
引言
神经介入医生一直以来为了妥善处理分叉部复杂动脉瘤绞尽脑汁,创造了诸如Y型支架、T型支架、Flow-T型支架、冰淇淋技术等各具特色的方法。各种针对这类动脉瘤的新型器械也在不断进入视野。
抛开理论回到现实工作中,由于患者血管条件、病变情况以及经济条件,常常会遇到需要分期手术的场合。而当第一期手术释放的支架在有意或无意中影响到第二期手术的入路时,对术者在二期手术中的策略制定和操作技术就形成了巨大的挑战。
本次展示两个病例,均是在一期手术中支架落点过高,干扰到了二期治疗分叉部复杂动脉瘤的入路,最后穿网眼释放支架,与一期释放的支架成T型支架化险为夷。抛砖引玉,供大家参考。
“病例一” 大脑中动脉分叉部
患者:女性,51岁
主诉:发现右侧大脑中动脉动脉瘤1月余。
现病史:1月前,患者右侧大脑中动脉狭窄入院,脑血管造影见局限性狭窄约80%,同时其分叉部为三干变异,中干与下干支之间动脉瘤形成。一期治疗行右侧大脑中动脉支架置入术治疗血管狭窄。手术顺利,患者病情平稳后出院。术后1月余,行二期治疗,支架辅助弹簧圈栓塞右侧大脑中动脉分叉部动脉瘤。
既往史:高血压病史2年,不规律服用降压药。
查体情况:意识清楚,左侧肢体肌力正常。


颅脑DSA-3D成像
临床诊断:右侧大脑中动脉分叉部宽颈动脉瘤;右侧大脑中动脉狭窄支架植入术后。
动脉瘤尺寸:2.12*1.95mm

患者动脉瘤瘤颈累及M1分叉部中、下两个干支;且患者阵发性头痛加重,动脉瘤破裂出血的风险较高,需要手术干预。该动脉瘤属相对宽径,单纯弹簧圈栓塞,弹簧圈易脱出,需支架辅助。病人选择支架辅助弹簧圈栓塞治疗技术。
患者一期治疗使用Neuroform EZ支架重塑右侧大脑中M1狭窄段,但支架远端定位落于中干,紧邻动脉瘤开口处,故封堵动脉瘤瘤颈的支架只能穿过第一枚支架的网孔释放于下干支。
为充分保护分支血管使手术顺利进行,拟释放一枚LEO+Baby支架于下干支,与Neuroform EZ支架形成“T型”,既能很好地保护瘤颈,也能避免做“Y型”时支架交叉及重叠区域打开不良。
选择具有较高金属覆盖率且没有无效工作端的LEO+Baby编织型支架,能为术者提供更多的操作空间,更好完成支架近端定位;同时其高的金属覆盖率可降低复发可能。


术前抗栓方案:常规双抗管理。
手术方案:LEO+Baby支架与前期治疗狭窄的Neuroform EZ支架成“T型”辅助栓塞动脉瘤。
1. 以Seldinger技术经右侧股动脉穿刺,造影后选取工作位并建立路径图。
2. 穿Neuroform EZ支架网孔,将支架微导管及弹簧圈微导管分别超选到位。
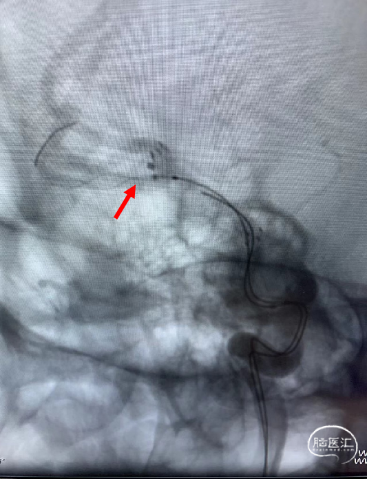
3. 支架平行全释放后填圈。
支架微导管到位后,释放支架。

支架释放后,送入首枚2*4的弹簧圈栓塞动脉瘤。

送入第二枚1.5*2的弹簧圈致密栓塞动脉瘤。

术后造影显示动脉瘤致密栓塞,不再显影;其它各分支血管通畅。

术后造影模拟血管重建显示支架头端完全覆盖动脉瘤瘤颈,并且与一期释放的支架远端形成“Kissing”。

支架:LEO+Baby支架2.5*12mm
弹簧圈:2*4-2D、1.5*2-2D
微导管:0.017英寸弹簧圈微导管2条
微导丝:Synchro14
导引导管:6F
术中:支架释放前后各团注欣维宁10ml,并6ml/h泵注维持至术后双抗起效重叠6小时。
术后:常规双抗100mg阿司匹林+75mg氯吡格雷管理3个月,单抗管理不低于6个月。
术后患者恢复良好出院,无明显神经系统症状。
“病例二” 颈内动脉分叉部
患者:女性,45岁
主诉:左侧颈内动脉瘤介入栓塞术后8个月复查,行二期治疗。
现病史:8月前,患者因头痛1年,发现颅内动脉瘤半月入院,DSA造影显示左侧颈内后交通动脉瘤及左侧颈内动脉分叉部动脉瘤,考虑到患者经济状况,决定先行Solitaire支架下弹簧圈栓塞治疗位于左侧颈内动脉后交通段动脉瘤,支架自大脑中动脉M1放至颈内动脉近端。手术顺利,患者病情平稳后出院。术后8月余,行二期治疗,支架下弹簧圈栓塞左侧颈内动脉分叉部动脉瘤。
查体情况:意识清楚,肢体肌力正常。



