2022年03月01日发布 | 653阅读
脑肿瘤-颅咽管瘤

【病例】内镜经鼻切除一幼儿巨大颅咽管瘤-多模态术前规划、手术技术和并发症管理:(2D手术视频)

于洪伟

哈尔滨医科大学附属第一医院

高成

哈尔滨医科大学附属第一医院

达人收藏

文献来源:DOI: 10.1093/ons/opz384

整理翻译:于洪伟 哈尔滨医科大学附属第一医院

(版权归原作者所有,本文仅用于学术交流)


摘要翻译

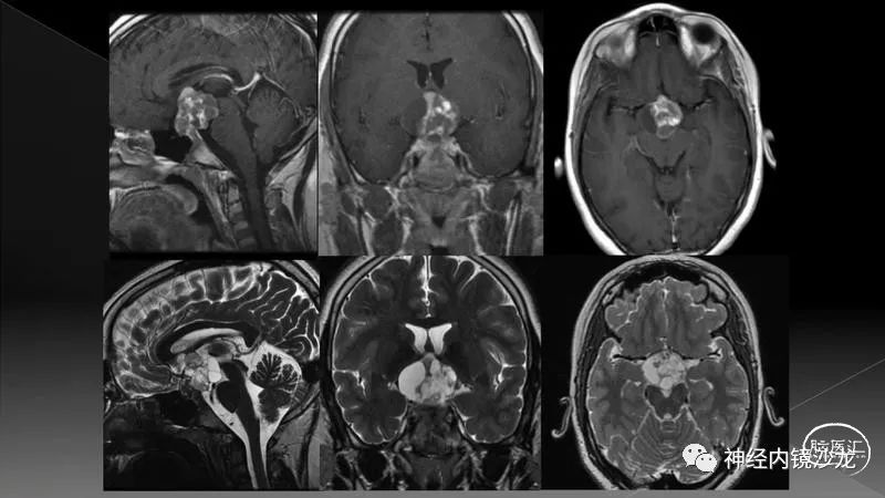
一例2岁的巨大颅咽管瘤患儿,表现为癫痫发作和全垂体功能减退。病变最初在其他机构行经额囊肿开窗术,但后来逐渐增大。我们考虑了多种治疗方案;推荐了内镜经鼻入路,以期最大程度地安全切除肿瘤。


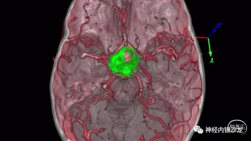
采用虚拟现实模拟和3D打印技术来评估鼻窦气化不良和鼻腔的整体大小是否影响手术操作。我们的实验室结果表明双侧鼻腔入路可行。


手术暴露充分术野,从蝶骨平台到斜坡,从眼眶到眼眶。切除大块钙化部分肿瘤后,我们找到肿瘤包膜和下丘脑、视觉通路之间的清晰的分离平面。切除结束时,发生了后交通动脉从大脑后动脉撕脱导致的动脉出血。采用单轴持夹器放置一个成角的动脉瘤夹,以夹闭损伤部位并保证供血动脉不狭窄。术后即刻和晚期磁共振成像和CTA检查显示肿瘤全切、无卒中、无假性动脉瘤形成。


术后第9天,患者出现因为鼻中隔皮瓣坏死导致的神经功能减退和脑内积气。尝试了两次用鼻腔侧壁粘膜瓣进行鼻内修复均未成功。然后采用颞顶筋膜瓣并将其从颞部转移至翼颚窝,并成功修复颅底缺损。患而恢复良好,无神经功能异常。


病人的父母同意学术目的使用手术照片和视频。不需要机构审查委员会的批准。


精彩图文












视频欣赏




声明:脑医汇旗下神外资讯、神介资讯、脑医咨询所发表内容之知识产权为脑医汇及主办方、原作者等相关权利人所有。未经许可,禁止进行转载、摘编、复制、裁切、录制等。经许可授权使用,亦须注明来源。欢迎转发、分享。

最新评论
发表你的评论
发表你的评论