
术者寄语
中间导管的使用对于稳定通路起到了至关重要的作用,特别是在困难路径下取栓,导丝导管通过困难,通路的顺利建立是手术成功的关键,SKATHI远端通路导管具有腔大通过性佳的特点,是临床医生的抽吸良器。

赵志刚
沈阳医学院附属第二医院
神经内科
硕士研究生,主治医师。
毕业于沈阳医学院,现就职于沈阳医学院附属第二医院神经内二科,曾在福建省漳州市医院神经介入科进修学习缺血性脑血管病的介入治疗。
易婷玉
漳州市医院
神经内科
神经内科脑血管病介入科副主任医师,博士。
中国医师协会神经介入专业委员会委员;2018、2019、2020年中国医师协会神经介入创新大赛一等奖;2018年全国Angel取栓比赛二等奖,发表论文20余篇,其中10余篇为SCI文章主持福建医科大学启航项目1项,以第一参与者参与省自然1项,参加全国大型临床研究4项。
陈文伙
漳州市医院
神经内科
福建省漳州市医院神经内科脑血管病介入科主任,副主任医师,副教授,硕士生导师;
中国医师协会神经介入分会常务委员;
中国研究型医院学会介入神经病学专业委员会委员;
中国脑防委缺血性脑血管病介入组委员;
中国卒中学会脑静脉病变分会委员;
福建省神经病学学会介入学组副组长;
2008年在北京宣武医院神经介入中心进修神经介入1年,发表论文20余篇,其中以第一作者或通讯作者发表SCI11篇。
患者基本信息:
男性,88岁。
现病史:
缘于入院7小时前无明显诱因发现左侧肢体无力(末次正常2021年11月16日21:00),左侧肢体完全不能动弹,伴口角歪斜。
既往史:
高血压病史数年,不规则降压治疗,具体血压监测情况不详,1年前出现气促,就诊我院,诊断为“心功能不全”,平素口服“多索茶碱、心舒宝、螺内酯、呋塞米”治疗后好转。
查体:
神志清楚,构音清晰,言语流利,对答切题,反应灵敏,查体合作,双瞳孔等大呈圆形,直径约3.0mm,对光灵敏,双眼球向右侧凝视,无眼震,无复视,左侧鼻唇沟浅,左侧口角低,伸舌偏左,颈部无抵抗,右侧肢体肌力5级,左侧肢体肌力0级,右侧指鼻试验正常,右侧跟膝胫试验正常,四肢肌张力正常,四肢腱反射正常,全身无不自主运动,浅感觉检查正常,深感觉检查正常,左侧病理征阳性,NIHSS:12分,MRS:4分。
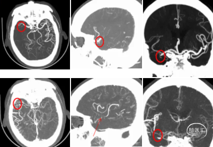
术前影像学检查结果


手术策略制定
急性右侧脑梗死,右侧大脑中动脉闭塞,心房颤动,高血压,心功能不全。
术前CTA可知责任血管为右侧大脑中动脉,遂在泥鳅导丝及4F多功能管的引导下,直接将8F导引导管送至右侧颈内动脉C1段,造影示右侧大脑中动脉M1远端下干闭塞,同侧大脑前动脉通过脑膜支向大脑中动脉供血区代偿供血,代偿ASTRIN分级2级,将SKATHI远端通路导管送至颈内动脉C4段,随后微导管(Rebar 18)在微导丝(Synchro 14)辅助下,小心通过大脑中动脉下干闭塞段至M2段,再将SKATHI远端通路导管顺利送至大脑中动脉闭塞段近端,并抵住血栓近端,撤出微导丝及微导管,用50ml注射器保持负压吸引抽吸导管,约1分钟后缓慢回撤中间导管至颈内动脉C4段,抽出多枚栓子,复查造影见右侧大脑中动脉各分支完全显影,TICI3级,血流速度正常。
术中涉及介入材料选择
8F导引导管
Rebar18微导管
6F 125cm SKATHI远端通路导管
Sychro微导丝
治疗过程
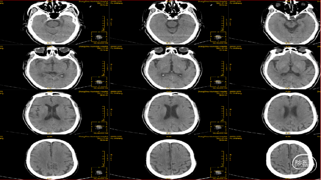
术后影像学检查
术后即刻影像


术后24小时CT:右侧侧脑室旁低密度

术后72小时DWI:右侧额颞叶、岛叶、侧脑室旁急性脑梗死。

术后72小时MRA:右侧大脑中动脉血流复通,双侧血管对称。

1、术后予控制血压、抗凝处理。
2、术后第2天患者左侧肢体无力明显缓解,肌力4级。
3、住院7天后出院,出院时:神清语利,双侧瞳孔等大正圆,直径3.0mm,无凝视,左侧中枢性面瘫,四肢肌力5级,NIHSS:1分,MRS:1分。
术者体会:
1、相比支架取栓,抽吸取栓术再通闭塞血管的时间更短,可以明显提高大血管闭塞性患者的预后。
2、多时相CTA可以清楚显示闭塞部位及血管代偿情况,可协助手术路径的判断,为手术决策提供证据。
3、CTP可为晚时间窗和时间窗不明的患者提供的组织学时间窗,可以让更多的卒中患者从血管内治疗中获益。随心所欲,管到栓除。
4、SKATHI远端通路导管具有腔大通过性佳,是抽吸的良器。










