和特发性颅高压横窦狭窄,均获得了成功,现将此方面一些不成熟的经验和心得介绍如下。
二
特发性颅高压横窦狭窄
特发性颅高压是指:经充分评估后,仍然不能明确具体原因的颅内压增高。好发于育龄期肥胖女性,尤其是近期体重急剧增加者。普通人群发病率:0.9/100000/年;育龄期肥胖女性发病率:19.3/100000/年。临床表现有:头痛、视力障碍、搏动性耳鸣、视乳头水肿等(Lancet Neurol 2016; 15: 78–91)。
当前特发性颅高压的最佳治疗策略还未完全明确,具体治疗包括:
(1)减轻体重;
(2)药物治疗:乙酰唑胺(减少脑脊液分泌)、托吡酯等;
(3)非药物干预:降低颅内压操作或手术(治疗性腰穿和脑脊液分流术)、视神经鞘减压术(挽救视力)、脑静脉窦狭窄部位支架植入(降低脑静脉窦内压力)等。
近十年来,随着静脉成像技术的进步和认识的加深,发现大多数特发性颅高压患者脑静脉窦系统存在解剖形态学异常;其中最引人关注的是优势侧或双侧横窦狭窄。有学者认为横窦狭窄可能是特发性颅高压患者颅内压增高的可能机制,也是潜在的治疗靶点(证据:横窦狭窄处支架植入后,大部分患者症状改善)。
当保守治疗失败时,采用血管内介入方法于横窦狭窄处植入支架是一治疗选择,约80%患者在支架植入后症状能得到缓解;但在支架植入前必须行静脉窦压力测定,当横窦狭窄两侧压力差大于10mmHg时,方可考虑支架植入。
病例1:单侧横窦狭窄支架植入
女,19岁。
主诉:反复一过性双眼发黑、视物模糊、头痛1月余。
简要病史:患者于1个多月前,无明确诱因下出现一过性双眼发黑症状,当地医院考虑“视神经炎”,予激素治疗后,仍有头痛。后于眼科就诊,左眼视力0.2,右眼视力1.0。其后,又在市级和省级医院诊治,多次腰穿脑脊液压力均显著增高(390-420mmH2O),予抗凝、脱水降颅压治疗后症状无明显改善。
既往史、个人史和家族史无特殊。
此次入院后,腰穿脑脊液压力 350mmH2O;
眼科检查:左眼视力0.2,右眼视力1.0,双侧视乳头水肿,引流静脉增粗迂曲。


增强MRV示:左侧横窦、乙状窦和颈内静脉显影不清,右侧横窦粗大,近端管腔严重狭窄(橙箭)。
入院后经充分诊断评估,未发现颅内压增高的明确原因。
临床诊断:
1、特发性颅高压
2、颅高压相关视力损害
3、右侧横窦狭窄
4、左侧横窦发育不良
介入治疗过程


经颈动脉造影静脉相:左侧横窦未见显影,左侧乙状窦和颈内静脉显影纤细;右侧横窦粗大,近端严重狭窄(红箭)。

采用同轴技术将6F长鞘(Cook,90cm)头端送至右侧颈内静脉远心端,经.014”微导丝(HI-Torque Command,300cm)将微导管(Renegade HI FLO 2.7-3.0F,135cm,波科)送至上矢状窦中前部,逐步回撤造影和测压;造影见右侧局部横窦狭窄,狭窄两侧压力差16mmHg。

蓝箭所指是6F长鞘;用.035”泥鳅导丝将中间导管(Navien 072,115cm)送至乙状窦(橙箭);微导管配合下,将微导丝头端送至上矢状窦中前部;经微导丝将球囊(6.0*20mm)送至右侧横窦狭窄处(黄箭),经颈动脉造影静脉相显示定位准确后,以6atm压力扩张狭窄部位。


上述的球囊在负压下沿微导丝送至上矢状窦后部,以此为支撑,将中间导管头端推送至右侧横窦远心侧(橙箭),撤出球囊;沿微导丝将Wallstent支架(7.0*40mm,波科)通过中间导管送至右侧横窦狭窄处(白箭),造影证实定位准确。


逐步缓慢回撤中间导管和释放支架,期间需经颈动脉造影静脉相观察支架位置(白箭)是否准确。



造影显示支架释放位置准确,展开良好,原右侧横窦狭窄已消失,管腔通畅。

再次微导管造影和复测压力:右侧横窦支架植入处两侧压力差1.5mmHg。




术后第2日,颅脑CTV:右侧横窦内支架展开形态良好(红箭),管腔通畅。
术后第4日,腰穿脑脊液压力:150mmH2O。
病例2:双侧横窦狭窄支架植入
女,29岁。
主诉:右眼视力下降1月余
简要病史:患者1月前自觉较左眼相比右眼视力下降,偶有头部胀痛感。外院查眼底提示双眼视乳头水肿;
门诊MRV:双侧横窦管腔变窄。一周前外院腰穿脑脊液压力超过330mmH2O。
既往史、个人史和家族史无特殊。

眼底照相:双侧视乳头水肿,引流静脉充血扩张。


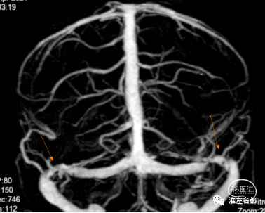
CTV示:双侧横窦局部管腔严重狭窄(橙箭)。
入院后经充分诊断评估,未发现颅内压增高的明确原因。
临床诊断:
1、特发性颅高压
2、颅高压相关视力损害
3、双侧横窦狭窄
介入治疗过程

微导管静脉逆行造影和测压:右侧横窦近端局部管腔重度狭窄,狭窄两侧压力差是14.8mmHg。

微导管静脉逆行造影和测压:左侧横窦近端局部管腔重度狭窄,狭窄两侧压力差是15mmHg。

球囊扩张(6.0mm*30mm,6atm)左侧横窦狭窄,而后球囊导管支撑下将中间导管Navien 072头端推送到左侧横窦远端(橙箭)。

经中间导管Navien 072将Wallstent颈动脉支架(7mm*50mm,橙箭)送至左侧横窦,并造影定位。

逐步缓慢回撤中间导管和释放支架,过程中需给支架释放柄杆一个向前的推送张力,以防止回撤支架外鞘时支架位置后移,因此释放支架过程中可见支架杆位置会向前不同程度移位(橙箭)。


造影显示支架释放位置准确,支架展开形态良好,原左侧横窦狭窄已消失,管腔通畅。

再次微导管造影和复测压力:左侧横窦支架植入处两侧压力差0.74mmHg。

球囊扩张(6.0mm*30mm,6atm)右侧横窦狭窄,而后球囊导管支撑下将中间导管Navien 072头端推送到右侧横窦远端(橙箭)。

以前述方法于右侧横窦狭窄处植入一枚Wallstent支架(7mm*50mm,橙箭)。


造影显示支架释放位置准确,支架展开形态良好,原右侧横窦狭窄已消失,管腔通畅。


术后第2日,复查CTV示:双侧横窦内支架展开形态良好(红箭),管腔通畅。
术后一周腰穿压力:210mmH2O
术后一个月腰穿压力:147mmH2O

术后8个月,复查CTV示:双侧横窦管腔正常通畅。






