
椎-基底动脉闭塞急诊取栓
——攻克天堑道路坚 椎基支架保平安
病例详情
病历摘要
患者: 男 52岁
主诉:头晕伴言语不利1小时30分钟
现病史:患者于2022-02-02 10:10左右出现头晕伴恶心、呕吐(呕吐物为内容物),言语不利、视物模糊、双耳听力下降,急诊入我院,完善相关检查及化验,诊断为:急性脑梗死,给予阿替普酶溶栓治疗后症状缓解,于13:45患者症状加重,嗜睡,失语伴左侧肢体偏瘫,急诊行介入治疗。
既往史:“高血压” 10年,最高血压180/100mmHg,未予规律治疗,具体不详;“冠心病” 6个月,于阜外医院行冠脉造影,未予治疗,间断口服阿司匹林及氯吡格雷治疗。
查体:BP148/98mmHg,NIHSS评分19分(意识1提问2面瘫2左上4右下4感觉1构音2语言3)。
入院检查
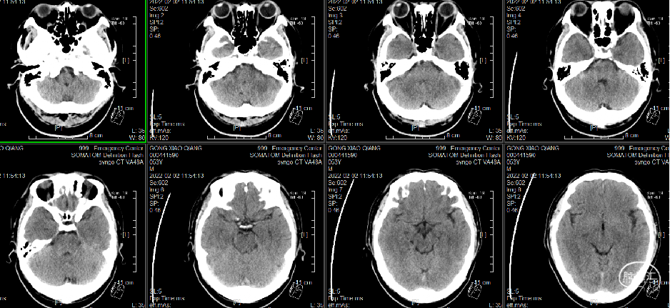
头颅CT:未见明确异常,建议MRI检查。
胸部CT:未见异常。
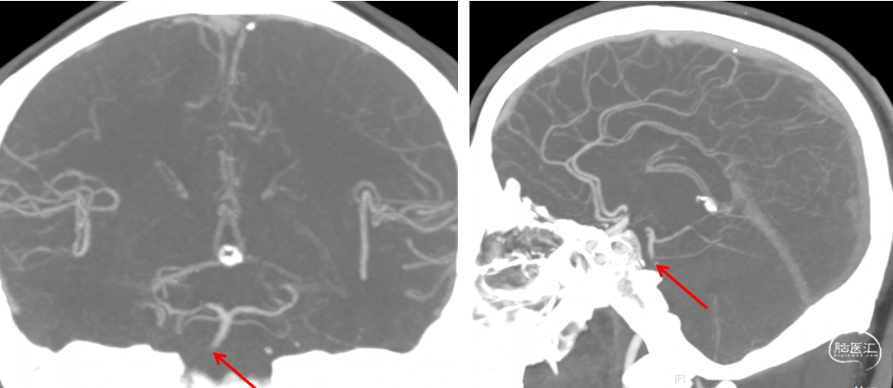
头颈部CTA:右侧椎动脉纤细,双侧椎动脉末端、基底动脉起始段消失,考虑闭塞,请结合临床。
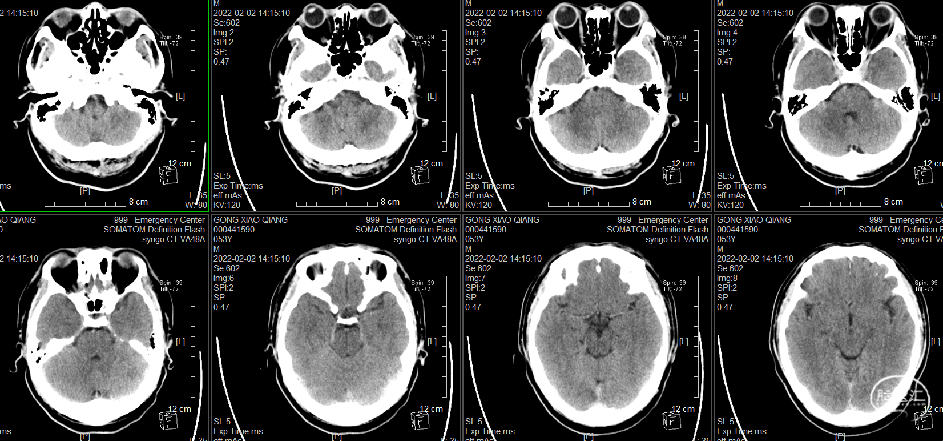
头颅CT(溶栓后复查):右侧小脑梗塞可能,建议复查或MRI检查。
心电图:1、窦性心律2、偶发房性期前收缩。
血糖:9.06mmol/L。
术前诊断
1、急性脑梗塞
2、双侧椎动脉V4段闭塞
3、基底动脉闭塞
4、高血压3级(很高危)
5、冠状动脉粥样硬化性心脏病 偶发房性期前收缩
入院头颅CT(2022-2-2)


头颅CT(溶栓后复查)


入院头颅CTA(2022-2-2)

