病例摘要
●患者:男,33岁
●主诉:头痛伴呕吐1周
●现病史:
患者于2022-1-1饮用凉可乐后出现反复呕吐,乏力伴发热,体温38.2℃,就诊于外院,行相关检查后诊断为“急性胃肠炎”,给予左氧氟沙星口服,数小时后患者退热。
于1月3日患者出现阵发性头痛,伴恶心、呕吐,呕吐物为胃内容物,就诊于外院,查头颅CT示:上矢状窦、右侧横窦密度增高,考虑静脉窦血栓,建议患者住院治疗,后患者就诊于外院,行头颅核磁等检查,具体不详。
于1月5日患者头痛加重,于外院住院治疗,给予低分子肝素抗凝治疗,
于1月6日在局麻下行全脑血管造影+颅内静脉窦置管溶栓术,术后留置股静脉鞘,给予尿激酶鞘内滴注,患者症状无明显好转。
于1月9日拔除静脉鞘,1月10日转入我院。
既往史:于2019年因“精索静脉曲张”行手术治疗,术后卧床2个月后出现左下肢深静脉血栓,行静脉溶栓及取栓治疗,具体不详。
查体:BP 120/72mmHg,患者急性面容,神志清楚,言语流利,对答切题,颈软,无抵抗,四肢肌力、肌张力正常,活动自如。生理反射存在,病理征未引出。
入院后于1月11日行腰椎穿刺,脑脊液压力>330mmH20。
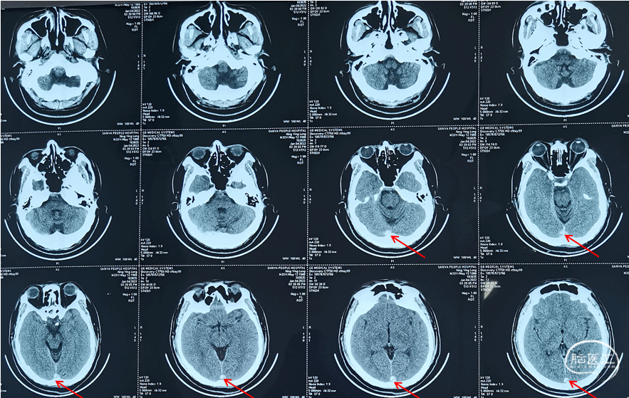
●头颅CT(2022-1-4,外院):上矢状窦、右侧横窦密度增高,可疑静脉窦血栓,建议MR平扫+MRV成像检查。
●胸部CT(2022-1-4,外院):右肺中叶及左肺下叶慢性炎症,双侧胸膜增厚。
●心电图(2022-1-10):1、窦性心律2、正常心电图。
●化验(2022-1-10):血常规:白细胞7.43×10^9/L,红细胞4.05×10^12/L,血红蛋白144g/L,血小板161×10^9/L。
●血凝六项*结果回报示:凝血酶原时间13.8Sec,凝血酶原时间比值1.20INR,凝血酶原百分活动度66.6%,活化部分凝血活酶时间40.0Sec,纤维蛋白原定量305.10mg/dL,纤维蛋白原凝结时间6.70Sec,凝血酶时间17.8Sec,血浆D-二聚体3.10ug/mL,纤维蛋白(原)降解产物9.10ug/mL。
●同型半胱氨酸56.72umol/L,超敏C反应蛋白72.10mg/L
头颅CT(2022-1-4)
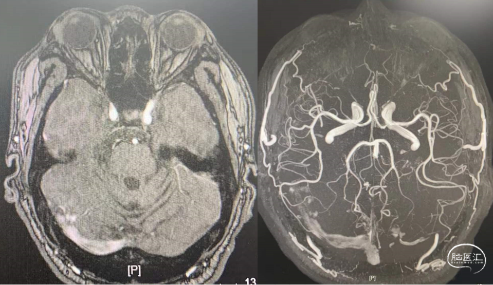
头颅MRV(2022-1-5)
头颅核磁:可见横窦高密度
影 像
DSA(2022-1-6)
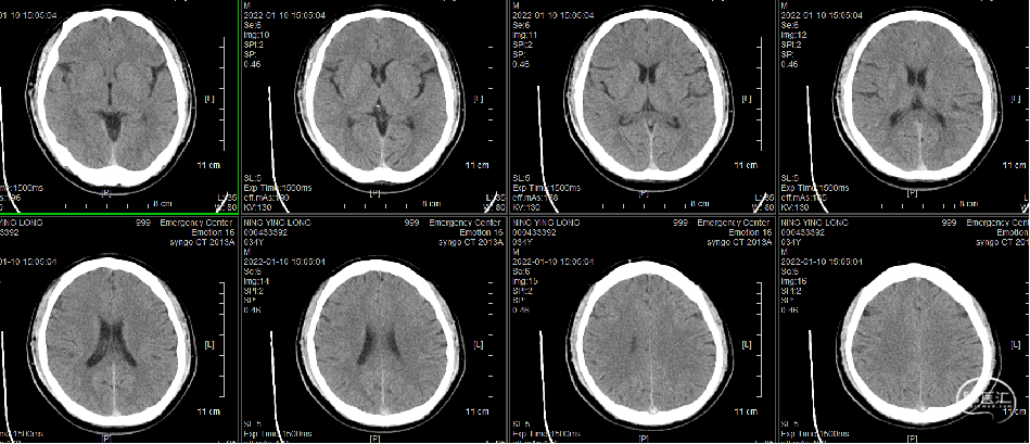
头颅CT(2022-1-10)
脑静脉窦血栓(上矢状窦、右侧横窦、乙状窦)
●手术方案:
颅内静脉窦取栓术+静脉窦支架置入术
●术前用药:
低分子量肝素钙抗凝
甘露醇脱水降颅压
右侧颈总动脉造影示:上矢状窦显影模糊,右侧横窦、乙状窦未见显影,静脉回流缓慢。穿刺右侧颈静脉,留置8F血管鞘,全身肝素化,50万尿激酶入动脉滴注。
在泥鳅导丝导引下将8FGuiding内衬多功能导管,置于上矢状窦,反复负压抽吸可见抽出大量暗红色血栓,手推造影,静脉回流缓慢,上矢状窦仍显影欠佳,在泥鳅导丝导引下将6FNavien中间导管送至右侧横窦时推进困难,撤出中间导管。
