病情介绍
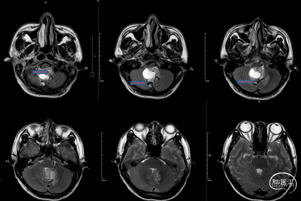
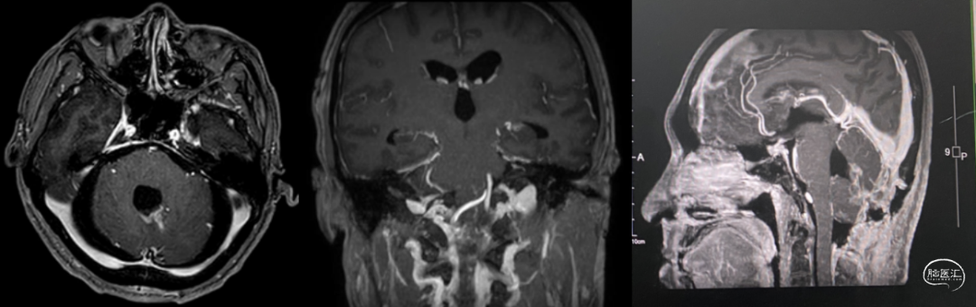
术前MRI:T2显示瘤周大量流空信号影,Flair显示左侧瘤周水肿边界欠清。

T1增强显示肿瘤血供非常丰富,有粗大引流静脉向窦汇及直窦引流。

DSA:显示肿瘤主要由PICA及SCA分支供血,单支向上向窦汇引流。


术中所见

术后情况
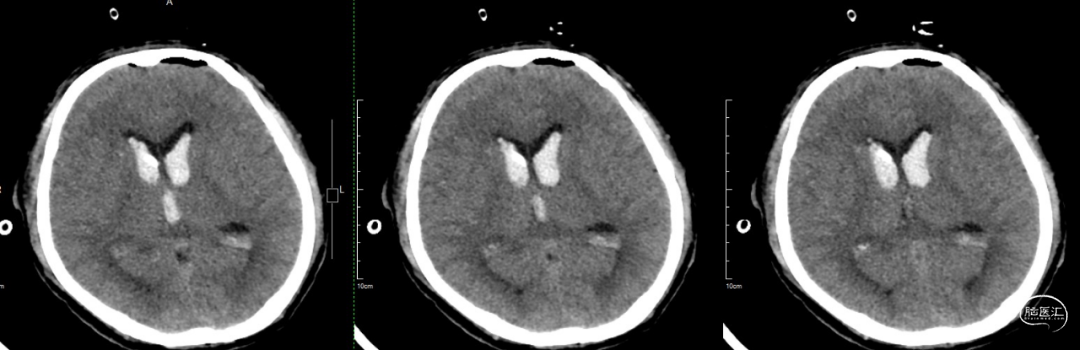
术后当天CT:肿瘤全切,术区无出血,幕上脑室积血,考虑术中出血倒灌所致。


