
■ 术者寄语
颅内动脉粥样硬化性狭窄(ICAS)是导致缺血性卒中重要原因之一,目前对于ICAS的治疗仍存在争议。中国人ICAS发病率高,34%的急性颅内大动脉闭塞合并ICAS,特别是远端病变合并AIS,对于器械的通过性要求很高,治疗上存在一定的难度。
加奇生物SacSpeed®球囊扩张导管,快速交换系统操作简便,优异的通过性可以轻松通过远端闭塞段,缓慢扩张后形态稳定,是一款各方面性能表现出色的国产球囊。Tethys®中间导引导管,6F远端16cm长柔软段,可以轻松到达远端,0.071inch大内腔,提高一把再通率。
本期嘉介谈邀请珠海市人民医院程光森教授、刘永康医师,展示五例大脑前动脉ICAS使用SacSpeed®球囊扩张导管和Tethys®中间导引导管治疗病例,精彩不容错过。


病例一
患者基本信息
男性,60岁,因“失语伴右侧肢体无力3小时余”入院。
简要病史
既往高血压病史。
查体情况
外院CT未见出血及明显低密度灶,CTA未见大血管闭塞征象。
入院查体:混合性失语,右侧鼻唇沟变浅,口角无明显歪斜,伸舌向右偏。右上肢肢体肌力3级,右下肢肌力1级。
NIHSS评分:11分(意识:1分,凝视:1分,面瘫:2分,视野:2分,上肢:3分,下肢:4分,感觉:1分)。
术前影像学检查
我院急查头颅CTP示:ASPECT评分10分。


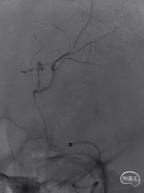
DSA:



长鞘+125cm单弯+1.5m泥鳅导丝。



125cm Tethys®中间导引导管+2m 0.014inch+18微导管。



尝试通过闭塞段。



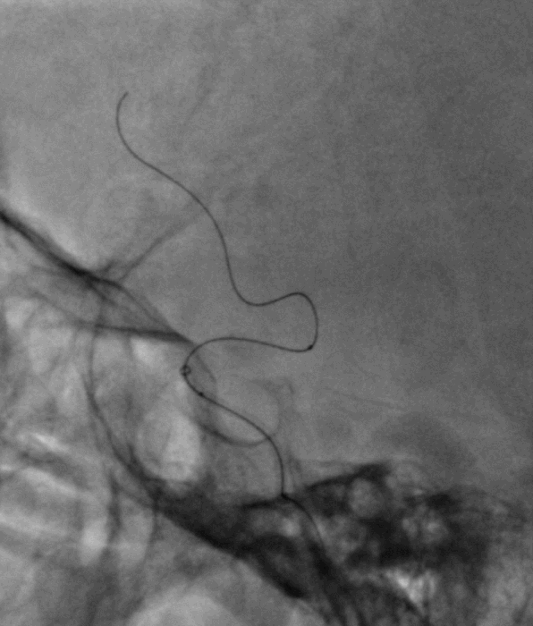
4mm×20mm取栓支架。



支架锚定后跟进Tethys®中间导引导管。




取栓后即刻造影。


15min后复查造影,明显回缩。


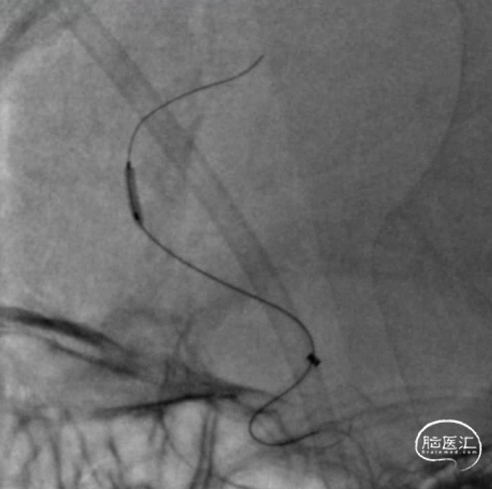
加奇SacSpeed®球囊扩张导管2×9mm顺利到位。


缓慢扩张至5atm后造影。


15min后复查造影,血流维持可。









病例二
患者基本信息
男性,65岁,因“言语不清11小时加重伴右侧肢体乏力4小时”入院。
简要病史
既往高血压、糖尿病史。
术前影像学检查
我院头颅CT平扫加CTA示。

