下图 可见血栓形成的皮质静脉呈线状或绳状高密度,也称为致密线征。

下图为颞叶出血性脑梗死(红色箭头)。注意血栓形成引起的致密横窦(蓝色箭头)。

空三角征是在CT增强扫描(CECT)上发现的,首次被描述为上矢状窦血栓形成。
该征由一个三角形强化区和一个相对较低的衰减中心组成,可能的解释是静脉窦周围丰富的硬膜静脉侧支循环增强。
在早期血栓形成中,空的三角征可能不存在,你将不得不依赖于在CECT上血栓形成的静脉的非可视化。
由于血栓内再通,症状可能在两个月后消失。

下图为右横窦和左横窦及乙状窦(箭头)血栓形成。血栓周围有强化。

●在自旋回波图像上,未闭脑静脉通常会表现出低信号强度,因为流空。
●流空在T2加权图像和FLAIR图像上最常见,但有时也可以在T1加权图像上看到。
●血栓表现为流空的消失,信号增高。
●虽然这不是一个完全可靠的迹象,但它往往是第一件事,让你想到静脉血栓形成的可能性。
●下一步必须进行对比增强检查。
下图为T2加权图像,右乙状窦和颈静脉血流正常(蓝色箭头)。
左侧有异常的高信号,这是血栓形成的结果(红色箭头)。

下侧图像在T1加权图像上显示血栓形成所致的异常高信号。
血栓形成从大脑深静脉和直窦延伸到右侧横窦和乙状窦。
注意右下图像左侧横窦的正常流空。
MR图像上正常流空消失对检测静脉血栓形成有很大帮助,但也有一些缺陷,我们将在后面讨论。
缓慢的血流可能发生在静脉,并导致T1高强度。

另一个可以帮助你诊断不明静脉血栓形成的迹象是静脉梗塞。
静脉血栓形成导致静脉高压,首先导致受影响区域白质的血管源性水肿。
当这一过程继续下去时,可能会导致梗死和紧随血管源性水肿的细胞毒性水肿的发展。
这与动脉梗塞不同,动脉梗塞中只有细胞毒性水肿,没有血管源性水肿。
由于静脉高压,静脉梗塞较动脉梗死多见出血。
由于我们对静脉梗塞不太熟悉,我们通常认为静脉梗塞是非典型部位或非动脉分布的梗死。
然而,静脉梗塞确实有一个典型的分布,如下图所示。

由于许多静脉是中线结构,静脉梗死往往是双侧的。
这见于上矢状窦、直窦和大脑内静脉血栓形成。
最常见的静脉血栓是上矢状窦。75%的病例可见梗死。
异常为矢状位旁,多为双侧。60%的病例出现出血。
下图1例上矢状窦血栓形成患者双侧梗死。

下图上矢状窦血栓所致双侧矢状窦旁出血患者的矢状位CT图像。
增强图像上的红色箭头显示血栓所致的充盈缺损。

另一个典型的静脉梗塞是由于Labbe静脉血栓形成。
下图 左侧颞叶白质密度低,右侧颞叶不明显。
广泛的鉴别诊断包括动脉梗塞、感染、肿瘤等。

注意梗死区有一些线性高密度,这是出血造成的。
左横窦(箭头)区域的细微密度是诊断的关键。
这是血栓形成的直接迹象,下一步是CECT,证实诊断(未显示)。
下图 一位颞叶出血患者的图像。

当梗死的出血性成分很大时,它可能看起来就像任何其他伴有血管源性水肿的脑内血肿。
这个病例的诊断线索是在增强图像上看到的,它很好地显示了乙状窦的充盈缺损(蓝色箭头)。
下图 有血管源性水肿(红色箭头),细胞毒性水肿和出血(蓝色箭头)。
这些发现和位于颞叶的位置,应该会让你想到由Labbe静脉血栓所致的静脉梗塞。下一次检查应该是增强的MR或CT,以证明诊断。

