
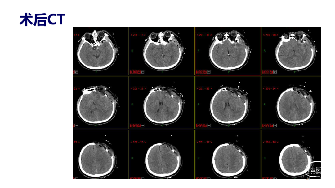
今天为大家分享的是《监测有道丨颅脑创伤-神经重症周刊》第261期,由上海交通大学医学院附属仁济医院冯军峰副主任医师带来的:开放性脑外伤伴眶周复杂骨折救治一例,欢迎观看、阅读。



















































作者简介
冯军峰 副主任医师
上海交通大学医学院附属仁济医院
研究员、副主任医师、博士研究生导师 上海交通大学医学院附属仁济医院颅脑创伤中心主任 上海交通大学医学院附属仁济医院神经外科副主任 中华医学会创伤学分会学组委员 上海市医学会创伤分会青年委员 上海市医学会神经外科分会青年委员 专注于颅脑创伤、神经重症相关临床手术及综合救治,开展脑损伤保护和神经修复再生研究。获国家自然科学基金4项、授权专利12项、发表21篇SCI论文





