
病情摘要
患者,女性,50岁。
主诉:右面部麻木1年。
查体:双侧外耳道畅,鼓膜完整,标志清。电测听:右 AC21dB、BC21dB;左 AC18dB、BC18dB (见图)。温度试验提示:右侧半规管功能减弱。意见:双耳听力暂未见明显下降,右侧前庭功能减弱。

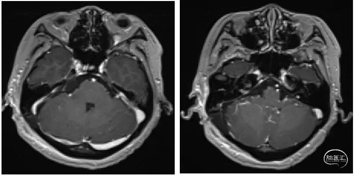
术前影像




术前T1增强序列示:肿瘤位于桥小脑角处,不均匀强化伴囊性变。
手术步骤

右侧CPA入路,释放脑脊液,充分暴露肿瘤。

QEVO超微观察镜辅助探查内听道(术野盲区),发现残余肿瘤。

根据QEVO超微观察镜的探查结果,术者对内听道内盲区肿瘤再次清除。


QEVO超微观察镜再次辅助探查确认肿瘤全切,保证手术效果。


专家体会
该患者内听道后唇气化严重,为减少脑脊液漏而不做内听道磨除的情况下,内镜观察内听道内肿瘤情况必不可少。而QEVO相对于传统内镜更加轻便小巧,操作更加便捷。
QEVO超微观察镜比较小巧,非常方便在显微镜下直接操作,术中在显微镜视野下辅助探查术野盲区,为保障更好的手术效果提供了很好的帮助。这种真正意义上一体化式显微镜结合内镜的手术方式在一些涉及孔隙结构的颅底肿瘤、深部不规则或被遮挡的病灶处理时具有独特的优势。
术后影像

病人情况
专家简介

朱巍 教授




