病史简介
患者,女,58岁,因“体检发现颅内动脉瘤2年”收入院。2年前头颅MRI显示右额叶异常信号,当地医院考虑海绵状血管瘤,并予保守治疗。1年前有心房粘液瘤切除史,围手术期查头颅MRA显示右侧大脑前动脉及大脑中动脉各一枚梭形动脉瘤(图1)。本次入院前复查头颅MRA显示右侧大脑前动脉动脉瘤较前增大,要求手术而收入院。入院体格检查无神经系统阳性体征。
图1. 一年余前头颅MRA显示右侧大脑前动脉及右侧大脑中动脉远端梭形膨大(红箭头所示),动脉瘤远端血管显影良好。
入院后DSA检查见右侧大脑前动脉A3段及大脑中动脉M3段局部梭形膨大(图2)。梭形动脉瘤无法按常规方式夹闭瘤颈,需闭塞载瘤动脉。考虑大脑前动脉动脉瘤位于胼周动脉主干,闭塞可能造成功能障碍,而中动脉动脉瘤位于非功能区,故于手术前先行右侧大脑前动脉球囊闭塞实验。在局麻下,全身肝素化,双侧股动脉穿刺置鞘,将导引导管置入至右侧颈内动脉岩骨段,取球囊1枚超选入右侧大脑前动脉A3段,在动脉瘤近端充盈球囊,造影见球囊远端动脉无显影,提示闭塞良好(图3)。另取一造影管超选至左侧颈内动脉、左侧椎动脉造影,未见明显血流逆向充盈动脉瘤。共闭塞20min,过程中患者无明显不适,对答良好,四肢肌力无下降。

图2. 脑血管造影图像 2a为正位,2b为侧位,示右侧大脑前动脉A3段、大脑中动脉M3段梭形动脉瘤。

图3. 球囊闭塞实验过程中造影图像 3a为球囊充盈后不剪影图像,示球囊充盈良好;3b为球囊充盈后右侧颈内动脉造影图像,示右侧大脑前动脉远端不显影。
遂择期行颅内多发动脉瘤切除术。取右额颞弧形切口,常规开颅,打开约5×6cm骨窗,悬吊硬膜后放射状剪开。首先行大脑中动脉动脉瘤切除术,导航下定位动脉瘤位置,在大脑中动脉动脉瘤脑表面投影处进行右额叶皮层造瘘,向下约0.5cm可见动脉瘤,呈梭形,动脉瘤夹夹闭其近端动脉,电灼两端载瘤动脉后完全切除动脉瘤。再行大脑前动脉动脉瘤切除术,沿纵裂向深部分离右额叶及大脑镰,向下约2cm可见动脉瘤,呈梭形,动脉瘤夹夹闭其近端及远端动脉,电灼两端载瘤动脉后完全切除动脉瘤(图4)。标本送病理,术中回纳骨瓣。术后患者恢复满意,体格检查无新发神经功能缺损。

图4. 术中镜下所示 4a右额叶皮层造瘘暴露右侧大脑中动脉动脉瘤(绿圈),左侧为额叶,右侧为颞叶;4b夹闭梭形动脉瘤近端动脉后电凝载瘤动脉;4c沿纵裂向下分离暴露右侧大脑前动脉动脉瘤(绿圈),上为额侧,下为枕侧;4d夹闭梭形动脉瘤载瘤动脉。
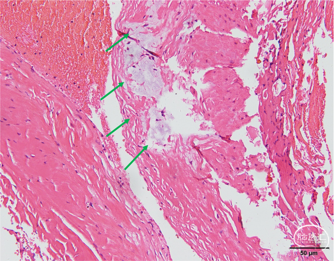
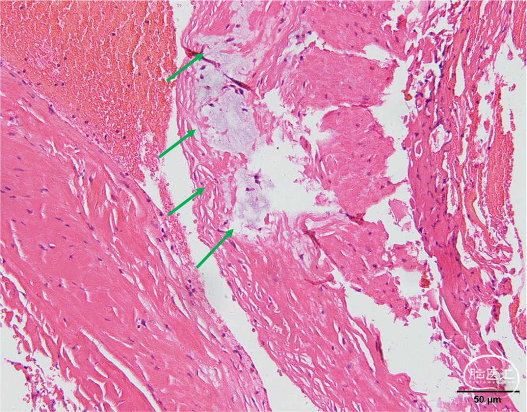
(右侧大脑前动脉动脉瘤)囊壁大部分为排列致密的纤维和胶原纤维,局部可见玻璃样变性。另见有灶性的黏液样变性,其内可见数个星状细胞,提示粘液瘤累及可能(图5)。(右侧大脑中动脉动脉瘤)镜下仅为排列致密的纤维和胶原纤维组织。术后3个月复查头颅MRA,动脉瘤完全不显影。