再次将8FGuiding内衬多功能导管,置于上矢状窦,将EV3 6.0mm保护伞及6*30mm球囊置于上矢状窦,释放保护伞,以保护伞及球囊反复抽拉捣碎上矢状窦、右侧横窦及乙状窦血栓,将6*30mm球囊送至上矢状窦及右侧横窦,分别以10atm压力扩张后反复抽拉,撤出保护伞及球囊,再次负压抽吸,可见抽出大量暗红色血栓,复查造影上矢状窦显影好转,静脉回流较前改善,右侧横窦及乙状窦仍显影欠佳。行平板CT颅内未见出血。
再次将导引导管置于右侧横窦及乙状窦进行负压抽吸,可见抽出暗红色血栓,手推造影示:静脉回流较前明显改善,右侧横窦及乙状窦仍显影欠佳,在260cm泥鳅导丝导引下将6FNavien中间导管置于右侧横窦,在Transend 300cm微导丝携带下将Wallstent7*40mm支架沿中间导管送至右侧横窦,定位准确后缓慢释放,复查造影右侧横窦显影良好,静脉回流明显改善,乙状窦显影仍欠佳,将Wallstent7*40mm支架沿中间导管送至乙状窦,定位准确后缓慢释放。
复查造影:上矢状窦显影明显改善,右侧横窦及乙状窦显影良好,静脉回流良好。行平板CT颅内未见出血。
在微导丝导引下将Rebar18微导管置于上矢状窦,给予尿激酶25万单位入50ml生理盐水中,以12ml/h持续微量泵泵入。固定颈静脉鞘及微导管。
术前DSA
在泥鳅导丝导引下将8FGuiding内衬多功能导管,置于上矢状窦
以8FGuiding反复负压抽吸,可见抽出大量暗红色血栓
手推造影,静脉回流缓慢,上矢状窦仍显影欠佳
将EV3 6.0mm保护伞及6*30mm球囊置于上矢状窦,释放保护伞,以保护伞及球囊反复抽拉捣碎上矢状窦、右侧横窦及乙状窦血栓
以10atm压力扩张上矢状窦后反复抽拉
以10atm压力扩张右侧横窦后反复抽拉
复查造影上矢状窦显影好转,静脉回流较前改善,右侧横窦及乙状窦仍显影欠佳
再次将导引导管置于右侧横窦及乙状窦进行负压抽吸,可见抽出暗红色血栓,手推造影示:静脉回流较前明显改善,右侧横窦及乙状窦仍显影欠佳
在Transend 300cm微导丝携带下将Wallstent7*40mm支架送至右侧横窦,定位准确后缓慢释放
复查造影右侧横窦显影良好,静脉回流明显改善,乙状窦显影仍欠佳
将Wallstent7*40mm支架沿中间导管送至乙状窦,定位准确后缓慢释放
复查造影:上矢状窦显影明显改善,右侧横窦及乙状窦显影良好,静脉回流良好
颅内正侧位造影:上矢状窦显影明显改善,右侧横窦及乙状窦显影良好,静脉回流良好
在微导丝导引下将Rebar18微导管置于上矢状窦,给予尿激酶25万 单位入50ml生理盐水中,以12ml/h持续微量泵泵入
术中取出血栓
手术材料
●8F Guiding及5F多功能
●EV3 6.0mm保护伞及6*30mm球囊
●6F Navien中间导管
●Transend 300cm微导丝
●Wallstent 7*40mm 2个
●Reaber-18微导管
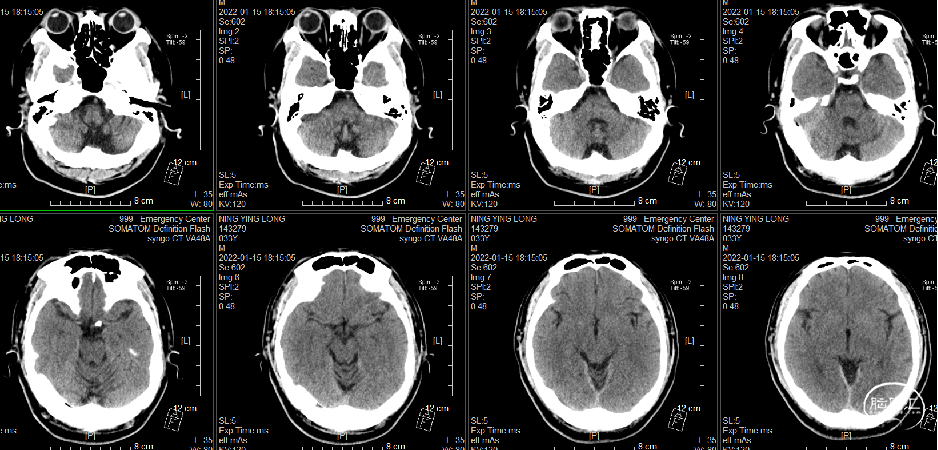
术后复查头颅CT(2022-1-15)
术后患者情况:
患者头痛消失,无不适主诉
1月21日复查腰椎穿刺,脑脊液压力230mmH20
更多精彩内容 请关注作者