造影示左侧大脑前A2近端闭塞。长鞘+5F 中间导管+18微导管+0.014inch微导丝。

逐步跟进系统。

推送并释放3mm×20mm取栓支架。

支架中部见压迹。

前向血流恢复,局部残余重度狭窄。

血流无法维持,跟进中间导管。



加奇SacSpeed®球囊扩张导管到位后缓慢扩张。
释放2.5x20mm支架。

复查造影示前向血流维持良好。



病例三
患者基本信息
男性,45岁,因“右侧肢体乏力2天,加重伴言语含糊3小时”入院。
简要病史
既往高血压病史。
查体情况
嗜睡,右上肢2级,右下肢3级,混合性失语。
术前影像学检查
我院急查CT+CTA:左侧大脑前A2以远端闭塞。


DSA:


长鞘+125cm Tethys®中间导引导管+2m 0.014inch导丝+微导管。


微导管顺利进入大脑前动脉。


125cm Tethys®中间导引导管顺利过眼动脉弯。


微导管造影明确闭塞血管情况。


微导管到达远端。


释放3×20mm取栓支架。


支架锚定后,Tethys®中间导引导管顺利进入大脑前动脉。


继续跟进Tethys®中间导引导管。


抽拉结合。


血流恢复。


观察血流。


3D造影,弹性回缩明显。


引入2.5×20mm支架并释放。




支架植入术后。


血管维持可。





病例四
患者基本信息
男性,55岁,因“头晕伴发作性左侧肢体乏力4天”入院。
简要病史
既往有高血压病史。
术前影像学检查
急诊头颅MRI+MRA示:双侧额叶少许小缺血灶;脑动脉硬化,伴左侧大脑前动脉纤细及多组脑动脉局限性狭窄。


CTP示:右侧额颞顶枕叶、左侧额叶Tmax稍延长,提示侧枝代偿尚可。

DSA:






3D测量。

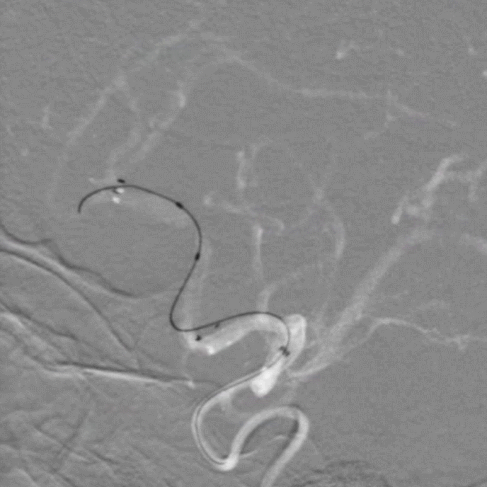
90cm 长鞘+5F 125cm Tethys®中间导引导管,Synchro支撑力不足,更换3m 0.014inch微导丝。

引入加奇1.75×9mm SacSpeed®球囊扩张导管。
![]()
预扩张后造影。


引入支架微导管,确认位置。
引入4.0×39mm支架,支架释放后由于张力后退。

无法回收支架,完全释放。

支架中部再狭窄明显,导丝成袢确认位于支架内并引入加奇2.25×12mm SacSpeed®球囊扩张导管。

加奇2.25×12mm SacSpeed®球囊到位并扩张。
后扩后复查造影。

![]()

术后


病例五
患者基本信息
女性,84岁,因“被发现言语不能,右侧肢体乏力3小时余”入院。
简要病史
既往帕金森、糖尿病病史。
查体情况
嗜睡,运动性失语,右侧鼻唇沟变浅,伸舌不配合,四肢肌肉形态正常,无震颤及不自主运动,右上肢1级,右下肢2级,右下肢病理征阳性,右侧偏身浅感觉减退,四肢肌张力正常。
术前影像学检查
我院完善颅脑CT+CTA+MRI。