入院头颅CTA(2022-2-2)

术前主要诊断
急性脑梗塞
手术方案
脑血管造影+基底动脉取栓术+基底支架植入术
术前用药
阿替普酶63mg静脉溶栓
手术风险
1、血栓逃逸到远端血管
2、血管开通再闭塞
3、血管再通后高灌注,脑水肿、脑出血
4、无效再通
5、穿支血管损伤
6、入路血管损伤、夹层等
手术记录
穿刺留置8F动脉鞘,以5F单弯导管行左侧椎动脉造影示:左侧椎动脉PICA以远闭塞。
路图下,在泥鳅导丝导引下将8FGuiding置于左侧椎动脉V2,将Catalyst5 0.058in*132cm沿导引导管置于左侧椎动脉PICA以远闭塞处。
造影示:基底动脉下段可见重度狭窄,远端闭塞,将Catalyst5缓慢通过狭窄处置于闭塞处,负压抽吸可见抽出暗红色血栓,复查造影基底动脉下段重度狭窄,远端显影良好,双侧大脑后动脉、双侧小脑上动脉显影良好,mTICI分级:3级。
在Synchro0.014*300cm微导丝携带下将Gateway2.5*15mm球囊送至基底动脉下段狭窄处,定位准确后,以8atm压力扩张,复查造影,基底动脉下段狭窄略改善,残余重度狭窄。
撤出球囊,将APOLLO3.0*13mm支架沿微导丝送至基底动脉狭窄处,定位准确后以10atm压力释放,复查造影基底动脉显影良好,狭窄处明显改善,无明显残余狭窄,双侧大脑后动脉、双侧小脑上动脉显影良好。
撤出撤出支架输送系统及微导丝,行平板CT未见出血及造影剂渗出。撤出8FGUiding。术毕。
DSA:R-V4闭塞

DSA:L-V4闭塞

将Catalyst5置于闭塞处,负压抽吸可见抽出暗红色血栓,复查造影基底动脉下段重度狭窄,双侧大脑后动脉、双侧小脑上动脉显影良好。

Synchro0.014*300cm微导丝携带Gateway2.5*15mm球囊至基底动脉下段狭窄处,定位准确后,以8atm压力扩张,复查造影

将APOLLO3.0*13mm支架沿微导丝送至基底动脉狭窄处,定位准确后以10atm压力释放,复查造影。

术中取出血栓

手术材料
●泥鳅导丝
●8FGuiding
●Catalyst5*132cm
●Synchro14 300cm
●Gateway2.5*15mm
●APOLLO3.0*13mm
术后情况
●替罗非班8ml/h持续泵入12小时后桥接双抗
●术后24小时患者神志清楚,言语流利,右侧肢体肌力5级,NIHSS0分
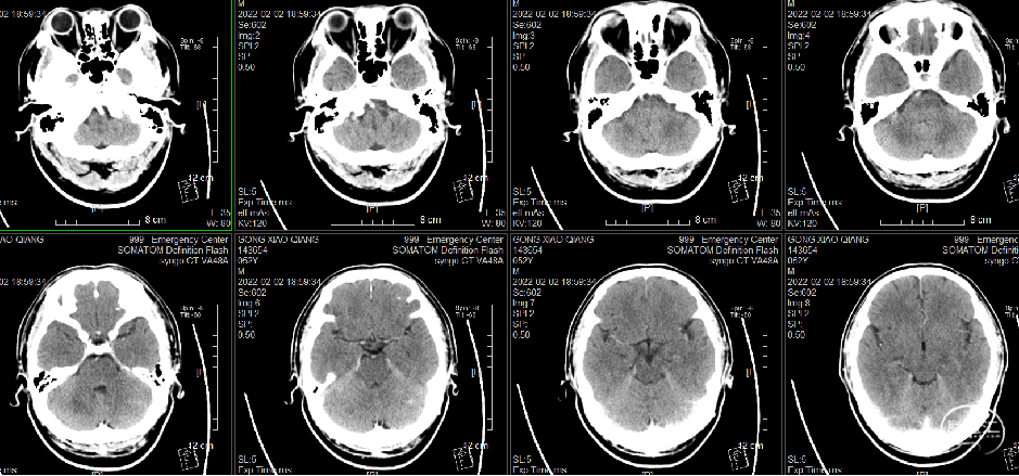
术后复查头颅CT(2022-2-2)

术后核磁(2022-2-3)

![]()
术者思考
1、患者入院时症状较轻,头颈部CTA示:双侧椎动脉V4段及基底动脉中下段未显影,基底动脉上段、双侧大脑后动脉及小脑上动脉显影,考虑基底动脉存在原位狭窄或慢性闭塞,入院后患者病情进展,症状加重,积极行介入治疗。
2、术中可见基底动脉下段重度狭窄,取栓后同期行球囊扩张及支架植入术,避免再次闭塞。
更多精彩内容 请关注作者







