
郭庚
山西医科大学第一医院
血管神经外科主任,医学博士,博士后,主任医师,教授,硕士研究生导师,博士后合作导师。
山西省学术技术带头人,山西省首批“三晋英才”拔尖骨干人才,山西省首届青年医师奖获得者,山西省高等学校131领军人才,山西省高等学校优秀青年学术带头人。意大利佛罗伦萨大学careggi医院神经外科访问学者。擅长脑(脊髓)血管病的手术与介入治疗。
担任中华医学会神经外科学分会青年委员会委员、中华医学会神经外科学分会脑血管病学组委员、山西省医学会神经外科学分会委员兼青委副主委、山西省医师协会神经外科医师分会委员兼副总干事。兼任9种学术期刊编委及审稿专家。
主持国家自然科学基金、中国博士后科学基金等9项。近年来发表学术论文60余篇,其中21篇被SCI收录。主编(译)专业著作6部。获山西省科技进步二等奖、三等奖各1项。
吴勇强
山西医科大学第一医院
神经外科医师,医学硕士。
于2019年在首都医科大学宣武医院神经介入出血组进修一年。擅长出血及缺血性脑血管病诊治。
目前发表SCI论文2篇,中文核心期刊论文5篇,参编专著3部。
患者基本信息:
男性,58岁。
主诉:
“突发右侧肢体无力伴一过性言语不利半月余”入院。
既往史:
高血压7年,控制不佳。
查体:
神经系统查体:右上肢肌力Ⅲ级,右下肢肌力Ⅳ级,右侧巴氏征(+)。
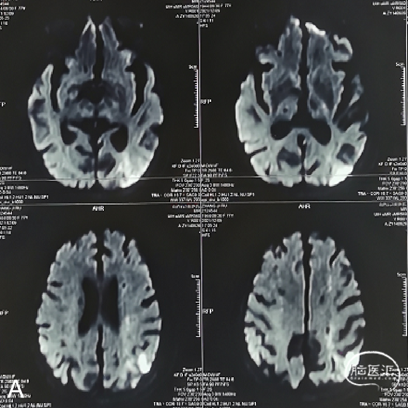
术前影像学检查结果
外院行头颅核磁示:左侧额顶枕叶急性脑梗死;颅内多发陈旧性脑梗死。


外院行脑血管造影示:左侧颈内动脉眼动脉段重度狭窄。

手术策略制定
1. 左侧颈内动脉眼动脉段重度狭窄
2. 左侧额顶枕叶脑梗死
3. 颅内多发陈旧性脑梗死
4. 高血压病3级,高危组
1. 手术指征:患者DSA示左侧颈内动脉眼动脉段重度狭窄;核磁显示左侧分水岭脑梗死
2. 治疗策略:术前重新造影,明确狭窄情况;患者血管通路迂曲,拟使用长鞘+中间导管到达病变近端,行球囊预扩后支架置入。
3. 相关风险:斑块脱落、狭窄段夹层、支架内急性血栓等。
术中涉及介入材料选择
6F 90cm NeuronMax长鞘
6F 115cm SKATHI远端通路导管
5F100cm椎动脉型造影导管
泥鳅导丝
Synchro14 300cm微导丝
Gateway 3.5-9mm球囊
XT-27微导管
Neuroform EZ 4.0-20支架
手术过程
全麻下,右侧股动脉置入8F血管鞘,在泥鳅导丝及5F椎动脉型造影导管引导下将6F NeuronMax长鞘送至左侧颈内动脉起始,撤出造影导管。

多角度造影明确左侧颈内动脉眼动脉段重度狭窄。

正位造影

侧位造影


6F 115cm SKATHI远端通路导管与6F NeuronMax长鞘同轴,在泥鳅导丝引导下将SKATHI远端通路导管送至左侧颈内动脉海绵窦段。

山高路远,道路迂曲

SKATHI轻松通过

在Synchro14微导丝引导下将Gateway3.5-9mm球囊送至狭窄段,缓慢扩张球囊至6atm,撤除球囊压力后造影见狭窄改善。


撤出球囊导管,交换送入XT-27支架微导管至左侧大脑中动脉M1段,顺支架微导管送入Neuroform EZ 4.0-20mm支架,准确对位并释放支架。

造影见狭窄明显改善

将6F 115cm SKATHI远端通路导管撤至左侧颈内动脉C1起始,多角度造影显示左侧颈内动脉眼动脉段狭窄明显改善,颈内动脉通畅,颅内血流改善。


患者术后病情平稳,无不适主诉。
1. 该患者颈内动脉路径迂曲,单纯Guiding易导致血管痉挛甚至夹层,术中系统稳定性较差,因此稳定的通路建立是手术成功的关键一步。
2. SKATHI远端通路导管头端柔软,在长鞘支撑及泥鳅导丝引导下轻松通过迂曲血管;对血管壁刺激小,不易引起血管痉挛;近端支撑力足够,在球囊及支架上行过程中能够提供稳定支撑。