左侧颈总入路迂曲。


长鞘+125cm单弯+加硬导丝建立通路;Tethys®中间导引导管+0.014inch微导丝+10微导管。


导丝通过病变段。


微导管跟进。


确认系统位置,交换3m 0.014inch微导丝。


加奇1.75mm×9mm SacSpeed®球囊扩张导管顺利到位。


缓慢扩张。


扩张后前向血流仍较差。


重新调整入路后再次造影。


3m 微导丝配合微导管再次接近病变。


更换微导丝兼顾支撑及操纵性,协助微导管过病变段后交换3m 0.014inch微导丝。


使用SacSpeed®球囊扩张导管再次扩张。


扩张后前向血流好转。


引入3mm×21mm支架覆盖病变。


支架释放后造影。


术后3D。




病例总结
症状性远端闭塞,技术条件及器械允许下,虽远必诛;
不做无准备的战斗,若出血,及时准备相关耗材;弹簧圈不解脱止血效果可能优于球囊封堵; 远端闭塞选取合适的支架开通是相对安全的;在A2及以远部位慎重释放支架;不追求完美,不恋战,见好就收; 根据操作目的不同选取合适导丝; 国产快交球囊性能的提升为处理此类病变提供了可能。加奇生物SacSpeed®球囊扩张导管,快速交换系统操作简便,优异的通过性可以轻松通过远端闭塞段,缓慢扩张后形态稳定,是一款各方面性能表现出色的国产球囊。
加奇生物Tethys®中间导引导管,6F远端16cm长柔软段,可以轻松到达远端,0.071inch大内腔,提高一把再通率。

陆骊工
珠海市人民医院
医学博士,主任医师,二级教授,博导,博士后合作导师。珠海市人民医院医疗集团(暨南大学附属珠海医院)院长,清华大学智慧医疗研究院副院长、暨南大学介入与智能医学工程研究院院长,珠海市介入诊疗中心主任,广东省介入智造工程技术研究中心主任,广东省放射介入医疗质控中心主任,广东省肿瘤微创诊疗转化医学创新平台主任,粤港澳大湾区介入医学联盟发起人。
享受国务院政府特殊津贴,入选国家百千万人才工程,荣获有突出贡献中青年专家,全国卫生计生系统先进工作者,广东省医学领军人才,首届广东省医师奖等荣誉称号。建立了广东地区最大规模的介入诊疗中心和介入医学研究中心。近五年已在Hepatology, Nature communications, J Natl Cancer Inst, Adv Funct Mater, Advanced Science, Trends in Immunology及Proc Natl Acad Sci U S A等期刊发表SCI论文100余篇。目前主持与参与国家科技部重点研发计划,国家国防科技工业局核能开发重点专项及国家自然科学基金等课题10余项,受理及授权专利25项,主编/主译学术专著10余部,科研成果先后获广东省科技进步三等奖、中国抗癌协会科技二等奖及广东省科技进步一等奖,《国家卫计委原发性肝癌诊疗规范》(2019版)编委会介入组副组长。
学术任职:中国医师协会介入医师分会副会长,中华医学会放射学分会介入学组副组长,中国抗癌协会肿瘤微创治疗专委会副主任委员,中国非公立医疗机构协会介入医学分会副会长,中国临床肿瘤学会放射介入治疗专委会副主委,广东省医学会介入分会主任委员,广东省医师协会副会长,广东省医院协会副会长。
程光森
珠海市人民医院
珠海市人民医院脑血管病科主任,脑血管病诊疗中心副主任
主任医师,医学博士,岭南名医
国家脑防委缺血性卒中专家委员会委员
中华放射学分会介入专委会神经介入组委员
广东省医师协会神经介入分会常务委员
珠海市医师协会脑血管分会主任委员
神经介入资讯编委
从事神经介入20余年,擅长各类急慢性脑梗塞的微创介入治疗,脑动脉瘤、血管畸形等各种脑出血的介入治疗,血流导向装置全球导师,共进行各类神经介入诊疗5000余例,先后于德国基尔大学附属医院、美国纽约康奈尔大学神经介入中心学习交流,主持多项省市级课题,参与多项国际国内多中心临床研究,发表论文20余篇。
刘永康
珠海市人民医院










