—— 上海市第一人民医院神经外科
病史
患者:女性 ,67岁,有高血压病史
突发脑干出血,双侧瞳孔中等度散大,生命体征尚稳定
CT检查提示:中脑基底部和中脑被盖之间,桥脑出血,量约2ml
保守治疗2天后,病情加重,瞳孔进一步扩大,出血量增加
出血部位波及到桥脑、延髓,量约有5ml,生命体征开始出现不稳定
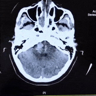
术中影像
第一次CT 【左】
第二次CT复查出血量增加 【右】


术前预案
手术方式:颞下经天幕入路
手术风险评估 :
1 患者中脑、桥脑出血,波及延髓,影响生命中枢,生命垂危。
2 脑干出血部位位于基底部和被盖部之间,而后影响到其他脑干分区,手术尽量在脑干安全区进入,以免加重神经功能的损伤。
3 术中尽量以最小的创伤和最快的速度清除血肿,减轻脑干生命中枢的继发性破坏和压迫。
4 脑干术后极易并发呼吸、消化、心血管系统等的并发症,要注意防范,安全渡过围手术期。
术中
在全麻下行颞下经天幕入路,脑干血肿清除术
术中见脑干表面膨隆
在脑干安全区切开脑干约 5mm
见到血肿后将血肿清除,冲洗无渗血后关颅
手术历时约50分钟
手术过程
STEP 01:在脑干表面安全区域附近探寻血肿位置

STEP 02:发现血肿,放出血水减压
STEP 03:清除中脑内脑干血肿

STEP 04:清除桥脑内血肿
术后影像
术后一周 【左】
术后一月 【右】
患者术后恢复情况
术后一周 右上肢活动恢复 神志有恢复
术后3月,患者可表达思想,和家人交流

术后3月可自己锻炼身体
结语
高血压性脑干出血是严重影响患者生命的高风险疾病,至今为止还没有特别有效的方式来处理这一棘手的难题,大多数病人愈后效果极差,严重影响患者生命,术后不是死亡就是重残。
目前在我国脑干出血发病率很高,需要我们对脑干出血的发病机理有更深入的认识和理解,选择合适的病例,采用适当的方式治疗,以期达到最佳的手术治疗效果。
本例病人,出血位于脑干基底部和被盖之间,逐渐向其他分区蔓延,选择侧方安全区入路,既不损伤脑干基底部的长传导束,又不损伤被盖部的生命中枢,术后取得了较好的效果。
术者简介
楼美清教授
Professor Meiqing Lou,M.D.
楼美清,现任上海市第一人民医院神经外科主任,医学博士,教授,主任医师,博士生导师。
任中华医学会上海市神经外科专委会常委,中国医师协会神经内镜专业委员会委员,中国医师协会微侵袭神经外科专委会委员,世界华人神经外科协会脊柱脊髓专家委员会副主委,中华医学会神经外科分会神经肿瘤专业组委员, 中国医师协会脑血管病专业委员会委员,上海市抗癌协会神经肿瘤专业委员会副主委,中华医学会神经脊柱专业委员会委员,中国垂体瘤协作组委员。
从事神经外科工作27年,有高度娴熟扎实的显微镜和内镜神经外科技术操作功底, 在颅内肿瘤、脑血管病、脊椎等神经系统疾病手术中积累了约6000余例的丰富临床经验。擅长治疗垂体瘤、听神经瘤、脑干等颅底疾病。
