病例分享
患者女性,32岁。
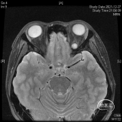
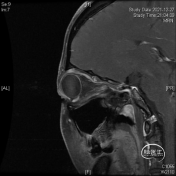
头颅MR体检偶然发现左侧眶尖占位,初步诊断海绵状血管瘤,查体无明显阳性体征。






该部位的手术可选多种入路,经眉弓锁孔、经额、经眶外侧壁等,然而施炜、陈建内镜团队选择了临床较少使用的经眶入路!创伤小且对患者的容貌影响小,术前团队进行了相关解剖研究!


研究表明此入路除细小的滋养血管外无其他重要结构!皮肤切口选择近眶缘眉弓美容切口,紧贴眶上壁分离骨膜,保护眶筋膜,病变紧贴眶上壁,导航下确定眶尖紧贴眶上壁的病变,外观呈浅紫兰色,考虑既往有出血所致,显露肿瘤!


磨除局部少许隆起的骨嵴以增加操作空间,切开眶骨膜分离并完整切除病变,术中证实为海绵状血管瘤,直径约1厘米,手术全程在内镜下完成。





患者术后除眼睑稍肿胀,视力视野及眼球运动一切正常!
总 结
球后眶尖部位及海绵窦区的病变因为位置深在,周围重要结构众多,对神经外科医生具有极高的挑战性。神经内镜技术发展给我们提供了一条思路。我们通过相关解剖研究发现,病变位于海绵窦外侧壁、颈内动脉外侧、颞极内侧,可选择经眶外侧壁入路;病变位于眶尖内侧,累及海绵窦侧壁,经眶内侧壁入路更为适合;病变主体位于鞍区向一侧海绵窦侧壁侵袭,可以考虑内镜经鼻入路。眶内上壁病变,因为无重要结构,经眶入路最适合!

更多精彩内容 请关注作者