颅脑DSA
临床诊断:左侧颈内动脉分叉部宽颈动脉瘤;左侧颈内动脉后交通动脉瘤支架辅助栓塞术后。
动脉瘤尺寸:2.7*2.1mm
患者动脉瘤位于颈内动脉分叉部,部分瘤颈累及A1;动脉瘤破裂出血的风险相对较高,需要手术干预。该动脉瘤属宽颈,单纯弹簧圈栓塞,弹簧圈易脱出,需支架辅助栓塞。病人选择支架下弹簧圈栓塞治疗技术。
患者一期使用Solitaire支架治疗同侧颈内交通段动脉瘤,且支架远端落点位于M1段。根据前期治疗情况,有两种支架释放方案:
A:支架整段释放于左侧大脑前A1段,与一期释放的支架呈“T”型,难点在于支架近端落点的精准把握。
B:支架头端释放于A1段,尾端落于颈内段,与一期释放的支架呈“Y”型。缺点是支架在交叉及重叠区域打开不良导致血栓事件发生的可能性大。
为充分保护分支血管使手术顺利进行,拟选择A方案,使置于A1段的支架与一期释放的支架呈“T”型,如此既能很好地保护瘤颈,也能避免做“Y型”时支架交叉及重叠区域打开不良;选择具有较高金属覆盖率且没有无效工作端的LEO+Baby编织型支架,能为术者提供更多的操作空间,更好完成支架近端定位;同时其高的金属覆盖率可降低复发可能。


术前抗栓方案:常规双抗管理。
手术方案:穿网眼释放LEO+Baby支架与一期释放的支架形成T型,辅助弹簧圈栓塞。
1. 以Seldinger技术经右侧股动脉穿刺,造影后选取工作位并建立路径图。
2. 穿Solitaire支架网孔,将支架微导管及弹簧圈微导管分别超选到位。
3. 支架半释放后填圈。
支架微导管及弹簧圈微导管到位。

支架释放后,送入首枚2*4 2D的弹簧圈栓塞动脉瘤。

支架全释放。

支架全释放后送入第二枚1.5*2-2D弹簧圈。

术后造影显示动脉瘤致密栓塞,各分支血管血流通畅。



术后双容积成像显示支架头端完全覆盖动脉瘤瘤颈,并且与Solitaire支架形成“Kissing”,“T型”形成。


支架:LEO+Baby支架2.5*12mm
弹簧圈:2*4-2D、1.5*2-2D
微导管:0.017英寸弹簧圈微导管2条
微导丝:Synchro14
导引导管:6F
术中:支架释放前后各团注欣维宁各10ml,并6ml/h泵注维持至术后双抗起效重叠6小时。
术后:继续常规双抗100mg阿司匹林+75mg氯吡格雷管理3-6个月。
术后患者恢复良好出院,无明显神经系统症状。
1. “T型”支架技术关键点在于短支架近端落点一定要精确,在相对平直的血管,系统张力容易控制,支架打开更容易;而在相对迂曲的血管中,应给予操作系统高的支撑力,便于支架释放时张力的调整。
2.LEO+Baby支架没有无效工作段,能为支架释放节省空间,且操作相对其它编织支架更简单。
3. LEO+Baby支架具有较好的支撑性和顺应性,能更好地贴壁,并可通过张力改变支架形态,有利于做“Y型”或“T型”等技术。
4. 使用编织支架做T型技术,应仔细评估支架短缩情况且使用前后需要进行积极抗栓。
朱刚
陆军军医大学第一附属医院(西南医院)
神经外科副主任,教授,主任医师,博士生导师
中华医学会神经外科分会介入学组委员
中国医师协会神经外科分会介入专家委员会委员等职
中国研究型医院学会脑血管病专家委员会副主任委员
重庆市2021年度“名家名师”
重庆市医师协会神经介入学会会长
重庆医学会神经外科专委会副主任委员
从事神经外科临床与科研工作30余年,颅脑创伤及脑血管病诊疗领域专家,连续四年入选中国名医百强专家,擅长颅内动脉瘤、颅内血管畸形、缺血性脑血管病、颈动脉海绵窦瘘等脑/脊髓血管病变的微创外科手术及介入治疗
缪洪平
陆军军医大学第一附属医院(西南医院)
教授,副主任医师
从事脑血管疾病介入治疗十几年,主要擅长脑动脉瘤、脑血管畸形、动静脉瘘的介入治疗,在朱刚主任指导下,年颅内介入手术量超500台
在国内外期刊发表文章30余篇,参编书籍一部
获得教育部科技进步一等奖一项
![]()







