患者基本信息
男,46岁,右利手
入院主诉:头痛头晕,检查发现脑血管畸形10余日
既 往 史:无
现 病 史:患者于入院前10余日无明显诱因突发右侧头部钝痛,伴有头晕,于外院行头部MRI提示右颞脑动静脉畸形,现为求进一步明确诊治来我院。
入院查体:(-)
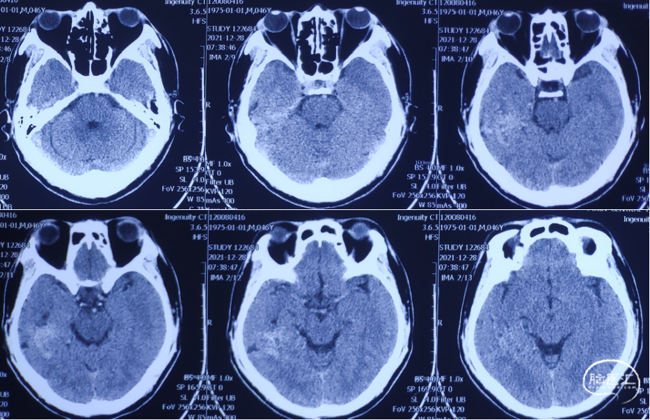
术前CT

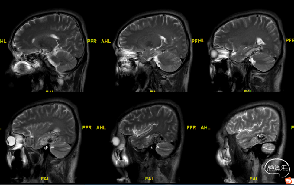
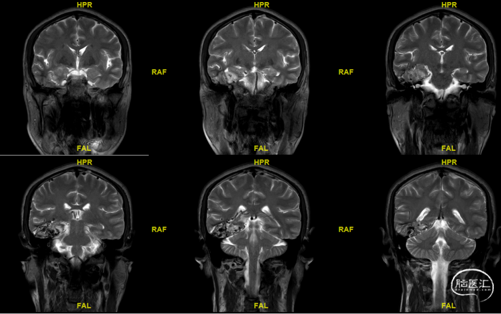
术前MRI



诊疗计划
入院诊断:右颞底AVM
诊疗计划:行DSA造影,明确AVM供血动脉及回流静脉。
DSA-R-ECA-脑膜中动脉


DSA-R-MCA-颞前动脉


DSA-R-VA-颞叶下动脉


颞叶动静脉畸形病变位置不同,大脑中动脉和大脑后动脉的供血情况也不同。
大脑中动脉近端主干(M1段)有两支供应颞极的早期分支:颞极动脉,颈内动脉分叉远端;颞前动脉,大脑中动脉分叉近端。这两个分支均起源于M1段的下表面,提供大多数前内侧颞叶AVMs的血供。
M1的分叉部分为三种类型:
①分成上干(额支)和下干(颞支)两支;
②分成上、中、下三干;
③分成多干。
下干进入外侧裂,延续为M2(脑岛段)和M3(岛盖段)。然后自外侧裂发出成为M4段皮层支。这些皮层支从前往后包括:颞中动脉,颞后动脉,颞枕动脉,角回动脉。这些分支统一称之为颞叶上动脉。
起自大脑后动脉(PCA)的颞叶后部动脉,发出以下分支供血到颞叶内侧面和底面:海马动脉发自于大脑脚池和环池,供应钩回、海马旁回前部、海马及齿状回。颞叶后部动脉分成前、中、后三支,可以是独立的三支,或是发自同一根主干,供应颞叶底面。这些分支统一称为颞叶下动脉,分布于颞叶底面并供血颞中回。
根据AVMs的位置分布,其引流静脉非常多变,可以引流到不同的浅静脉及深静脉系统。颞叶外侧面AVMs的引流静脉常常向下引流,然后汇入Labbe静脉,最后流向横窦。颞叶内侧面和底面的AVMs常常引流至直窦,罕见引流至蝶窦、岩窦或居中的基底静脉。颞叶浅静脉引流侧裂表层的AVMs。
诊 疗 计 划
●术前诊断:右颞底面AVM
供血动脉:R-ECA-MMA供血畸形团底面
R-颞前动脉供血畸形团前方
R-颞叶下动脉供血畸形团后、下方
回流静脉:直窦(主回流),深部引流
R-Labbe静脉,浅部引流
●诊疗计划:
一期介入栓塞:栓塞AVM中高流量瘘,栓塞深部供血动脉
二期开颅切除:AVM畸形团
●在国内外许多神经外科中心建立复合手术室后,对于复杂AVM多数中心采取同期介入栓塞+手术切除的策略,但无论是从手术麻醉时长增加、术中抗凝药物应用,还是术后过度灌注损伤出血,复合手术在AVM治疗中仍存在诸多需进一步研究的难点。
●哈医大一院史怀璋教授团队,最早提出AVM分期杂交、复合手术的概念,拿手术次数换取手术安全性,通过分期治疗策略的设定,即一期行AVM中高流量瘘及手术中难以控制的深部供血动脉的栓塞,二期待血流灌注适应后,再行复合开颅切除以最安全并最大程度达到治愈目的,此时复合手术以术中判断AVM界面,术后判断有无畸形团残余为主要目的。
高流量瘘栓塞



深部供血栓塞



栓塞术后CT

诊疗计划
●术前诊断:右颞底面AVM
供血动脉:R-ECA-MMA供血畸形团底面
R-颞前动脉供血畸形团前方
R-颞叶下动脉供血畸形团后、下方
回流静脉:直窦(主回流),深部引流
R-Labbe静脉,浅部引流
●诊疗计划:二期开颅切除AVM畸形团
●手术入路:右颞枕马蹄形皮瓣
●手术要点及注意事项:术前腰大池引流放液控制颅压,骨窗至中颅窝底,开颅保护Labbe静脉(浅部回流),术中电生理监测,超声判断畸形团边界,复合DSA造影判断AVM切除程度。
DTI-视辐射

理解AVM六面体结构

体位及切口

手术视频

患者术后无新发神经功能缺失,视力视野无缺失。
术后CT(术后第一天)

术后MRI


手术体会
一
分期杂交,一期将AVM高流量瘘及深部供血动脉栓塞,避免AVM内部栓塞(不同于单纯介入手术治疗AVM)后二期切除困难,同时也避免了回流静脉的损伤。
二
深刻理解AVM畸形团“六面体”构造。该患者颞叶底面(颈外动脉硬膜支供血),颞下回外侧面(薄层脑组织)属于易于显露和控制的界面。
三
为显露颞底面,术前腰大池引流,头位略下垂,术中骨窗磨至颅底,电凝硬膜供血时留有安全距离,避免硬膜撕脱。
四
术中造影证实AVM残余后进行补充切除,复合手术的优势。
更多精彩内容 请关注作者








