
■ 术者寄语
基底动脉闭塞(BAO)是一种潜在的致命性神经系统疾病,临床医生诊断和治疗该病面临很大挑战,其约占所有缺血性卒中的1%-4%。尽管目前对于后循环的血管内治疗还没有足够循证医学证据,或循证医学证据是阴性的,但因临床上有大量患者需求;因此,后循环的血管内治疗面临的局面是不得不做。在没有足够循证医学证据的情况下,根据个人临床经验和现有回顾性分析结果,血管再通是王道,针对不同病因和发病机制,合理运用各种材料和技术,尽快开通血管,是患者获得良好预后的保证。
加奇生物SacSpeed®球囊扩张导管是一款快速交换系统颅内专用球囊,150cm长度可以很好兼容目前市面上常见的中间导引导管,在狭窄病变中轻松到位,扩张过程稳定,有效满足临床需求。
本期嘉介谈邀请武汉市汉阳医院王朝晖教授,展示SacSpeed®球囊扩张导管应用于症状性ICAD颅内狭窄血管成形术一例,精彩不容错过。

患者基本信息
女性,76岁,主诉:左侧肢体麻木、无力12小时。
简要病史
现病史:12小时前出现左侧肢体麻木、乏力,伴头昏,伴吐词含糊;无口角歪斜、大小便失禁,无视物模糊、视物旋转,无黑朦,无饮水返呛,无心悸胸闷,无肢体抽搐等不适;未重视、遂自行睡觉;晨起后症状无明显好转,遂来院就诊。
既往史:既往有高血压3级病史10余年,服用苯磺酸氨氯地平、厄贝沙坦氢氯噻嗪,未规律监测血压;有糖尿病,未规律用药;有脑卒中病史,服用吲哚布芬片、氯吡格雷片、阿托伐他汀钙片;长期吸烟史。
入院查体情况
体格检查:血压:131/73mmHg双肺呼吸音尚清,未闻及干湿性啰音,HR70次/分,律齐,心音有力,腹软,无压痛及反跳痛,肝脾肋下未及,双下肢不肿。专科情况:神志清楚,吐词不清,双侧瞳孔等大等圆,D3.0mm,对光反射灵敏,眼震(-),额纹对称,伸舌稍左偏,颈软,左侧肢体肌力4-级,右侧肢体肌力5级,四肢肌张力正常,双侧病理征(-),左侧肢体浅感觉减退,左侧指鼻试验(+),克氏征(-)。
术前影像学检查
头部CT提示:
1. 双侧基底节区、放射冠区、半卵圆中心、丘脑多发腔隙性脑梗塞,建议MRI检查。
2. 脑白质缺血、脑萎缩。

颅脑MRI+MRA+DWI提示:
1. 脑干左侧腔隙性脑梗塞(急性期);左侧基底节区、双侧半卵圆中心腔隙性脑梗塞;
2. 脑白质缺血、轻度脑萎缩;
3. 双侧上颌窦、筛窦粘膜增厚;
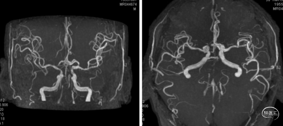
4. 脑动脉硬化改变,双侧椎动脉V4段、基底动脉及左侧大脑后动脉纤细;右侧大脑前动脉A1段未见显示。


颈内动脉造影:


正位
侧位
右椎动脉造影:


正位
侧位
初步诊断
1. 急性脑血管病,基底动脉闭塞性脑梗塞,偏瘫;
2. 高血压3级,极高危组;
3. 2型糖尿病;
4. 高同型半胱氨酸血症;
5. 复合型高脂血症;
6. 大脑动脉粥样硬化。
1. 影像学证实脑动脉闭塞;
2. 有闭塞相关症状性卒中或短暂性脑缺血反复发作;
3. 有影像学上闭塞动脉相关血流动力学障碍、低灌注;
4. 存在缺血半暗带,可挽救脑组织。
基底动脉球囊扩张+支架置入术。
治疗过程中通路产品选择长鞘+中间导管双支撑,考虑到多个弯曲,一步到位可能性不大,拟采用telescoping的方式将中间导管逐渐到位。本次手术通路系统采用:
EV3微导丝
Echelon-10微导管
5F 中间导管
加奇SacSpeed®球囊扩张导管1.75×12mm
球囊2.0×15mm
颅内血管支架系统:ENTERPRISE 4.5mm×28mm
右侧颈内动脉及右侧椎动脉同时造影。

在路图指引下,沿5F中间导管送入微导丝+Echelon-10微导管至右侧椎动脉V4段,多次尝试后微导丝成功通过基底动脉闭塞段,将微导丝头端置于右侧大脑后动脉P2段。
撤除微导管,送入加奇SacSpeed®球囊1.75×12mm,由基底动脉闭塞段远端至近端依次扩张,复查造影发现基底动脉复通。

SacSpeed®球囊扩张后造影。

4
经5F中间导管送入颅内支架(ENTERPRISE 4.5mm×28mm)至基底动脉狭窄处,准确定位后释放支架。
支架置入后复查右侧椎动脉造影可见基底动脉狭窄明显好转,支架位置形态良好,残余狭窄率30%,前向血流TICI分级3级。

术后复查头部CT未见明显出血及新发梗死病灶。转神经重症病房,给予抗血小板聚集及他汀类药物治疗,并行康复理疗;因患者考虑费用,拒绝行头颈部CTA检查,并于术后10天后患者恢复良好出院,嘱患者院外继续药物治疗。1月后电话随访患者,肢体肌力基本恢复正常,仍有肢体轻度麻木,嘱患者继续当前药物治疗,定期复诊及复查头颈部CTA检查。
病例总结
1
2
3
4
推荐参考文献及指南:
1. 症状性颅内动脉粥样硬化性狭窄血管内治疗中国专家共识2018
2. 2019 SNIS共识报告_后循环大血管闭塞性卒中的血管内治疗策略

王朝晖
武汉市汉阳医院
主持参与2项省级科研课题