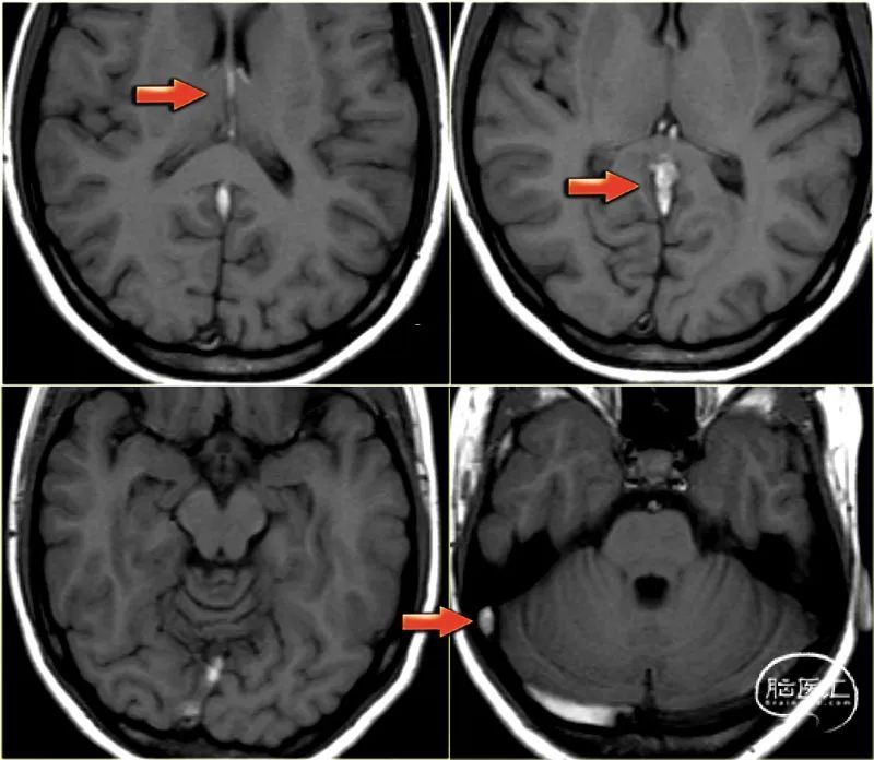
下图左显示左侧丘脑的高信号。
当你仔细观察时,右侧基底节区也有高信号。
这些双侧发现应引起对脑深静脉血栓形成的怀疑。
矢状位CT重建显示直窦和Galen静脉(箭头)有充盈缺损。

下图是双侧基底节区异常的年轻患者。
根据影像学表现,有一个广泛的区别,包括小血管疾病,脱髓鞘,中毒和代谢紊乱。

注意大脑内静脉和直窦的异常高信号在T1加权图像上。

诊断为深静脉血栓所致基底节双侧梗死。
在一些静脉血栓形成的病例中,影像学表现可以完全消失。
下图是皮质下高信号的病人。
第一印象是这可能是一个低级别的胶质瘤。

经随访扫描,异常情况已完全解决。
回顾观察,其中一条皮质静脉可见致密血管征,并对静脉血栓形成作出诊断。
高信号可归因于血栓形成所致的高静脉压所致的血管源性水肿。
CTV
CT静脉造影是一种简单而直接的显示静脉血栓形成的技术。
在早期血栓栓塞的静脉无强化的,在后期有无强化的血栓、周围强化称为空三角征,如前面所讨论的。
与MR不同的是,CT静脉造影几乎没有任何缺陷。
你唯一不想做的事情,就是太早扫描,即在静脉增强之前或太晚,即当对比消失时。
有些人主张像CT动脉造影那样做一次扫描,只需增加5-10秒的延迟。
为了安全起见,我们主张在注射造影剂开始后延迟45-50秒。我们使用至少70 ml的对比剂。
下图,一些CT静脉造影的图像显示许多静脉窦血栓形成。





下图 在Labbe静脉区发生梗死的患者。
在非增强图像上,你可以看到横窦内的致密血栓和梗死区的出血。
增强图像显示横窦内可见充盈缺损。



用于诊断脑静脉血栓形成的MR技术有:
●时间飞跃(TOF)、相位对比(PC)和增强磁共振静脉造影。
●当您查看重建图像时,请始终查看源图像。
●下图 相位对比血管造影的横断MIP图像。

右横窦和颈静脉由于血栓形成而无信号。
下图为正常对比增强MR静脉造影的侧位和斜位MIP图像。
注意Trolard(红色箭头)和Labbe(蓝色箭头)的突出静脉。
每一种技术都有自己的缺陷,我们稍后会讨论。
对比增强MR静脉造影有一个缺点,你需要静脉注射对比剂,但缺陷较少。

只有在严重的情况下,当计划介入时才进行血管造影。
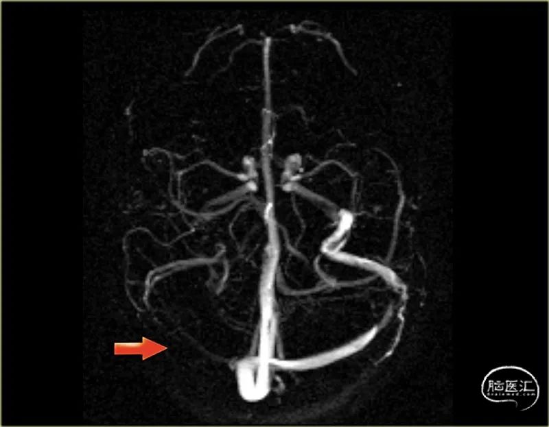
一位静脉血栓形成患者的左侧图像,有血栓形成上矢状窦(红色箭头),直窦(蓝色箭头)和横向和乙状窦(黄色箭头)。