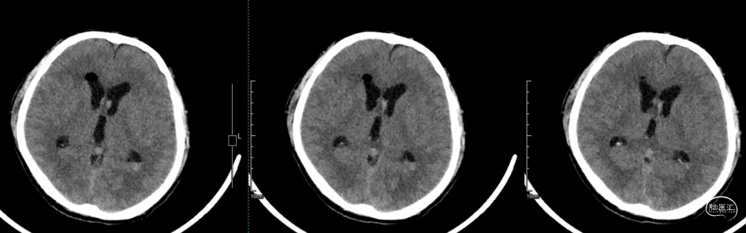
术后一周CT:脑室积血基本吸收。


术后2周MRI:肿瘤全切。


术后病理:血管母细胞瘤,WHO I级。

术后患者一般状况良好,无新发神经功能障碍,头痛症状较术前明显好转,共济运动失调较术前无明显加重。

讨论
1. 概述
血管母细胞瘤(hemangioblastoma,HB)是一种良性肿瘤,WHO 分级为I级,绝大多数肿瘤(>90%)发生在后颅窝,约占所有成人后颅窝肿瘤的8%,占所有颅内肿瘤的1%。HB一般起源于靠近第四脑室的小脑半球、蚓部,甚至脑干。超过30%的HB患者同时合并有von Hippel Lindau(VHL)综合征,常伴发视网膜血管瘤,皮肤血管瘤或其他肝,肾血管瘤等先天性病变。患者出现症状并被确诊为后颅窝HB的年龄阶段位于30-40岁之间,非散发病例出现后颅窝症状比那些随机散发病例更早。尽管罕见,脊髓内也可能出现HB,多见于颈段及胸段的脊髓,大部分的脊髓HB会伴随脊髓空洞,但患者多表现为后颅窝症状,因此容易被遗漏。
随着血管母细胞瘤的生长,日益增大的肿瘤将会压迫到脑部,并且造成一些神经功能上的症状,例如头痛、肢体无力、感觉丧失、平衡和协调问题,或是脑积水。在一些少见的病例中,这种肿瘤会由于一些和神经学不相关的症状或是疾病,而无意中被发现。
血管母细胞瘤可以选择两种基本的治疗方法。第一种是手术,将颅内或脊髓肿瘤切除掉。如果患者的血管母细胞瘤可以完全切除,且在疾病分类上不是属于VHL综合症的话,这个病就算是彻底治愈了。假如血管母细胞瘤无法整个切除掉,肿瘤有可能会重新生长或是会有更多的囊变产生。任何的脑部或是脊髓的手术都是有创的,并且有一定的风险,例如颅内出血/脑梗死、感染、麻醉的并发症或是神经功能上的缺损。尽管如此,通过现今的神经外科设备及显微神经外科技术,大多数的血管母细胞瘤是可以安全地切除的。相对于开颅手术,立体定位放疗可以用来破坏血管母细胞瘤。大剂量的放射线会造成细胞逐渐死亡,然后细胞自然凋亡。在血管母细胞瘤的患者中,只有肿瘤的实性部分是可以采用立体定向放射治疗,风险相对较小,但起效慢,效果不一定可靠。
2. 术前评估及处理
在术前需要通过影像学检查判断肿瘤的准确位置以及与后颅窝相邻重要结构的关系。尤其要注意肿瘤与脑干、第四脑室以及小脑后下动脉(PICA)的位置关系,因为PICA经常是这些肿瘤的主要供血动脉。如果可能的话,这些供血动脉需要在手术早期进行阻断。上述肿瘤相邻重要结构能够指导手术入路的选择。小脑半球囊性伴有壁结节的血管母细胞瘤手术风险最低,最容易切除(死亡率<2%),然而体积大且质地硬或者位置靠近脑干区域的肿瘤手术难度最大(死亡率可达50%)。对于VHL综合征的患者,治疗决策则更加复杂。倘若患者出现了梗阻性脑积水,则优先考虑切除后颅窝肿瘤。一般而言,不考虑术前对肿瘤的供血动脉进行栓塞,因为肿瘤的供血动脉数目繁多且管径细小。然而,对于体积大、质地硬的肿瘤,则建议术前进行供血动脉栓塞,因为这些大的供血动脉在术中往往难以早期发现并阻断,术中破裂存在大出血的风险。
3. 手术策略及技巧
实性血管母细胞瘤通常需要选择更合理的入路进行操作,其操作流程与富血供的AVM手术类似,肿瘤内部有许多容易出血的微小血管,因此难以用双极电凝进行止血,这个特性让手术切除带来极大的风险,因此分块切除非常困难。术中需仔细寻找肿瘤的边界,严格按照界面进行分离,适度电凝皱缩肿瘤表面,若分离进入瘤内,出血会很难控制。彻底止血在手术操作过程中至关重要,能够避免术中患者失血过多。术中最好能早期发现供血动脉并立即阻断,术中建议采用血管ICG荧光造影,验证病变的供血动脉及引流静脉的血管结构,选用mini夹或AVM血管夹临时阻断供血动脉,根据病变颜色及形态判断是否可以离断。术中MEP及SSEP对于临时阻断时评估也有一定作用。但对位于脑干的肿瘤或巨大病变,术者并不总能实现这一目标,尤其当病变内侧有来自硬膜和软膜的血供时,会给术者带来不少麻烦,因此术前若有条件,最好可以进行供血动脉栓塞。栓塞的供血动脉优先考虑腹侧PICA的分支,因为术中显露较为困难。不建议完全栓塞所有供血动脉,栓塞需适可而止,达到减少部分供血的目的即可。栓塞时还需密切关注引流静脉情况,因为血流速很快,栓塞材料可能很快达到引流静脉,一旦引流静脉提前闭塞将会导致灾难性后果。如果病变的全部重要血管阻断后,有可能引起小脑肿胀合并出血。因此对巨大血管母细胞而言,先栓塞再切除,分期进行手术是合理的。因肿瘤巨大,迫不得已需行肿瘤分块切除时,尽量需电凝彻底,控制好出血。大的引流静脉一般位于肿瘤的表面,轻微触碰这些静脉可以导致其破裂大出血,因此控制这些静脉极具挑战性。如果阻断了引流静脉,将会引起肿瘤内部的血流动力学变化,导致更多的出血,引起恶性循环,因此具有极大的风险。
由于这些肿瘤血供丰富,术后如果出现高血压且控制不佳,可能会引起颅内血肿,因此建议患者在术后送ICU进行密切监护,待病情稳定后再送回普通病房治疗。
总结
参考文献
1. Rengachary SS and Suskind DL. Hemangioblastomas. In Apuzzo MLJ. Brain Surgery: Complication Avoidance and Management, Volume 2. Churchill Livingstone, 1825-33, 1983.
2. Aaron Cohen-Gadol.Hemangioblastoma.The Neurosurgical Atlas. https://doi.org/10.18791/nsatlas.v4.ch02.10.
作者简介

杨海峰,主任医师,医学博士,重庆大学附属肿瘤医院神经肿瘤外科主任。
美国Cleveland Clinic访问学者,英国Manchester Medical Center 访问学者。中国医药教育协会神经内镜与微创医学专业委员会委员,北京大学医学部神经外科学系教授委员会委员,非公立医疗协会专家委员会委员,中国临床医生杂志审稿专家。

阮健,副主任医师,医学博士。
重庆大学附属肿瘤医院神经外科
【科室简介】
咨询电话023-65075681;023-65075682。