图5 右侧大脑前动脉动脉瘤切片镜下图像,见动脉瘤壁局部玻璃样变性及黏液样变性,纤维结构被破坏(绿色箭头)。讨论
颅内多发梭形动脉瘤是一种复杂的系统性疾病,形成原因尚不明确,其发生常常与血管壁纤维细胞变性或肿瘤组织定植破坏血管壁纤维结构有关,而与血流动力学关系较小,其危险因素包括吸烟、酗酒、遗传、某些系统性疾病及肿瘤等[1] 。心房粘液瘤是一种心脏常见肿瘤,也有报道指出其可诱发颅内多发梭形动脉瘤产生[2]。
此类动脉瘤自然病史尚不明确,因此无明确的治疗指南,治疗方案根据病人的基础情况以及手术的风险收益比权衡后决定。由于血管内治疗超选难度大,术后复发风险高,而开颅手术难度高风险大,术后并发症多,单纯放化疗尚未证实有效,且具有副作用;因此大部分患者首选保守治疗[2]。也有少数作者提出综合治疗策略,如手术切除+化疗[3],手术切除+夹闭[4],载瘤动脉夹闭+搭桥手术[5]等。由于缺乏此类动脉瘤的流行病学研究,在选择治疗方案时,一般基于以下3点:1. 合并颅内出血时应优先处理责任动脉瘤。对于未破裂动脉瘤,动脉末端的小动脉瘤往往不需处理。2. 生长速度较快或体积较大的动脉瘤则应积极处理。3. 位于深部的梭形动脉瘤可进行血管内治疗,位于浅表位置的可开颅手术切除或夹闭。在选择手术方式上,开颅手术对于动脉瘤的治愈率高,费用低,且可以取得更精确的组织学诊断,但是操作风险较大,一般适用于预期寿命较长且无基础疾病的青壮年患者。若无法一期处理全部动脉瘤,可采取分期手术的方式[6]。有时,梭形动脉瘤的手术/介入治疗需阻断动脉瘤以远的血流,术前应评估患者对于血管闭塞的耐受能力,以及血流阻断而造成脑梗死以致遗留神经功能障碍的风险。动脉瘤载瘤动脉的球囊闭塞实验可以模拟术后的血流动力学状态,若实验过程中患者出现神经系统阳性体征,则应在动脉瘤切除/夹闭前行血管搭桥手术。当然,球囊闭塞实验也存在一定的缺陷:首先,对于动脉末端的动脉瘤,球囊导管难以到位,若球囊距离动脉瘤太远,则实验结果假阳性的概率增高;其次,由于时间的限制,球囊闭塞实验尚不能完美的模拟长期的血流阻断状态,即使实验阴性,术后仍有可能出现脑梗死以及相应的神经功能障碍。
无论治疗与否,肿瘤继发性颅内多发动脉瘤患者需要终身密切随访,因为其形成机制尚不明确,切除原发性肿瘤并不能阻止动脉瘤的形成和生长,甚至有报道粘液瘤切除术后25年才发现颅内多发动脉瘤[7]。本例患者在颅内多发梭形动脉瘤确诊后首先予保守治疗,随访期间发现大脑中动脉动脉瘤增大,并新生大脑前动脉动脉瘤,故采取积极治疗方案。由于患者既往有心房粘液瘤病史,结合动脉瘤不规则形状,首先考虑粘液瘤性动脉瘤。颅内两个未破裂动脉瘤均位于同侧前循环,单侧入路可处理全部动脉瘤,因此我们选择开颅手术,不但可以完全清除肿瘤组织,提高动脉瘤的治愈率,还可以取得组织学诊断,指导后续的治疗。由于右侧大脑前动脉动脉瘤载瘤动脉参与功能区供血,故术前进行球囊闭塞实验评估,实验过程中患者无神经系统阳性体征,表明可以耐受载瘤动脉闭塞,因此我们并没有进行血管搭桥手术。术后患者并没有出现神经功能缺损,验证了球囊闭塞实验的结果。术后病理证实为粘液性动脉瘤,也印证了术前判断。
[1] Steiner T, Juvela S, Unterberg A, et al. European stroke organization guidelines for the management of intracranial aneurysms and subarachnoid haemorrhage[J]. Cerebrovasc Dis 2013;35:93-112
[2] Zheng J, Zhang J Neoplastic cerebral aneurysm from metastatic tumor: A systematic review of clinical and treatment characteristics[J]. Clinical Neurology and Neurosurgery 2015;128:107–111
[3] Branscheidt M, Frontzek K, Bozinov O, et al. Etoposide/carboplatin chemotherapy for the treatment of metastatic myxomatous cerebral aneurysms[J]. J Neurol 2014;261:828–830
[4] Jean WC, Walski-Easton SM, Nussbaum ES. Multiple intracranial aneurysms as delayed complications of an atrial myxoma: case report[J]. Neurosurgery 2001;49:200-203
[5] Saffie P, Riquelme F, Mura J, et al. Multiple myxomatous aneurysms with bypass and clipping in a 37-year-old man[J]. Journal of Stroke and Cerebrovascular Diseases 2015;24:e69-e71
[6] Pereira RSS, Casulari LA. Surgical treatment of bilateral multiple intracranial aneurysms.Review of a personal experience in 69 cases[J]. J Neurosurg Sci 2006;50:1-8
[7] Yilmaz MB, Akin Y, Güray U, et al. Late recurrence of left atrial myxoma with multiple intracranial aneurysms[J]. Int J Cardiol 2003;87:303-305
(本文由浙二神外周刊原创,浙江大学医学院附属第四医院神经外科盖世英副主任医师整理,陈毅力主任医师审校,张建民主任终审。)
声明:脑医汇旗下神外资讯、神介资讯、脑医咨询所发表内容之知识产权为脑医汇及主办方、原作者等相关权利人所有。未经许可,禁止进行转载、摘编、复制、裁切、录制等。经许可授权使用,亦须注明来源。欢迎转发、分享。